Idiopathic hypertrophic pachymeningitis (IHP) causing headache in a young female.

Smaran Korada, Viswanathan Pandurangan, Divya J Manickam, Devasena Srinivasan
{"title":"Idiopathic hypertrophic pachymeningitis (IHP) causing headache in a young female.","authors":"Smaran Korada, Viswanathan Pandurangan, Divya J Manickam, Devasena Srinivasan","doi":"10.4314/gmj.v59i2.8","DOIUrl":null,"url":null,"abstract":"<p><p>Hypertrophic pachymeningitis (HP) is characterised by thickening of the cranial or spinal dura mater, and it encompasses idiopathic and secondary forms. Later is linked to infections, inflammatory conditions, and autoimmune disorders. This rare condition presents with a myriad of neurological manifestations, including headaches, cranial nerve palsies, and visual disturbances. A South-Asian woman in her mid-thirties presented with a three-month history of left-sided headache, double vision, and facial numbness. Neuroimaging revealed diffuse thickening of the dura mater, suggestive of hypertrophic pachymeningitis (HP). Diagnostic workup excluded infectious and autoimmune causes, categorising the condition as idiopathic. Treatment with corticosteroids led to significant improvement in her symptoms. HP is a rare cause of headache in young patients, and diagnosis relies on neuroimaging and CSF analysis, necessitating the exclusion of secondary causes through comprehensive evaluation. Treatment varies based on the underlying aetiology. Corticosteroids remain the first-line drug for idiopathic cases.</p><p><strong>Funding: </strong>None declared.</p>","PeriodicalId":94319,"journal":{"name":"Ghana medical journal","volume":"59 2","pages":"102-106"},"PeriodicalIF":0.0000,"publicationDate":"2025-06-01","publicationTypes":"Journal Article","fieldsOfStudy":null,"isOpenAccess":false,"openAccessPdf":"https://www.ncbi.nlm.nih.gov/pmc/articles/PMC12224214/pdf/","citationCount":"0","resultStr":null,"platform":"Semanticscholar","paperid":null,"PeriodicalName":"Ghana medical journal","FirstCategoryId":"1085","ListUrlMain":"https://doi.org/10.4314/gmj.v59i2.8","RegionNum":0,"RegionCategory":null,"ArticlePicture":[],"TitleCN":null,"AbstractTextCN":null,"PMCID":null,"EPubDate":"","PubModel":"","JCR":"","JCRName":"","Score":null,"Total":0}
引用次数: 0

Abstract

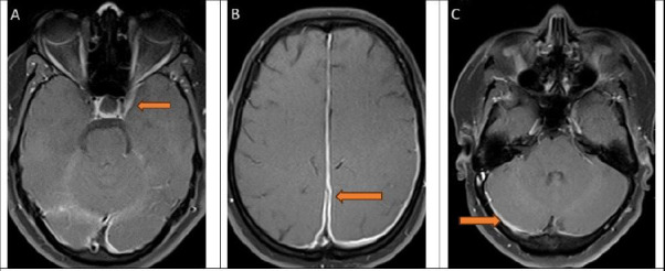
Hypertrophic pachymeningitis (HP) is characterised by thickening of the cranial or spinal dura mater, and it encompasses idiopathic and secondary forms. Later is linked to infections, inflammatory conditions, and autoimmune disorders. This rare condition presents with a myriad of neurological manifestations, including headaches, cranial nerve palsies, and visual disturbances. A South-Asian woman in her mid-thirties presented with a three-month history of left-sided headache, double vision, and facial numbness. Neuroimaging revealed diffuse thickening of the dura mater, suggestive of hypertrophic pachymeningitis (HP). Diagnostic workup excluded infectious and autoimmune causes, categorising the condition as idiopathic. Treatment with corticosteroids led to significant improvement in her symptoms. HP is a rare cause of headache in young patients, and diagnosis relies on neuroimaging and CSF analysis, necessitating the exclusion of secondary causes through comprehensive evaluation. Treatment varies based on the underlying aetiology. Corticosteroids remain the first-line drug for idiopathic cases.

Funding: None declared.

Abstract Image

特发性肥厚性厚性脑膜炎(IHP)引起年轻女性头痛。
肥厚性厚性脑膜炎(HP)的特征是颅或脊髓硬脑膜增厚,包括特发性和继发性形式。后者与感染、炎症和自身免疫性疾病有关。这种罕见的疾病表现为无数的神经系统症状,包括头痛、脑神经麻痹和视觉障碍。南亚女性,三十多岁,有三个月的左侧头痛、重视和面部麻木史。神经影像学显示硬脑膜弥漫性增厚,提示肥厚性厚性脑膜炎(HP)。诊断检查排除了感染和自身免疫性原因,将病情归类为特发性。皮质类固醇治疗使她的症状有了明显改善。HP在年轻患者中是一种罕见的头痛病因,诊断依赖于神经影像学和脑脊液分析,需要通过综合评价排除继发原因。治疗方法因潜在病因而异。皮质类固醇仍然是特发性病例的一线药物。资金:未宣布。
本文章由计算机程序翻译,如有差异,请以英文原文为准。
求助全文
约1分钟内获得全文 求助全文
来源期刊
CiteScore
1.10
自引率
0.00%
发文量
0
×
引用
GB/T 7714-2015
复制
MLA
复制
APA
复制
导出至
BibTeX EndNote RefMan NoteFirst NoteExpress
×
提示
您的信息不完整,为了账户安全,请先补充。
现在去补充
×
提示
您因"违规操作"
具体请查看互助需知
我知道了
×
提示
确定
请完成安全验证×
copy
已复制链接
快去分享给好友吧!
我知道了
右上角分享
点击右上角分享
0
联系我们:info@booksci.cn Book学术提供免费学术资源搜索服务,方便国内外学者检索中英文文献。致力于提供最便捷和优质的服务体验。 Copyright © 2023 布克学术 All rights reserved.
京ICP备2023020795号-1
ghs 京公网安备 11010802042870号
Book学术文献互助
Book学术文献互助群
群 号:604180095
Book学术官方微信