Combining Super-Resolution Imaging and Shear Wave Elastography for Enhanced Risk Assessment of Moderate-to-Severe Renal Fibrosis in Chronic Kidney Disease Patients.

IF 2.5 Q2 UROLOGY & NEPHROLOGY
Xingyue Huang, Yao Zhang, Yugang Hu, Juhong Pan, Xin Huang, Jun Zhang, Huan Pu, Yueying Chen, Qing Deng, Qing Zhou
{"title":"Combining Super-Resolution Imaging and Shear Wave Elastography for Enhanced Risk Assessment of Moderate-to-Severe Renal Fibrosis in Chronic Kidney Disease Patients.","authors":"Xingyue Huang, Yao Zhang, Yugang Hu, Juhong Pan, Xin Huang, Jun Zhang, Huan Pu, Yueying Chen, Qing Deng, Qing Zhou","doi":"10.2147/IJNRD.S528614","DOIUrl":null,"url":null,"abstract":"<p><strong>Objective: </strong>This study aims to evaluate the diagnostic efficacy of shear wave elastography (SWE) and super-resolution imaging (SRI) in detecting moderate-to-severe renal fibrosis (MSRF) among patients with chronic kidney disease (CKD).</p><p><strong>Methods: </strong>In this prospective study, 202 CKD patients who underwent SWE and SRI prior to renal biopsy were enrolled. Based on pathological findings, patients were categorized into a mild renal fibrosis group (n=107) and an MSRF group (n=95). LASSO logistic regression was employed to identify independent risk factors for MSRF. Four diagnostic models-isolated, series, parallel, and integrated-were developed by combining elasticity values from SWE and vascular density values from SRI. Additionally, a nomogram incorporating clinical parameters and ultrasound composite parameters was constructed to assess MSRF in CKD patients.</p><p><strong>Results: </strong>LASSO and subsequent logistic regression analysis revealed that age, diabetes history, estimated glomerular filtration rate (eGFR), elasticity, and vascular density were independently associated with MSRF. The integrated model, utilizing a logistic algorithm, demonstrated superior diagnostic performance with an area under the curve (AUC) of 0.83 (P < 0.001), sensitivity of 80.4%, and specificity of 75.8%, outperforming all other models. Furthermore, the nomogram, which integrated clinical factors and ultrasound composite parameters, exhibited excellent predictive performance (AUC = 0.878, 95% CI 0.782-0.974). Calibration and decision curve analyses confirmed the model's robust calibration and clinical utility.</p><p><strong>Conclusion: </strong>The integration of SWE-derived elasticity and SRI-derived vascular density significantly enhances the diagnostic accuracy for MSRF in CKD patients. This comprehensive approach offers a promising non-invasive strategy for assessing renal fibrosis severity.</p>","PeriodicalId":14181,"journal":{"name":"International Journal of Nephrology and Renovascular Disease","volume":"18 ","pages":"187-199"},"PeriodicalIF":2.5000,"publicationDate":"2025-06-30","publicationTypes":"Journal Article","fieldsOfStudy":null,"isOpenAccess":false,"openAccessPdf":"https://www.ncbi.nlm.nih.gov/pmc/articles/PMC12227321/pdf/","citationCount":"0","resultStr":null,"platform":"Semanticscholar","paperid":null,"PeriodicalName":"International Journal of Nephrology and Renovascular Disease","FirstCategoryId":"1085","ListUrlMain":"https://doi.org/10.2147/IJNRD.S528614","RegionNum":0,"RegionCategory":null,"ArticlePicture":[],"TitleCN":null,"AbstractTextCN":null,"PMCID":null,"EPubDate":"2025/1/1 0:00:00","PubModel":"eCollection","JCR":"Q2","JCRName":"UROLOGY & NEPHROLOGY","Score":null,"Total":0}
引用次数: 0

Abstract

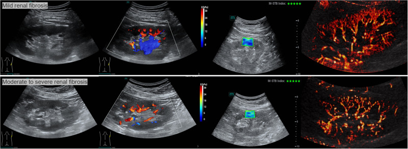
Objective: This study aims to evaluate the diagnostic efficacy of shear wave elastography (SWE) and super-resolution imaging (SRI) in detecting moderate-to-severe renal fibrosis (MSRF) among patients with chronic kidney disease (CKD).

Methods: In this prospective study, 202 CKD patients who underwent SWE and SRI prior to renal biopsy were enrolled. Based on pathological findings, patients were categorized into a mild renal fibrosis group (n=107) and an MSRF group (n=95). LASSO logistic regression was employed to identify independent risk factors for MSRF. Four diagnostic models-isolated, series, parallel, and integrated-were developed by combining elasticity values from SWE and vascular density values from SRI. Additionally, a nomogram incorporating clinical parameters and ultrasound composite parameters was constructed to assess MSRF in CKD patients.

Results: LASSO and subsequent logistic regression analysis revealed that age, diabetes history, estimated glomerular filtration rate (eGFR), elasticity, and vascular density were independently associated with MSRF. The integrated model, utilizing a logistic algorithm, demonstrated superior diagnostic performance with an area under the curve (AUC) of 0.83 (P < 0.001), sensitivity of 80.4%, and specificity of 75.8%, outperforming all other models. Furthermore, the nomogram, which integrated clinical factors and ultrasound composite parameters, exhibited excellent predictive performance (AUC = 0.878, 95% CI 0.782-0.974). Calibration and decision curve analyses confirmed the model's robust calibration and clinical utility.

Conclusion: The integration of SWE-derived elasticity and SRI-derived vascular density significantly enhances the diagnostic accuracy for MSRF in CKD patients. This comprehensive approach offers a promising non-invasive strategy for assessing renal fibrosis severity.

Abstract Image

Abstract Image

Abstract Image

结合超分辨率成像和横波弹性成像增强慢性肾病患者中重度肾纤维化的风险评估。
目的:本研究旨在评价横波弹性成像(SWE)和超分辨率成像(SRI)对慢性肾病(CKD)患者中重度肾纤维化(MSRF)的诊断效果。方法:在这项前瞻性研究中,纳入202例在肾活检前接受SWE和SRI的CKD患者。根据病理结果,将患者分为轻度肾纤维化组(n=107)和MSRF组(n=95)。采用LASSO logistic回归确定MSRF的独立危险因素。通过结合SWE的弹性值和SRI的血管密度值,开发了孤立、串联、并联和综合四种诊断模型。此外,构建了包含临床参数和超声复合参数的nomogram来评估CKD患者的MSRF。结果:LASSO和随后的logistic回归分析显示,年龄、糖尿病史、估计肾小球滤过率(eGFR)、弹性和血管密度与MSRF独立相关。该综合模型采用logistic算法,曲线下面积(AUC)为0.83 (P < 0.001),敏感性为80.4%,特异性为75.8%,优于所有其他模型。综合临床因素和超声综合参数的nomogram预测效果较好(AUC = 0.878, 95% CI 0.782 ~ 0.974)。校准和决策曲线分析证实了模型的鲁棒校准和临床实用性。结论:swe来源的弹性和sri来源的血管密度的整合显著提高了CKD患者MSRF的诊断准确性。这种全面的方法为评估肾纤维化严重程度提供了一种有前途的非侵入性策略。
本文章由计算机程序翻译,如有差异,请以英文原文为准。
求助全文
约1分钟内获得全文 求助全文
来源期刊
CiteScore
3.90
自引率
5.00%
发文量
40
审稿时长
16 weeks
期刊介绍: International Journal of Nephrology and Renovascular Disease is an international, peer-reviewed, open-access journal focusing on the pathophysiology of the kidney and vascular supply. Epidemiology, screening, diagnosis, and treatment interventions are covered as well as basic science, biochemical and immunological studies. In particular, emphasis will be given to: -Chronic kidney disease- Complications of renovascular disease- Imaging techniques- Renal hypertension- Renal cancer- Treatment including pharmacological and transplantation- Dialysis and treatment of complications of dialysis and renal disease- Quality of Life- Patient satisfaction and preference- Health economic evaluations. The journal welcomes submitted papers covering original research, basic science, clinical studies, reviews & evaluations, guidelines, expert opinion and commentary, case reports and extended reports. The main focus of the journal will be to publish research and clinical results in humans but preclinical, animal and in vitro studies will be published where they shed light on disease processes and potential new therapies and interventions.
×
引用
GB/T 7714-2015
复制
MLA
复制
APA
复制
导出至
BibTeX EndNote RefMan NoteFirst NoteExpress
×
提示
您的信息不完整,为了账户安全,请先补充。
现在去补充
×
提示
您因"违规操作"
具体请查看互助需知
我知道了
×
提示
确定
请完成安全验证×
copy
已复制链接
快去分享给好友吧!
我知道了
右上角分享
点击右上角分享
0
联系我们:info@booksci.cn Book学术提供免费学术资源搜索服务,方便国内外学者检索中英文文献。致力于提供最便捷和优质的服务体验。 Copyright © 2023 布克学术 All rights reserved.
京ICP备2023020795号-1
ghs 京公网安备 11010802042870号
Book学术文献互助
Book学术文献互助群
群 号:604180095
Book学术官方微信