Why? What? When? Utility of 4DCT in the preoperative imaging algorithm of primary hyperparathyroidism.

IF 0.9 Q4 RADIOLOGY, NUCLEAR MEDICINE & MEDICAL IMAGING
SA Journal of Radiology Pub Date : 2025-06-30 eCollection Date: 2025-01-01 DOI:10.4102/sajr.v29i1.3094
Swati P Joshi, Jai Chowdhary, Sanyukta Gupta, Vineet Mishra
{"title":"Why? What? When? Utility of 4DCT in the preoperative imaging algorithm of primary hyperparathyroidism.","authors":"Swati P Joshi, Jai Chowdhary, Sanyukta Gupta, Vineet Mishra","doi":"10.4102/sajr.v29i1.3094","DOIUrl":null,"url":null,"abstract":"<p><strong>Background: </strong>4-Dimensional computed tomography (4DCT) is a specialised examination used to locate diseased parathyroid glands in a confirmed case of primary hyperparathyroidism.</p><p><strong>Objectives: </strong>To define the role of 4DCT as a first-hand diagnostic tool in locating the abnormal parathyroid gland.</p><p><strong>Method: </strong>A retrospective cohort study of 44 patients with primary hyperparathyroidism was performed. Patients with preoperative 4DCT findings and surgical findings with histopathological results were included in the study to assess the effectiveness of 4DCT in locating the diseased parathyroid glands.</p><p><strong>Results: </strong>Of the 44 patients who underwent 4DCT, operative findings of three patients were discordant with the 4DCT findings. The calculated sensitivity of 4DCT was 93%. 4DCT was able to identify lesions in ectopic locations in two cases and missed one case in an intra-thyroidal location, misinterpreted as a suspicious thyroid lesion. The sensitivity of 4DCT in detecting multiglandular disease was 75%. Of the diagnosed parathyroid lesions, 52.1% were located on the left, 35.4% on the right and 12.5% were located bilaterally. Additionally, 76% were seen inferiorly and 24% were seen superiorly.</p><p><strong>Conclusion: </strong>4DCT has high utility in the presurgical localisation of the eutopically or ectopically placed diseased parathyroid glands in single and multiglandular disease and also provides additional anatomical details.</p><p><strong>Contribution: </strong>4DCT identified additional findings such as aberrant origin of right subclavian artery, which is an important pre-operative finding for the surgeon to be aware of. This study contributes to the existing literature on the role of 4DCT.</p>","PeriodicalId":43442,"journal":{"name":"SA Journal of Radiology","volume":"29 1","pages":"3094"},"PeriodicalIF":0.9000,"publicationDate":"2025-06-30","publicationTypes":"Journal Article","fieldsOfStudy":null,"isOpenAccess":false,"openAccessPdf":"https://www.ncbi.nlm.nih.gov/pmc/articles/PMC12224014/pdf/","citationCount":"0","resultStr":null,"platform":"Semanticscholar","paperid":null,"PeriodicalName":"SA Journal of Radiology","FirstCategoryId":"1085","ListUrlMain":"https://doi.org/10.4102/sajr.v29i1.3094","RegionNum":0,"RegionCategory":null,"ArticlePicture":[],"TitleCN":null,"AbstractTextCN":null,"PMCID":null,"EPubDate":"2025/1/1 0:00:00","PubModel":"eCollection","JCR":"Q4","JCRName":"RADIOLOGY, NUCLEAR MEDICINE & MEDICAL IMAGING","Score":null,"Total":0}
引用次数: 0

Abstract

Background: 4-Dimensional computed tomography (4DCT) is a specialised examination used to locate diseased parathyroid glands in a confirmed case of primary hyperparathyroidism.

Objectives: To define the role of 4DCT as a first-hand diagnostic tool in locating the abnormal parathyroid gland.

Method: A retrospective cohort study of 44 patients with primary hyperparathyroidism was performed. Patients with preoperative 4DCT findings and surgical findings with histopathological results were included in the study to assess the effectiveness of 4DCT in locating the diseased parathyroid glands.

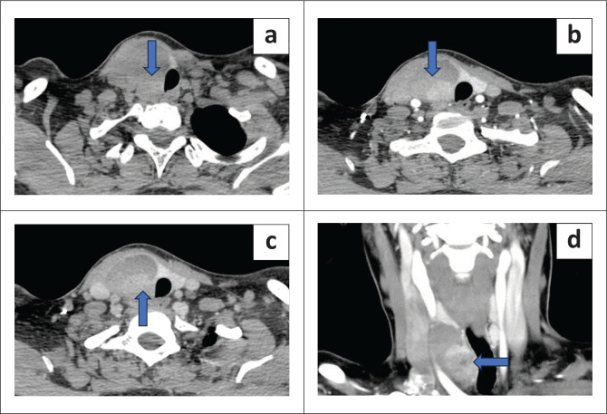
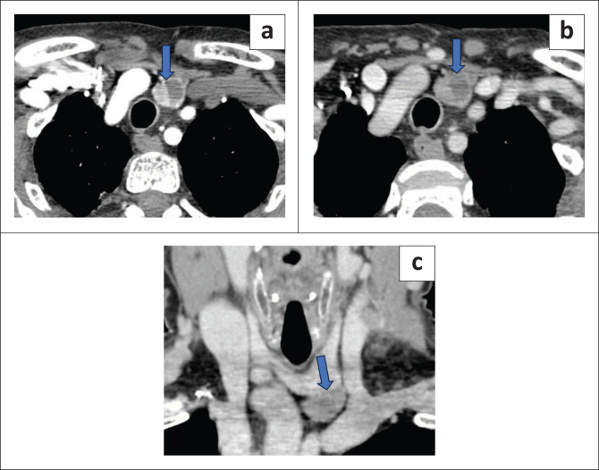
Results: Of the 44 patients who underwent 4DCT, operative findings of three patients were discordant with the 4DCT findings. The calculated sensitivity of 4DCT was 93%. 4DCT was able to identify lesions in ectopic locations in two cases and missed one case in an intra-thyroidal location, misinterpreted as a suspicious thyroid lesion. The sensitivity of 4DCT in detecting multiglandular disease was 75%. Of the diagnosed parathyroid lesions, 52.1% were located on the left, 35.4% on the right and 12.5% were located bilaterally. Additionally, 76% were seen inferiorly and 24% were seen superiorly.

Conclusion: 4DCT has high utility in the presurgical localisation of the eutopically or ectopically placed diseased parathyroid glands in single and multiglandular disease and also provides additional anatomical details.

Contribution: 4DCT identified additional findings such as aberrant origin of right subclavian artery, which is an important pre-operative finding for the surgeon to be aware of. This study contributes to the existing literature on the role of 4DCT.

Abstract Image

Abstract Image

Abstract Image

为什么?怎么啦?什么时候?4DCT在原发性甲状旁腺功能亢进术前成像算法中的应用。
背景:四维计算机断层扫描(4DCT)是一种专门的检查,用于定位病变甲状旁腺在确诊的原发性甲状旁腺功能亢进的情况下。目的:明确4DCT作为定位甲状旁腺异常的第一手诊断工具的作用。方法:对44例原发性甲状旁腺功能亢进患者进行回顾性队列研究。本研究纳入术前4DCT表现及手术表现均有组织病理学结果的患者,以评估4DCT对病变甲状旁腺定位的有效性。结果:44例行4DCT的患者中,3例患者的手术表现与4DCT表现不一致。4DCT的计算灵敏度为93%。2例dct能够识别异位病变,1例甲状腺内病变被误诊为可疑的甲状腺病变。4DCT检测多腺病变的灵敏度为75%。在诊断的甲状旁腺病变中,52.1%位于左侧,35.4%位于右侧,12.5%位于双侧。此外,76%的人被视为下级,24%的人被视为上级。结论:4DCT在单腺和多腺病变的异位或异位病变甲状旁腺的术前定位中有很高的应用价值,并提供了额外的解剖细节。贡献:4DCT发现了额外的发现,如右侧锁骨下动脉的异常起源,这是外科医生需要注意的重要术前发现。本研究对现有文献关于4DCT的作用进行了补充。
本文章由计算机程序翻译,如有差异,请以英文原文为准。
求助全文
约1分钟内获得全文 求助全文
来源期刊
SA Journal of Radiology
SA Journal of Radiology RADIOLOGY, NUCLEAR MEDICINE & MEDICAL IMAGING-
CiteScore
1.20
自引率
11.10%
发文量
35
审稿时长
16 weeks
期刊介绍: The SA Journal of Radiology is the official journal of the Radiological Society of South Africa and the Professional Association of Radiologists in South Africa and Namibia. The SA Journal of Radiology is a general diagnostic radiological journal which carries original research and review articles, pictorial essays, case reports, letters, editorials, radiological practice and other radiological articles.
×
引用
GB/T 7714-2015
复制
MLA
复制
APA
复制
导出至
BibTeX EndNote RefMan NoteFirst NoteExpress
×
提示
您的信息不完整,为了账户安全,请先补充。
现在去补充
×
提示
您因"违规操作"
具体请查看互助需知
我知道了
×
提示
确定
请完成安全验证×
copy
已复制链接
快去分享给好友吧!
我知道了
右上角分享
点击右上角分享
0
联系我们:info@booksci.cn Book学术提供免费学术资源搜索服务,方便国内外学者检索中英文文献。致力于提供最便捷和优质的服务体验。 Copyright © 2023 布克学术 All rights reserved.
京ICP备2023020795号-1
ghs 京公网安备 11010802042870号
Book学术文献互助
Book学术文献互助群
群 号:604180095
Book学术官方微信