Disruption of Lrpprc affects B cell development and proliferation in a mouse model of Leigh Syndrome French Canadian type.

Adrien Fois, Sonia Deschênes, Capucine Bourel, Claudine Beauchamp, Félix Lombard-Vadnais, Matthieu Ruiz, Guy Charron, Lise Coderre, John D Rioux, Sylvie Lesage
{"title":"Disruption of <i>Lrpprc</i> affects B cell development and proliferation in a mouse model of Leigh Syndrome French Canadian type.","authors":"Adrien Fois, Sonia Deschênes, Capucine Bourel, Claudine Beauchamp, Félix Lombard-Vadnais, Matthieu Ruiz, Guy Charron, Lise Coderre, John D Rioux, Sylvie Lesage","doi":"10.1007/s44162-025-00094-x","DOIUrl":null,"url":null,"abstract":"<p><strong>Purpose: </strong>Leigh Syndrome French Canadian (LSFC) is a rare autosomal recessive metabolic disorder characterized by severe lactic acidosis crises and early mortality. LSFC patients carry variants in the Leucine Rich Pentatricopeptide Repeat Containing (<i>LRPPRC</i>) nuclear gene, which lead to defects in the respiratory chain complexes and mitochondrial dysfunction. Mitochondrial respiration modulates cellular metabolic activity, which impacts many cell processes, including the differentiation and function of immune cells. The purpose of this study is to define the role of <i>Lrpprc</i> on immune cell function.</p><p><strong>Methods: </strong>As genetic deletion of <i>Lrpprc</i> is not viable, we generated two conditional mouse models: a model for systemic deletion of <i>Lrpprc</i> and a knock-in (KI) model carrying the most common LSFC pathogenic variant in Quebec, NM_133259.4(LRPPRC):c.1061C > T (p.Ala354Val).</p><p><strong>Results: </strong>We demonstrate that <i>Lrpprc</i> is an essential gene even in adult mice, as systemic deletion of <i>Lrpprc</i> leads to prominent weight loss and mortality. We also find an increase in lactate levels, a symptom of metabolic crises in LSFC. <i>Lrpprc</i> deletion and pathogenic variant affect various immune cell subsets, with a strong impact on B cell development and proliferation.</p><p><strong>Conclusions: </strong>We generated a viable disease-relevant mouse model to study the role of <i>Lrpprc</i> in vivo and find that disruption of <i>Lrpprc</i> strongly impairs B cell development and proliferation.</p><p><strong>Supplementary information: </strong>The online version contains supplementary material available at 10.1007/s44162-025-00094-x.</p>","PeriodicalId":73925,"journal":{"name":"Journal of rare diseases (Berlin, Germany)","volume":"4 1","pages":"31"},"PeriodicalIF":0.0000,"publicationDate":"2025-01-01","publicationTypes":"Journal Article","fieldsOfStudy":null,"isOpenAccess":false,"openAccessPdf":"https://www.ncbi.nlm.nih.gov/pmc/articles/PMC12209026/pdf/","citationCount":"0","resultStr":null,"platform":"Semanticscholar","paperid":null,"PeriodicalName":"Journal of rare diseases (Berlin, Germany)","FirstCategoryId":"1085","ListUrlMain":"https://doi.org/10.1007/s44162-025-00094-x","RegionNum":0,"RegionCategory":null,"ArticlePicture":[],"TitleCN":null,"AbstractTextCN":null,"PMCID":null,"EPubDate":"2025/7/1 0:00:00","PubModel":"Epub","JCR":"","JCRName":"","Score":null,"Total":0}
引用次数: 0

Abstract

Purpose: Leigh Syndrome French Canadian (LSFC) is a rare autosomal recessive metabolic disorder characterized by severe lactic acidosis crises and early mortality. LSFC patients carry variants in the Leucine Rich Pentatricopeptide Repeat Containing (LRPPRC) nuclear gene, which lead to defects in the respiratory chain complexes and mitochondrial dysfunction. Mitochondrial respiration modulates cellular metabolic activity, which impacts many cell processes, including the differentiation and function of immune cells. The purpose of this study is to define the role of Lrpprc on immune cell function.

Methods: As genetic deletion of Lrpprc is not viable, we generated two conditional mouse models: a model for systemic deletion of Lrpprc and a knock-in (KI) model carrying the most common LSFC pathogenic variant in Quebec, NM_133259.4(LRPPRC):c.1061C > T (p.Ala354Val).

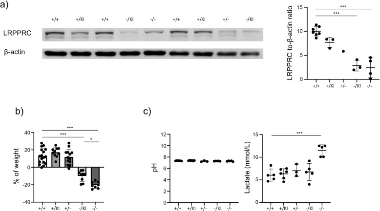
Results: We demonstrate that Lrpprc is an essential gene even in adult mice, as systemic deletion of Lrpprc leads to prominent weight loss and mortality. We also find an increase in lactate levels, a symptom of metabolic crises in LSFC. Lrpprc deletion and pathogenic variant affect various immune cell subsets, with a strong impact on B cell development and proliferation.

Conclusions: We generated a viable disease-relevant mouse model to study the role of Lrpprc in vivo and find that disruption of Lrpprc strongly impairs B cell development and proliferation.

Supplementary information: The online version contains supplementary material available at 10.1007/s44162-025-00094-x.

Abstract Image

Abstract Image

Abstract Image

Lrpprc的破坏影响Leigh综合征法加型小鼠模型中B细胞的发育和增殖。
目的:法裔加拿大人Leigh综合征(LSFC)是一种罕见的常染色体隐性代谢疾病,其特征是严重的乳酸酸中毒危象和早期死亡。LSFC患者携带富含亮氨酸五肽重复序列(Leucine Rich Pentatricopeptide Repeat Containing, LRPPRC)核基因变异,导致呼吸链复合物缺陷和线粒体功能障碍。线粒体呼吸调节细胞代谢活动,影响许多细胞过程,包括免疫细胞的分化和功能。本研究的目的是确定Lrpprc在免疫细胞功能中的作用。方法:由于Lrpprc的基因缺失不可行,我们建立了两种条件小鼠模型:Lrpprc的系统性缺失模型和携带魁北克最常见的LSFC致病变异NM_133259.4(Lrpprc)的敲入(KI)模型:c。1061C > T (p.Ala354Val)。结果:我们证明Lrpprc即使在成年小鼠中也是必不可少的基因,因为Lrpprc的系统性缺失会导致显著的体重减轻和死亡。我们还发现乳酸水平升高,这是LSFC代谢危机的一个症状。Lrpprc缺失和致病性变异影响多种免疫细胞亚群,对B细胞的发育和增殖有强烈影响。结论:我们建立了一个可行的疾病相关小鼠模型来研究Lrpprc在体内的作用,发现Lrpprc的破坏严重损害了B细胞的发育和增殖。补充资料:在线版本包含补充资料,提供地址为10.1007/s44162-025-00094-x。
本文章由计算机程序翻译,如有差异,请以英文原文为准。
求助全文
约1分钟内获得全文 求助全文
来源期刊
自引率
0.00%
发文量
0
×
引用
GB/T 7714-2015
复制
MLA
复制
APA
复制
导出至
BibTeX EndNote RefMan NoteFirst NoteExpress
×
提示
您的信息不完整,为了账户安全,请先补充。
现在去补充
×
提示
您因"违规操作"
具体请查看互助需知
我知道了
×
提示
确定
请完成安全验证×
copy
已复制链接
快去分享给好友吧!
我知道了
右上角分享
点击右上角分享
0
联系我们:info@booksci.cn Book学术提供免费学术资源搜索服务,方便国内外学者检索中英文文献。致力于提供最便捷和优质的服务体验。 Copyright © 2023 布克学术 All rights reserved.
京ICP备2023020795号-1
ghs 京公网安备 11010802042870号
Book学术文献互助
Book学术文献互助群
群 号:604180095
Book学术官方微信