Adult presentation of Shwachman-Diamond syndrome complicated by liver cirrhosis and pancreatic fat infiltration: A case report.

IF 2.5 Q2 GASTROENTEROLOGY & HEPATOLOGY
Hai-Jun Guo
{"title":"Adult presentation of Shwachman-Diamond syndrome complicated by liver cirrhosis and pancreatic fat infiltration: A case report.","authors":"Hai-Jun Guo","doi":"10.4254/wjh.v17.i6.108558","DOIUrl":null,"url":null,"abstract":"<p><strong>Background: </strong>Shwachman-Diamond syndrome (SDS) is a rare genetic disorder that affects multiple organs, primarily the liver. Most patients are diagnosed during infancy or early childhood. As they grow older, the majority of affected children may experience spontaneous remission, and cases of cirrhosis in adults are rarely reported.</p><p><strong>Case summary: </strong>A 36-year-old male patient presented with massive ascites. Laboratory tests revealed pancytopenia and a serum-ascites albumin gradient greater than 1.1 g/dL. An abdominal computed tomography scan demonstrated cirrhosis, splenomegaly, pancreatic fat infiltration, and a substantial accumulation of peritoneal fluid. Gastroscopy identified esophageal varices. Liver stiffness measurement indicated a value of 32.7 kPa. Based on the results of auxiliary examinations, common causes of cirrhosis were excluded, and a mutation in the <i>Shwachman-Bodian-Diamond syndrome</i> gene was ultimately identified through whole-exome sequencing. The patient was diagnosed with cirrhosis secondary to SDS. Following the correction of hypoalbuminemia and administration of diuretics, the patient's ascites resolved.</p><p><strong>Conclusion: </strong>Patients with liver cirrhosis who also exhibit pancreatic fat infiltration and pancytopenia necessitate further exon testing to exclude the possibility of SDS.</p>","PeriodicalId":23687,"journal":{"name":"World Journal of Hepatology","volume":"17 6","pages":"108558"},"PeriodicalIF":2.5000,"publicationDate":"2025-06-27","publicationTypes":"Journal Article","fieldsOfStudy":null,"isOpenAccess":false,"openAccessPdf":"https://www.ncbi.nlm.nih.gov/pmc/articles/PMC12210156/pdf/","citationCount":"0","resultStr":null,"platform":"Semanticscholar","paperid":null,"PeriodicalName":"World Journal of Hepatology","FirstCategoryId":"1085","ListUrlMain":"https://doi.org/10.4254/wjh.v17.i6.108558","RegionNum":0,"RegionCategory":null,"ArticlePicture":[],"TitleCN":null,"AbstractTextCN":null,"PMCID":null,"EPubDate":"","PubModel":"","JCR":"Q2","JCRName":"GASTROENTEROLOGY & HEPATOLOGY","Score":null,"Total":0}
引用次数: 0

Abstract

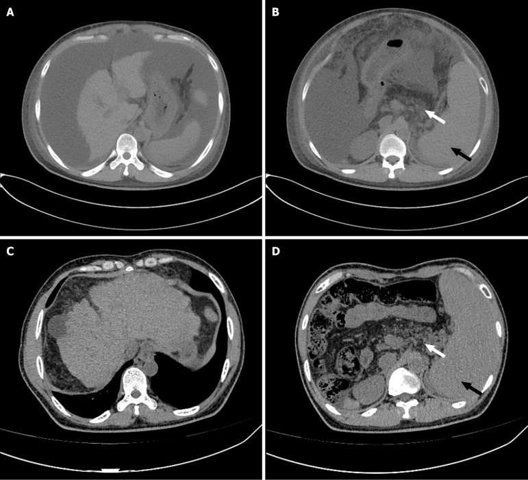
Background: Shwachman-Diamond syndrome (SDS) is a rare genetic disorder that affects multiple organs, primarily the liver. Most patients are diagnosed during infancy or early childhood. As they grow older, the majority of affected children may experience spontaneous remission, and cases of cirrhosis in adults are rarely reported.

Case summary: A 36-year-old male patient presented with massive ascites. Laboratory tests revealed pancytopenia and a serum-ascites albumin gradient greater than 1.1 g/dL. An abdominal computed tomography scan demonstrated cirrhosis, splenomegaly, pancreatic fat infiltration, and a substantial accumulation of peritoneal fluid. Gastroscopy identified esophageal varices. Liver stiffness measurement indicated a value of 32.7 kPa. Based on the results of auxiliary examinations, common causes of cirrhosis were excluded, and a mutation in the Shwachman-Bodian-Diamond syndrome gene was ultimately identified through whole-exome sequencing. The patient was diagnosed with cirrhosis secondary to SDS. Following the correction of hypoalbuminemia and administration of diuretics, the patient's ascites resolved.

Conclusion: Patients with liver cirrhosis who also exhibit pancreatic fat infiltration and pancytopenia necessitate further exon testing to exclude the possibility of SDS.

Abstract Image

Abstract Image

成人Shwachman-Diamond综合征并发肝硬化及胰腺脂肪浸润1例。
背景:Shwachman-Diamond综合征(SDS)是一种罕见的遗传性疾病,影响多器官,主要是肝脏。大多数患者在婴儿期或幼儿期被诊断出来。随着年龄的增长,大多数受影响的儿童可能会自发缓解,而成人肝硬化的病例很少报道。病例总结:一名36岁男性患者表现为大量腹水。实验室检查显示全血细胞减少症和血清-腹水白蛋白梯度大于1.1 g/dL。腹部计算机断层扫描显示肝硬化、脾肿大、胰腺脂肪浸润和大量腹膜积液。胃镜检查发现食管静脉曲张。肝脏硬度测量值为32.7 kPa。根据辅助检查的结果,排除肝硬化的常见原因,并最终通过全外显子组测序确定了Shwachman-Bodian-Diamond综合征基因突变。患者被诊断为SDS继发肝硬化。在纠正了低白蛋白血症并给予利尿剂后,病人的腹水消失了。结论:肝硬化患者同时表现为胰腺脂肪浸润和全血细胞减少,需要进一步的外显子检测以排除SDS的可能性。
本文章由计算机程序翻译,如有差异,请以英文原文为准。
求助全文
约1分钟内获得全文 求助全文
来源期刊
World Journal of Hepatology
World Journal of Hepatology GASTROENTEROLOGY & HEPATOLOGY-
CiteScore
4.10
自引率
4.20%
发文量
172
×
引用
GB/T 7714-2015
复制
MLA
复制
APA
复制
导出至
BibTeX EndNote RefMan NoteFirst NoteExpress
×
提示
您的信息不完整,为了账户安全,请先补充。
现在去补充
×
提示
您因"违规操作"
具体请查看互助需知
我知道了
×
提示
确定
请完成安全验证×
copy
已复制链接
快去分享给好友吧!
我知道了
右上角分享
点击右上角分享
0
联系我们:info@booksci.cn Book学术提供免费学术资源搜索服务,方便国内外学者检索中英文文献。致力于提供最便捷和优质的服务体验。 Copyright © 2023 布克学术 All rights reserved.
京ICP备2023020795号-1
ghs 京公网安备 11010802042870号
Book学术文献互助
Book学术文献互助群
群 号:604180095
Book学术官方微信