Inhibitory effects of ursolic acid on oxygen-induced mouse retinal neovascularization via intravitreal injection.

IF 1.4 3区 医学 Q4 BIOCHEMISTRY & MOLECULAR BIOLOGY
Molecular Vision Pub Date : 2025-04-10 eCollection Date: 2025-01-01
Lu Yang, Fen Yang, Weiliang Zhang, Yanhua Wang, Peng Chen, Shufang Du, Xiaoyan Liu, Yan Gao, Junhua Shi, Peng Wang, Rui Li, Qiang Su
{"title":"Inhibitory effects of ursolic acid on oxygen-induced mouse retinal neovascularization via intravitreal injection.","authors":"Lu Yang, Fen Yang, Weiliang Zhang, Yanhua Wang, Peng Chen, Shufang Du, Xiaoyan Liu, Yan Gao, Junhua Shi, Peng Wang, Rui Li, Qiang Su","doi":"","DOIUrl":null,"url":null,"abstract":"<p><p>Objective: This study aimed to explore the effects and mechanisms of ursolic acid (UA) on oxygen-induced retinal neovascularization (RNV) in mice and its inhibitory effects on human retinal capillary endothelial cells (HRCECs) under high-glucose conditions.</p><p><strong>Methods: </strong>Neonatal mice were divided into five groups: one normal group and four with oxygen-induced retinopathy (OIR), including OIR, phosphate-buffered saline, UA and Lucentis groups. On postnatal day 17 (P17), mice were euthanized and one eye was collected for retinal analysis using fluorescence microscopy. Protein and messenger ribonucleic acid (mRNA) levels of vascular endothelial growth factor (VEGF), matrix metalloproteinase (MMP)-2, MMP-9 and cyclo-oxygenase-2 (COX-2) were detected. HRCECs cultured under high-glucose conditions were treated with UA to assess its effects on proliferation and molecular expression.</p><p><strong>Results: </strong>UA significantly reduced RNV area in OIR mice and protected astrocytes from hypoxia-induced damage (p<0.01). VEGF, MMP-2, MMP-9 and COX-2 levels were lower in the UA group compared with the OIR and phosphate-buffered saline groups (p<0.05), but slightly higher than in normal controls (p<0.01). Lucentis reduced VEGF levels but did not significantly affect MMP-2, MMP-9 or COX-2. In HRCECs, UA inhibited high-glucose-induced proliferation and reduced VEGF, MMP-2, MMP-9 and COX-2 expression in a time- and dose-dependent manner.</p><p><strong>Conclusions: </strong>UA inhibits RNV by reducing VEGF, MMP-2, MMP-9 and COX-2 expression, protecting astrocytes and suppressing HRCEC proliferation under high-glucose conditions, highlighting its therapeutic potential for retinal neovascular diseases.</p>","PeriodicalId":18866,"journal":{"name":"Molecular Vision","volume":"31 ","pages":"160-173"},"PeriodicalIF":1.4000,"publicationDate":"2025-04-10","publicationTypes":"Journal Article","fieldsOfStudy":null,"isOpenAccess":false,"openAccessPdf":"https://www.ncbi.nlm.nih.gov/pmc/articles/PMC12221309/pdf/","citationCount":"0","resultStr":null,"platform":"Semanticscholar","paperid":null,"PeriodicalName":"Molecular Vision","FirstCategoryId":"3","ListUrlMain":"","RegionNum":3,"RegionCategory":"医学","ArticlePicture":[],"TitleCN":null,"AbstractTextCN":null,"PMCID":null,"EPubDate":"2025/1/1 0:00:00","PubModel":"eCollection","JCR":"Q4","JCRName":"BIOCHEMISTRY & MOLECULAR BIOLOGY","Score":null,"Total":0}
引用次数: 0

Abstract

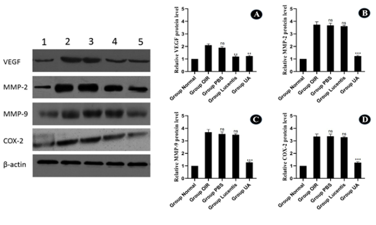
Objective: This study aimed to explore the effects and mechanisms of ursolic acid (UA) on oxygen-induced retinal neovascularization (RNV) in mice and its inhibitory effects on human retinal capillary endothelial cells (HRCECs) under high-glucose conditions.

Methods: Neonatal mice were divided into five groups: one normal group and four with oxygen-induced retinopathy (OIR), including OIR, phosphate-buffered saline, UA and Lucentis groups. On postnatal day 17 (P17), mice were euthanized and one eye was collected for retinal analysis using fluorescence microscopy. Protein and messenger ribonucleic acid (mRNA) levels of vascular endothelial growth factor (VEGF), matrix metalloproteinase (MMP)-2, MMP-9 and cyclo-oxygenase-2 (COX-2) were detected. HRCECs cultured under high-glucose conditions were treated with UA to assess its effects on proliferation and molecular expression.

Results: UA significantly reduced RNV area in OIR mice and protected astrocytes from hypoxia-induced damage (p<0.01). VEGF, MMP-2, MMP-9 and COX-2 levels were lower in the UA group compared with the OIR and phosphate-buffered saline groups (p<0.05), but slightly higher than in normal controls (p<0.01). Lucentis reduced VEGF levels but did not significantly affect MMP-2, MMP-9 or COX-2. In HRCECs, UA inhibited high-glucose-induced proliferation and reduced VEGF, MMP-2, MMP-9 and COX-2 expression in a time- and dose-dependent manner.

Conclusions: UA inhibits RNV by reducing VEGF, MMP-2, MMP-9 and COX-2 expression, protecting astrocytes and suppressing HRCEC proliferation under high-glucose conditions, highlighting its therapeutic potential for retinal neovascular diseases.

Abstract Image

Abstract Image

Abstract Image

熊果酸通过玻璃体内注射对氧诱导小鼠视网膜新生血管的抑制作用。
目的:探讨熊果酸(UA)对高糖条件下小鼠氧诱导视网膜新生血管(RNV)的影响及其机制,以及对人视网膜毛细血管内皮细胞(HRCECs)的抑制作用。方法:将新生小鼠分为正常组和氧致视网膜病变(OIR)组,分别为OIR组、磷酸盐缓冲盐水组、UA组和Lucentis组。在出生后第17天(P17),对小鼠实施安乐死,取一只眼荧光显微镜进行视网膜分析。检测血管内皮生长因子(VEGF)、基质金属蛋白酶(MMP)-2、MMP-9、环氧化酶-2 (COX-2)蛋白和信使核糖核酸(mRNA)水平。采用UA处理高糖条件下培养的HRCECs,评估其增殖和分子表达的影响。结论:UA通过降低高糖条件下VEGF、MMP-2、MMP-9和COX-2的表达,保护星形胶质细胞,抑制HRCEC的增殖,从而抑制RNV的表达,显示了其对视网膜新生血管疾病的治疗潜力。
本文章由计算机程序翻译,如有差异,请以英文原文为准。
求助全文
约1分钟内获得全文 求助全文
来源期刊
Molecular Vision
Molecular Vision 生物-生化与分子生物学
CiteScore
4.40
自引率
0.00%
发文量
25
审稿时长
1 months
期刊介绍: Molecular Vision is a peer-reviewed journal dedicated to the dissemination of research results in molecular biology, cell biology, and the genetics of the visual system (ocular and cortical). Molecular Vision publishes articles presenting original research that has not previously been published and comprehensive articles reviewing the current status of a particular field or topic. Submissions to Molecular Vision are subjected to rigorous peer review. Molecular Vision does NOT publish preprints. For authors, Molecular Vision provides a rapid means of communicating important results. Access to Molecular Vision is free and unrestricted, allowing the widest possible audience for your article. Digital publishing allows you to use color images freely (and without fees). Additionally, you may publish animations, sounds, or other supplementary information that clarifies or supports your article. Each of the authors of an article may also list an electronic mail address (which will be updated upon request) to give interested readers easy access to authors.
×
引用
GB/T 7714-2015
复制
MLA
复制
APA
复制
导出至
BibTeX EndNote RefMan NoteFirst NoteExpress
×
提示
您的信息不完整,为了账户安全,请先补充。
现在去补充
×
提示
您因"违规操作"
具体请查看互助需知
我知道了
×
提示
确定
请完成安全验证×
copy
已复制链接
快去分享给好友吧!
我知道了
右上角分享
点击右上角分享
0
联系我们:info@booksci.cn Book学术提供免费学术资源搜索服务,方便国内外学者检索中英文文献。致力于提供最便捷和优质的服务体验。 Copyright © 2023 布克学术 All rights reserved.
京ICP备2023020795号-1
ghs 京公网安备 11010802042870号
Book学术文献互助
Book学术文献互助群
群 号:604180095
Book学术官方微信