Spontaneous T-cell lymphoblastic lymphoma in a young ICR mouse: a case report.

IF 0.9 4区 医学 Q4 PATHOLOGY
Journal of Toxicologic Pathology Pub Date : 2025-07-01 Epub Date: 2025-03-13 DOI:10.1293/tox.2024-0086
Minkyoung Sung, Joo-Hee Choi, Soo-Eun Sung, Kyung-Ku Kang, Sun Hee Park, Duyeol Kim, Sijoon Lee
{"title":"Spontaneous T-cell lymphoblastic lymphoma in a young ICR mouse: a case report.","authors":"Minkyoung Sung, Joo-Hee Choi, Soo-Eun Sung, Kyung-Ku Kang, Sun Hee Park, Duyeol Kim, Sijoon Lee","doi":"10.1293/tox.2024-0086","DOIUrl":null,"url":null,"abstract":"<p><p>Lymphoblastic lymphoma (LBL) is an aggressive neoplasm characterized by the proliferation of undifferentiated lymphocytes. It primarily spreads to immune organs such as the thymus, spleen, lymph nodes, bone marrow, and liver. Although well-documented in humans, spontaneous LBL cases in laboratory animals are exceedingly rare. This study reports a case of T cell-derived LBL in a young adult ICR mouse, notably without bone marrow metastasis. This case provides valuable insights into the spontaneous occurrence of LBL in laboratory rodents by contributing to comparative oncology and preclinical research.</p>","PeriodicalId":17437,"journal":{"name":"Journal of Toxicologic Pathology","volume":"38 3","pages":"199-203"},"PeriodicalIF":0.9000,"publicationDate":"2025-07-01","publicationTypes":"Journal Article","fieldsOfStudy":null,"isOpenAccess":false,"openAccessPdf":"https://www.ncbi.nlm.nih.gov/pmc/articles/PMC12208864/pdf/","citationCount":"0","resultStr":null,"platform":"Semanticscholar","paperid":null,"PeriodicalName":"Journal of Toxicologic Pathology","FirstCategoryId":"3","ListUrlMain":"https://doi.org/10.1293/tox.2024-0086","RegionNum":4,"RegionCategory":"医学","ArticlePicture":[],"TitleCN":null,"AbstractTextCN":null,"PMCID":null,"EPubDate":"2025/3/13 0:00:00","PubModel":"Epub","JCR":"Q4","JCRName":"PATHOLOGY","Score":null,"Total":0}
引用次数: 0

Abstract

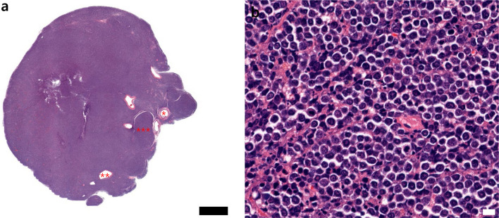
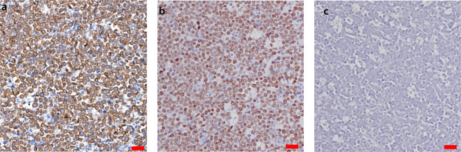
Lymphoblastic lymphoma (LBL) is an aggressive neoplasm characterized by the proliferation of undifferentiated lymphocytes. It primarily spreads to immune organs such as the thymus, spleen, lymph nodes, bone marrow, and liver. Although well-documented in humans, spontaneous LBL cases in laboratory animals are exceedingly rare. This study reports a case of T cell-derived LBL in a young adult ICR mouse, notably without bone marrow metastasis. This case provides valuable insights into the spontaneous occurrence of LBL in laboratory rodents by contributing to comparative oncology and preclinical research.

Abstract Image

Abstract Image

Abstract Image

幼年ICR小鼠自发性t细胞淋巴母细胞淋巴瘤一例报告。
淋巴母细胞淋巴瘤(LBL)是一种侵袭性肿瘤,以未分化淋巴细胞增生为特征。它主要扩散到免疫器官,如胸腺、脾脏、淋巴结、骨髓和肝脏。虽然在人类中有充分的记录,但在实验动物中自发性LBL病例极为罕见。本研究报告了一例年轻成年ICR小鼠的T细胞源性LBL,特别是没有骨髓转移。本病例通过对比较肿瘤学和临床前研究的贡献,为实验室啮齿动物中LBL的自发发生提供了有价值的见解。
本文章由计算机程序翻译,如有差异,请以英文原文为准。
求助全文
约1分钟内获得全文 求助全文
来源期刊
Journal of Toxicologic Pathology
Journal of Toxicologic Pathology PATHOLOGY-TOXICOLOGY
CiteScore
2.10
自引率
16.70%
发文量
22
审稿时长
>12 weeks
期刊介绍: JTP is a scientific journal that publishes original studies in the field of toxicological pathology and in a wide variety of other related fields. The main scope of the journal is listed below. Administrative Opinions of Policymakers and Regulatory Agencies Adverse Events Carcinogenesis Data of A Predominantly Negative Nature Drug-Induced Hematologic Toxicity Embryological Pathology High Throughput Pathology Historical Data of Experimental Animals Immunohistochemical Analysis Molecular Pathology Nomenclature of Lesions Non-mammal Toxicity Study Result or Lesion Induced by Chemicals of Which Names Hidden on Account of the Authors Technology and Methodology Related to Toxicological Pathology Tumor Pathology; Neoplasia and Hyperplasia Ultrastructural Analysis Use of Animal Models.
×
引用
GB/T 7714-2015
复制
MLA
复制
APA
复制
导出至
BibTeX EndNote RefMan NoteFirst NoteExpress
×
提示
您的信息不完整,为了账户安全,请先补充。
现在去补充
×
提示
您因"违规操作"
具体请查看互助需知
我知道了
×
提示
确定
请完成安全验证×
copy
已复制链接
快去分享给好友吧!
我知道了
右上角分享
点击右上角分享
0
联系我们:info@booksci.cn Book学术提供免费学术资源搜索服务,方便国内外学者检索中英文文献。致力于提供最便捷和优质的服务体验。 Copyright © 2023 布克学术 All rights reserved.
京ICP备2023020795号-1
ghs 京公网安备 11010802042870号
Book学术文献互助
Book学术文献互助群
群 号:604180095
Book学术官方微信