Clinical characteristics and factors influencing hospitalization in pediatric patients with foreign body aspiration: a comprehensive analysis in an emergency department.

IF 2 Q2 EMERGENCY MEDICINE
Piyadarat Asawasakulchokedee, Rattapon Uppala, Phanthila Sitthikarnkha, Sirapoom Niamsanit, Leelawadee Techasatian, Suchaorn Saengnipanthkul, Pornthep Kasemsiri
{"title":"Clinical characteristics and factors influencing hospitalization in pediatric patients with foreign body aspiration: a comprehensive analysis in an emergency department.","authors":"Piyadarat Asawasakulchokedee, Rattapon Uppala, Phanthila Sitthikarnkha, Sirapoom Niamsanit, Leelawadee Techasatian, Suchaorn Saengnipanthkul, Pornthep Kasemsiri","doi":"10.1186/s12245-025-00923-2","DOIUrl":null,"url":null,"abstract":"<p><strong>Background: </strong>Foreign body aspiration (FBA) in children is a potentially life-threatening event, especially in those under 3 years of age. This study aimed to identify clinical factors associated with hospitalization in pediatric FBA and to highlight innovative retrieval methods used in a tertiary care setting.</p><p><strong>Methods: </strong>A retrospective analysis was conducted of pediatric patients (< 18 years) presenting with confirmed airway FBA between January 2015 and September 2023 at Srinagarind Hospital, Khon Kaen University. Demographic information, clinical characteristics, and procedural data were collected. Univariate and multivariate logistic regression analyses identified predictors of hospitalization.</p><p><strong>Results: </strong>Among 297 pediatric patients with FBA, 39 (13.1%) required hospitalization. Hospitalized children were younger (median age: 3 years; interquartile range [IQR] 2-7) compared with non-hospitalized children (median age: 4 years; IQR 3-7, p = 0.018). FBA involving the larynx-trachea-bronchus significantly increased the likelihood of admission (adjusted odds ratio [AOR] = 22.0; 95% confidence interval [CI]: 6.64-72.63; p < 0.001). Delayed presentation to the emergency department more than two hours after onset was also associated with hospitalization (OR = 2.77; 95% CI: 1.08-7.09; p = 0.033). Although rigid bronchoscopy remained the mainstay treatment, flexible bronchoscopy was successfully utilized in nine cases. Notably, a novel technique using a 3 mm gold-plated neodymium magnet under fluoroscopic guidance enabled the safe retrieval of distal metallic foreign bodies. Complete removal of the aspirated objects was achieved in all patients; however, one patient died following prolonged hypoxia prior to hospital arrival.</p><p><strong>Conclusions: </strong>Younger age, delayed emergency department presentation, and location of the foreign body in the larynx-trachea-bronchus are significant predictors of hospitalization in pediatric FBA. Rigid bronchoscopy remains the primary management strategy, while flexible bronchoscopy and innovative retrieval methods, including magnet-assisted approaches, offer effective alternatives in specific scenarios. Emphasizing early diagnosis and rapid intervention is essential to reduce complications and improve outcomes in children with FBA.</p>","PeriodicalId":13967,"journal":{"name":"International Journal of Emergency Medicine","volume":"18 1","pages":"115"},"PeriodicalIF":2.0000,"publicationDate":"2025-07-01","publicationTypes":"Journal Article","fieldsOfStudy":null,"isOpenAccess":false,"openAccessPdf":"https://www.ncbi.nlm.nih.gov/pmc/articles/PMC12220252/pdf/","citationCount":"0","resultStr":null,"platform":"Semanticscholar","paperid":null,"PeriodicalName":"International Journal of Emergency Medicine","FirstCategoryId":"1085","ListUrlMain":"https://doi.org/10.1186/s12245-025-00923-2","RegionNum":0,"RegionCategory":null,"ArticlePicture":[],"TitleCN":null,"AbstractTextCN":null,"PMCID":null,"EPubDate":"","PubModel":"","JCR":"Q2","JCRName":"EMERGENCY MEDICINE","Score":null,"Total":0}
引用次数: 0

Abstract

Background: Foreign body aspiration (FBA) in children is a potentially life-threatening event, especially in those under 3 years of age. This study aimed to identify clinical factors associated with hospitalization in pediatric FBA and to highlight innovative retrieval methods used in a tertiary care setting.

Methods: A retrospective analysis was conducted of pediatric patients (< 18 years) presenting with confirmed airway FBA between January 2015 and September 2023 at Srinagarind Hospital, Khon Kaen University. Demographic information, clinical characteristics, and procedural data were collected. Univariate and multivariate logistic regression analyses identified predictors of hospitalization.

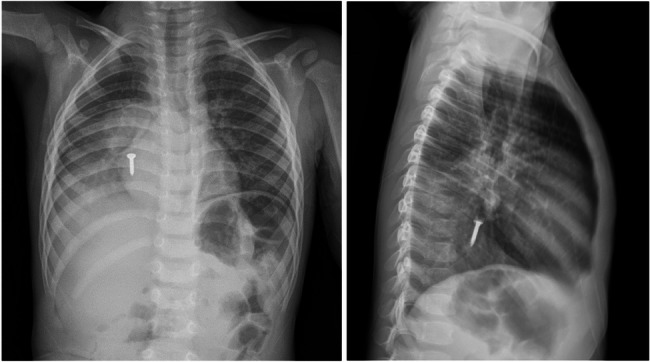
Results: Among 297 pediatric patients with FBA, 39 (13.1%) required hospitalization. Hospitalized children were younger (median age: 3 years; interquartile range [IQR] 2-7) compared with non-hospitalized children (median age: 4 years; IQR 3-7, p = 0.018). FBA involving the larynx-trachea-bronchus significantly increased the likelihood of admission (adjusted odds ratio [AOR] = 22.0; 95% confidence interval [CI]: 6.64-72.63; p < 0.001). Delayed presentation to the emergency department more than two hours after onset was also associated with hospitalization (OR = 2.77; 95% CI: 1.08-7.09; p = 0.033). Although rigid bronchoscopy remained the mainstay treatment, flexible bronchoscopy was successfully utilized in nine cases. Notably, a novel technique using a 3 mm gold-plated neodymium magnet under fluoroscopic guidance enabled the safe retrieval of distal metallic foreign bodies. Complete removal of the aspirated objects was achieved in all patients; however, one patient died following prolonged hypoxia prior to hospital arrival.

Conclusions: Younger age, delayed emergency department presentation, and location of the foreign body in the larynx-trachea-bronchus are significant predictors of hospitalization in pediatric FBA. Rigid bronchoscopy remains the primary management strategy, while flexible bronchoscopy and innovative retrieval methods, including magnet-assisted approaches, offer effective alternatives in specific scenarios. Emphasizing early diagnosis and rapid intervention is essential to reduce complications and improve outcomes in children with FBA.

Abstract Image

小儿异物吸入的临床特点及影响住院的因素:急诊综合分析。
背景:儿童异物吸入(FBA)是一种潜在的危及生命的事件,特别是在3岁以下的儿童中。本研究旨在确定与儿科FBA住院相关的临床因素,并强调在三级医疗机构中使用的创新检索方法。方法:对297例小儿FBA患者进行回顾性分析。结果:在297例患儿中,39例(13.1%)需要住院治疗。住院儿童年龄较小(中位年龄:3岁;四分位数间距[IQR] 2-7)与非住院儿童(中位年龄:4岁;IQR 3-7, p = 0.018)。累及喉-气管-支气管的FBA显著增加了入院的可能性(校正优势比[AOR] = 22.0;95%置信区间[CI]: 6.64-72.63;结论:年龄较小、急诊就诊延迟、异物在喉-气管-支气管的位置是儿童FBA住院的重要预测因素。刚性支气管镜检查仍然是主要的治疗策略,而柔性支气管镜检查和创新的检索方法,包括磁铁辅助方法,在特定情况下提供了有效的替代方案。强调早期诊断和快速干预对于减少FBA患儿的并发症和改善预后至关重要。
本文章由计算机程序翻译,如有差异,请以英文原文为准。
求助全文
约1分钟内获得全文 求助全文
来源期刊
CiteScore
4.60
自引率
0.00%
发文量
63
审稿时长
13 weeks
期刊介绍: The aim of the journal is to bring to light the various clinical advancements and research developments attained over the world and thus help the specialty forge ahead. It is directed towards physicians and medical personnel undergoing training or working within the field of Emergency Medicine. Medical students who are interested in pursuing a career in Emergency Medicine will also benefit from the journal. This is particularly useful for trainees in countries where the specialty is still in its infancy. Disciplines covered will include interesting clinical cases, the latest evidence-based practice and research developments in Emergency medicine including emergency pediatrics.
×
引用
GB/T 7714-2015
复制
MLA
复制
APA
复制
导出至
BibTeX EndNote RefMan NoteFirst NoteExpress
×
提示
您的信息不完整,为了账户安全,请先补充。
现在去补充
×
提示
您因"违规操作"
具体请查看互助需知
我知道了
×
提示
确定
请完成安全验证×
copy
已复制链接
快去分享给好友吧!
我知道了
右上角分享
点击右上角分享
0
联系我们:info@booksci.cn Book学术提供免费学术资源搜索服务,方便国内外学者检索中英文文献。致力于提供最便捷和优质的服务体验。 Copyright © 2023 布克学术 All rights reserved.
京ICP备2023020795号-1
ghs 京公网安备 11010802042870号
Book学术文献互助
Book学术文献互助群
群 号:604180095
Book学术官方微信