Adrenal crisis due to pembrolizumab-induced hypophysitis in a patient with triple-negative breast cancer.

Endocrine oncology (Bristol, England) Pub Date : 2025-06-26 eCollection Date: 2025-01-01 DOI:10.1530/EO-25-0046
Sobrina S Mohammed, Sallam Alrosan, Reda Asad
{"title":"Adrenal crisis due to pembrolizumab-induced hypophysitis in a patient with triple-negative breast cancer.","authors":"Sobrina S Mohammed, Sallam Alrosan, Reda Asad","doi":"10.1530/EO-25-0046","DOIUrl":null,"url":null,"abstract":"<p><p>We report a case of a 43-year-old woman with stage IIB triple-negative breast cancer (TNBC) on neoadjuvant pembrolizumab presenting in adrenal crisis. Biochemical evaluation revealed isolated adrenocorticotropic hormone (ACTH) deficiency, and MRI demonstrated a partial empty sella; findings consistent with pembrolizumab-induced hypophysitis. Glucocorticoid replacement therapy led to symptom resolution. Pembrolizumab-induced hypophysitis is rare (incidence ∼0.98%), often associated with isolated ACTH deficiency, making diagnosis challenging due to nonspecific symptoms and frequently unremarkable pituitary imaging. As ICI use expands, clinician awareness of immune-related adverse effects (irAEs) is essential to prevent life-threatening complications and improve outcomes.</p>","PeriodicalId":72907,"journal":{"name":"Endocrine oncology (Bristol, England)","volume":"5 1","pages":"e250046"},"PeriodicalIF":0.0000,"publicationDate":"2025-06-26","publicationTypes":"Journal Article","fieldsOfStudy":null,"isOpenAccess":false,"openAccessPdf":"https://www.ncbi.nlm.nih.gov/pmc/articles/PMC12203771/pdf/","citationCount":"0","resultStr":null,"platform":"Semanticscholar","paperid":null,"PeriodicalName":"Endocrine oncology (Bristol, England)","FirstCategoryId":"1085","ListUrlMain":"https://doi.org/10.1530/EO-25-0046","RegionNum":0,"RegionCategory":null,"ArticlePicture":[],"TitleCN":null,"AbstractTextCN":null,"PMCID":null,"EPubDate":"2025/1/1 0:00:00","PubModel":"eCollection","JCR":"","JCRName":"","Score":null,"Total":0}
引用次数: 0

Abstract

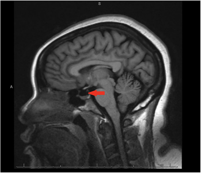
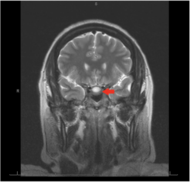
We report a case of a 43-year-old woman with stage IIB triple-negative breast cancer (TNBC) on neoadjuvant pembrolizumab presenting in adrenal crisis. Biochemical evaluation revealed isolated adrenocorticotropic hormone (ACTH) deficiency, and MRI demonstrated a partial empty sella; findings consistent with pembrolizumab-induced hypophysitis. Glucocorticoid replacement therapy led to symptom resolution. Pembrolizumab-induced hypophysitis is rare (incidence ∼0.98%), often associated with isolated ACTH deficiency, making diagnosis challenging due to nonspecific symptoms and frequently unremarkable pituitary imaging. As ICI use expands, clinician awareness of immune-related adverse effects (irAEs) is essential to prevent life-threatening complications and improve outcomes.

Abstract Image

Abstract Image

Abstract Image

三阴性乳腺癌患者因派姆单抗诱导的垂体炎引起肾上腺危机。
我们报告一例43岁女性IIB期三阴性乳腺癌(TNBC)新辅助派姆单抗呈现肾上腺危机。生化评估显示孤立的促肾上腺皮质激素(ACTH)缺乏,MRI显示部分空鞍;结果与派姆单抗诱导的垂体炎一致。糖皮质激素替代治疗导致症状缓解。pembrolizumab引起的垂体炎是罕见的(发生率约0.98%),通常与孤立的ACTH缺乏相关,由于非特异性症状和经常不显著的垂体成像,使得诊断具有挑战性。随着ICI使用的扩大,临床医生对免疫相关不良反应(irAEs)的认识对于预防危及生命的并发症和改善预后至关重要。
本文章由计算机程序翻译,如有差异,请以英文原文为准。
求助全文
约1分钟内获得全文 求助全文
来源期刊
自引率
0.00%
发文量
0
×
引用
GB/T 7714-2015
复制
MLA
复制
APA
复制
导出至
BibTeX EndNote RefMan NoteFirst NoteExpress
×
提示
您的信息不完整,为了账户安全,请先补充。
现在去补充
×
提示
您因"违规操作"
具体请查看互助需知
我知道了
×
提示
确定
请完成安全验证×
copy
已复制链接
快去分享给好友吧!
我知道了
右上角分享
点击右上角分享
0
联系我们:info@booksci.cn Book学术提供免费学术资源搜索服务,方便国内外学者检索中英文文献。致力于提供最便捷和优质的服务体验。 Copyright © 2023 布克学术 All rights reserved.
京ICP备2023020795号-1
ghs 京公网安备 11010802042870号
Book学术文献互助
Book学术文献互助群
群 号:604180095
Book学术官方微信