Fibroblast lipid metabolism through ACSL4 regulates epithelial sensitivity to ferroptosis in IBD

IF 20.8 1区 医学 Q1 ENDOCRINOLOGY & METABOLISM
Wesley Huang, Yuezhong Zhang, Nupur K. Das, Sumeet Solanki, Chesta Jain, Marwa O. El-Derany, Imhoi Koo, Hannah N. Bell, Noora Aabed, Rashi Singhal, Cristina Castillo, Kathryn Buscher, Yinzhi Ying, James Dimitroff, Ankit Sharma, Jiaqi Shi, Simon P. Hogan, Michael K. Dame, Peter D. R. Higgins, Justin A. Colacino, Tae Gyu Oh, Jason R. Spence, Andrew D. Patterson, Andrew S. Greenberg, Joel K. Greenson, Asma Nusrat, Yatrik M. Shah
{"title":"Fibroblast lipid metabolism through ACSL4 regulates epithelial sensitivity to ferroptosis in IBD","authors":"Wesley Huang, Yuezhong Zhang, Nupur K. Das, Sumeet Solanki, Chesta Jain, Marwa O. El-Derany, Imhoi Koo, Hannah N. Bell, Noora Aabed, Rashi Singhal, Cristina Castillo, Kathryn Buscher, Yinzhi Ying, James Dimitroff, Ankit Sharma, Jiaqi Shi, Simon P. Hogan, Michael K. Dame, Peter D. R. Higgins, Justin A. Colacino, Tae Gyu Oh, Jason R. Spence, Andrew D. Patterson, Andrew S. Greenberg, Joel K. Greenson, Asma Nusrat, Yatrik M. Shah","doi":"10.1038/s42255-025-01313-x","DOIUrl":null,"url":null,"abstract":"Increased reactive oxygen species (ROS) levels are a hallmark of inflammatory bowel disease (IBD) and constitute a major mechanism of epithelial cell death. Approaches to broadly inhibit ROS have had limited efficacy in treating IBD. Here we show that lipid peroxidation contributes to the pathophysiology of IBD by promoting ferroptosis, an iron-dependent form of programmed cell death. Mechanistically, we provide evidence of heterocellular crosstalk between intestinal fibroblasts and epithelial cells. In IBD tissues and mouse models of chronic colitis, acyl-CoA synthetase long-chain family 4 (ACSL4) is overexpressed in fibroblasts. ACSL4 in fibroblasts reprograms lipid metabolism and mediates intestinal epithelial cell sensitivity to ferroptosis. In mouse models, overexpressing ACSL4 in fibroblasts results in increased intestinal epithelial ferroptosis and worsened colitis, while pharmacological inhibition or deletion of fibroblast ACSL4 ameliorates colitis. Our work provides a targeted approach to therapeutic antioxidant treatments for IBD. Acyl-CoA synthetase long-chain family 4 (ACSL4)-driven changes in lipid metabolism are shown to modulate the sensitivity of intestinal epithelial cells to ferroptosis, thereby exacerbating inflammatory bowel disease.","PeriodicalId":19038,"journal":{"name":"Nature metabolism","volume":"7 7","pages":"1358-1374"},"PeriodicalIF":20.8000,"publicationDate":"2025-06-26","publicationTypes":"Journal Article","fieldsOfStudy":null,"isOpenAccess":false,"openAccessPdf":"","citationCount":"0","resultStr":null,"platform":"Semanticscholar","paperid":null,"PeriodicalName":"Nature metabolism","FirstCategoryId":"3","ListUrlMain":"https://www.nature.com/articles/s42255-025-01313-x","RegionNum":1,"RegionCategory":"医学","ArticlePicture":[],"TitleCN":null,"AbstractTextCN":null,"PMCID":null,"EPubDate":"","PubModel":"","JCR":"Q1","JCRName":"ENDOCRINOLOGY & METABOLISM","Score":null,"Total":0}
引用次数: 0

Abstract

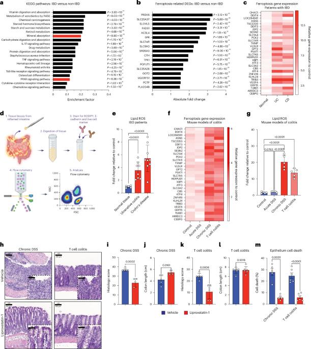
Increased reactive oxygen species (ROS) levels are a hallmark of inflammatory bowel disease (IBD) and constitute a major mechanism of epithelial cell death. Approaches to broadly inhibit ROS have had limited efficacy in treating IBD. Here we show that lipid peroxidation contributes to the pathophysiology of IBD by promoting ferroptosis, an iron-dependent form of programmed cell death. Mechanistically, we provide evidence of heterocellular crosstalk between intestinal fibroblasts and epithelial cells. In IBD tissues and mouse models of chronic colitis, acyl-CoA synthetase long-chain family 4 (ACSL4) is overexpressed in fibroblasts. ACSL4 in fibroblasts reprograms lipid metabolism and mediates intestinal epithelial cell sensitivity to ferroptosis. In mouse models, overexpressing ACSL4 in fibroblasts results in increased intestinal epithelial ferroptosis and worsened colitis, while pharmacological inhibition or deletion of fibroblast ACSL4 ameliorates colitis. Our work provides a targeted approach to therapeutic antioxidant treatments for IBD. Acyl-CoA synthetase long-chain family 4 (ACSL4)-driven changes in lipid metabolism are shown to modulate the sensitivity of intestinal epithelial cells to ferroptosis, thereby exacerbating inflammatory bowel disease.

Abstract Image

Abstract Image

通过ACSL4的成纤维细胞脂质代谢调节IBD中上皮对铁下垂的敏感性
活性氧(ROS)水平升高是炎症性肠病(IBD)的标志,也是上皮细胞死亡的主要机制。广泛抑制ROS的方法在治疗IBD方面的疗效有限。在这里,我们表明脂质过氧化通过促进铁凋亡(一种铁依赖性的程序性细胞死亡形式)有助于IBD的病理生理。在机制上,我们提供了肠成纤维细胞和上皮细胞之间的异细胞串扰的证据。在IBD组织和慢性结肠炎小鼠模型中,成纤维细胞中酰基辅酶a合成酶长链家族4 (ACSL4)过表达。成纤维细胞中的ACSL4重编程脂质代谢并介导肠上皮细胞对铁下垂的敏感性。在小鼠模型中,在成纤维细胞中过表达ACSL4导致肠上皮性铁上落症增加和结肠炎恶化,而药物抑制或删除成纤维细胞ACSL4可改善结肠炎。我们的工作为IBD的抗氧化治疗提供了一种有针对性的方法。
本文章由计算机程序翻译,如有差异,请以英文原文为准。
求助全文
约1分钟内获得全文 求助全文
来源期刊
Nature metabolism
Nature metabolism ENDOCRINOLOGY & METABOLISM-
CiteScore
27.50
自引率
2.40%
发文量
170
期刊介绍: Nature Metabolism is a peer-reviewed scientific journal that covers a broad range of topics in metabolism research. It aims to advance the understanding of metabolic and homeostatic processes at a cellular and physiological level. The journal publishes research from various fields, including fundamental cell biology, basic biomedical and translational research, and integrative physiology. It focuses on how cellular metabolism affects cellular function, the physiology and homeostasis of organs and tissues, and the regulation of organismal energy homeostasis. It also investigates the molecular pathophysiology of metabolic diseases such as diabetes and obesity, as well as their treatment. Nature Metabolism follows the standards of other Nature-branded journals, with a dedicated team of professional editors, rigorous peer-review process, high standards of copy-editing and production, swift publication, and editorial independence. The journal has a high impact factor, has a certain influence in the international area, and is deeply concerned and cited by the majority of scholars.
×
引用
GB/T 7714-2015
复制
MLA
复制
APA
复制
导出至
BibTeX EndNote RefMan NoteFirst NoteExpress
×
提示
您的信息不完整,为了账户安全,请先补充。
现在去补充
×
提示
您因"违规操作"
具体请查看互助需知
我知道了
×
提示
确定
请完成安全验证×
copy
已复制链接
快去分享给好友吧!
我知道了
右上角分享
点击右上角分享
0
联系我们:info@booksci.cn Book学术提供免费学术资源搜索服务,方便国内外学者检索中英文文献。致力于提供最便捷和优质的服务体验。 Copyright © 2023 布克学术 All rights reserved.
京ICP备2023020795号-1
ghs 京公网安备 11010802042870号
Book学术文献互助
Book学术文献互助群
群 号:604180095
Book学术官方微信