Assessment of Mandibular Bone Architecture in Patients with Endocrine Disorders Using Fractal Dimension and Histogram Analysis.

IF 2.2 4区 医学 Q2 RADIOLOGY, NUCLEAR MEDICINE & MEDICAL IMAGING
Elif Yıldızer, Saliha Kubra Sari, Fatih Peker, Ali Riza Erdogan, Kevser Sancak, Sinan Yasin Ertem
{"title":"Assessment of Mandibular Bone Architecture in Patients with Endocrine Disorders Using Fractal Dimension and Histogram Analysis.","authors":"Elif Yıldızer, Saliha Kubra Sari, Fatih Peker, Ali Riza Erdogan, Kevser Sancak, Sinan Yasin Ertem","doi":"10.3390/tomography11060070","DOIUrl":null,"url":null,"abstract":"<p><strong>Objective: </strong>Endocrine disorders, including diabetes mellitus and thyroid dysfunctions, can significantly impact bone metabolism and structure. This study aimed to assess mandibular trabecular architecture in patients with type 1 diabetes mellitus (T1DM), type 2 diabetes mellitus (T2DM), hyperthyroidism, and hypothyroidism using fractal dimension (FD) and histogram analyses (HA), comparing the findings with a healthy control group.</p><p><strong>Methods: </strong>This retrospective study analyzed panoramic radiographs from 200 individuals, comprising 40 patients in each of the four endocrine disorder groups and 40 healthy controls. Fractal dimension and histogram-based pixel intensity analyses were conducted using ImageJ™ (version 1.53) software. Four standardized regions of interest (ROI) were evaluated on the right mandible, and statistical comparisons were conducted across groups using one-way analysis of variance (ANOVA), <i>t</i>-test, Mann-Whitney U, and Spearman correlation analyses.</p><p><strong>Results: </strong>Age and gender distributions did not differ significantly between groups. FD analysis revealed a significant reduction at ROI1 in the hyperthyroidism group compared to controls (<i>p</i> = 0.018); however, no other significant FD differences were observed among the remaining groups or ROIs. A significant positive correlation was found between FD and histogram values at ROI1 and ROI2 (<i>p</i> < 0.001), while pixel intensity values did not differ significantly across groups in any ROI.</p><p><strong>Conclusion: </strong>Although no significant differences were found in diabetic groups, the decreased FD in hyperthyroid patients suggests that FD analysis may be a useful non-invasive method to detect subtle bone alterations. Further research with larger sample sizes and comprehensive biochemical analyses are needed to confirm these findings.</p>","PeriodicalId":51330,"journal":{"name":"Tomography","volume":"11 6","pages":""},"PeriodicalIF":2.2000,"publicationDate":"2025-06-18","publicationTypes":"Journal Article","fieldsOfStudy":null,"isOpenAccess":false,"openAccessPdf":"https://www.ncbi.nlm.nih.gov/pmc/articles/PMC12196900/pdf/","citationCount":"0","resultStr":null,"platform":"Semanticscholar","paperid":null,"PeriodicalName":"Tomography","FirstCategoryId":"3","ListUrlMain":"https://doi.org/10.3390/tomography11060070","RegionNum":4,"RegionCategory":"医学","ArticlePicture":[],"TitleCN":null,"AbstractTextCN":null,"PMCID":null,"EPubDate":"","PubModel":"","JCR":"Q2","JCRName":"RADIOLOGY, NUCLEAR MEDICINE & MEDICAL IMAGING","Score":null,"Total":0}
引用次数: 0

Abstract

Objective: Endocrine disorders, including diabetes mellitus and thyroid dysfunctions, can significantly impact bone metabolism and structure. This study aimed to assess mandibular trabecular architecture in patients with type 1 diabetes mellitus (T1DM), type 2 diabetes mellitus (T2DM), hyperthyroidism, and hypothyroidism using fractal dimension (FD) and histogram analyses (HA), comparing the findings with a healthy control group.

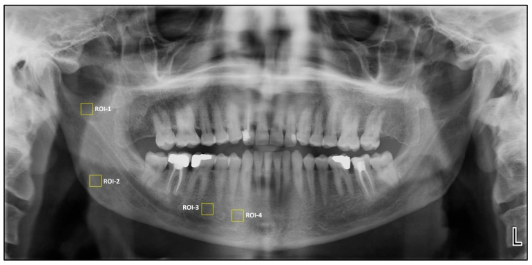
Methods: This retrospective study analyzed panoramic radiographs from 200 individuals, comprising 40 patients in each of the four endocrine disorder groups and 40 healthy controls. Fractal dimension and histogram-based pixel intensity analyses were conducted using ImageJ™ (version 1.53) software. Four standardized regions of interest (ROI) were evaluated on the right mandible, and statistical comparisons were conducted across groups using one-way analysis of variance (ANOVA), t-test, Mann-Whitney U, and Spearman correlation analyses.

Results: Age and gender distributions did not differ significantly between groups. FD analysis revealed a significant reduction at ROI1 in the hyperthyroidism group compared to controls (p = 0.018); however, no other significant FD differences were observed among the remaining groups or ROIs. A significant positive correlation was found between FD and histogram values at ROI1 and ROI2 (p < 0.001), while pixel intensity values did not differ significantly across groups in any ROI.

Conclusion: Although no significant differences were found in diabetic groups, the decreased FD in hyperthyroid patients suggests that FD analysis may be a useful non-invasive method to detect subtle bone alterations. Further research with larger sample sizes and comprehensive biochemical analyses are needed to confirm these findings.

Abstract Image

Abstract Image

Abstract Image

用分形维数和直方图分析评价内分泌紊乱患者的下颌骨结构。
目的:内分泌失调,包括糖尿病和甲状腺功能障碍,可显著影响骨代谢和骨结构。本研究旨在利用分形维数(FD)和直方图分析(HA)评估1型糖尿病(T1DM)、2型糖尿病(T2DM)、甲状腺功能亢进和甲状腺功能减退患者的下颌小梁结构,并将结果与健康对照组进行比较。方法:本回顾性研究分析了200例患者的全景x线片,其中包括4组内分泌紊乱患者,每组40例,对照组40例。使用ImageJ™(1.53版)软件进行分形维数和基于直方图的像素强度分析。对右侧下颌骨的四个标准化感兴趣区域(ROI)进行评估,并采用单因素方差分析(ANOVA)、t检验、Mann-Whitney U和Spearman相关分析进行组间统计比较。结果:组间年龄、性别分布无明显差异。FD分析显示,与对照组相比,甲亢组ROI1显著降低(p = 0.018);然而,在其余组或roi之间没有观察到其他显著的FD差异。FD与ROI1和ROI2的直方图值之间存在显著的正相关(p < 0.001),而像素强度值在任何ROI中各组间均无显著差异。结论:虽然在糖尿病组中没有发现显著性差异,但甲状腺功能亢进患者FD的下降表明FD分析可能是一种有用的非侵入性方法来检测细微的骨改变。进一步的研究需要更大的样本量和全面的生化分析来证实这些发现。
本文章由计算机程序翻译,如有差异,请以英文原文为准。
求助全文
约1分钟内获得全文 求助全文
来源期刊
Tomography
Tomography Medicine-Radiology, Nuclear Medicine and Imaging
CiteScore
2.70
自引率
10.50%
发文量
222
期刊介绍: TomographyTM publishes basic (technical and pre-clinical) and clinical scientific articles which involve the advancement of imaging technologies. Tomography encompasses studies that use single or multiple imaging modalities including for example CT, US, PET, SPECT, MR and hyperpolarization technologies, as well as optical modalities (i.e. bioluminescence, photoacoustic, endomicroscopy, fiber optic imaging and optical computed tomography) in basic sciences, engineering, preclinical and clinical medicine. Tomography also welcomes studies involving exploration and refinement of contrast mechanisms and image-derived metrics within and across modalities toward the development of novel imaging probes for image-based feedback and intervention. The use of imaging in biology and medicine provides unparalleled opportunities to noninvasively interrogate tissues to obtain real-time dynamic and quantitative information required for diagnosis and response to interventions and to follow evolving pathological conditions. As multi-modal studies and the complexities of imaging technologies themselves are ever increasing to provide advanced information to scientists and clinicians. Tomography provides a unique publication venue allowing investigators the opportunity to more precisely communicate integrated findings related to the diverse and heterogeneous features associated with underlying anatomical, physiological, functional, metabolic and molecular genetic activities of normal and diseased tissue. Thus Tomography publishes peer-reviewed articles which involve the broad use of imaging of any tissue and disease type including both preclinical and clinical investigations. In addition, hardware/software along with chemical and molecular probe advances are welcome as they are deemed to significantly contribute towards the long-term goal of improving the overall impact of imaging on scientific and clinical discovery.
×
引用
GB/T 7714-2015
复制
MLA
复制
APA
复制
导出至
BibTeX EndNote RefMan NoteFirst NoteExpress
×
提示
您的信息不完整,为了账户安全,请先补充。
现在去补充
×
提示
您因"违规操作"
具体请查看互助需知
我知道了
×
提示
确定
请完成安全验证×
copy
已复制链接
快去分享给好友吧!
我知道了
右上角分享
点击右上角分享
0
联系我们:info@booksci.cn Book学术提供免费学术资源搜索服务,方便国内外学者检索中英文文献。致力于提供最便捷和优质的服务体验。 Copyright © 2023 布克学术 All rights reserved.
京ICP备2023020795号-1
ghs 京公网安备 11010802042870号
Book学术文献互助
Book学术文献互助群
群 号:604180095
Book学术官方微信