Lymphatic Obstruction and Edema in Neonate due to Left Subclavian Central Venous Catheter.

IF 0.5 Q4 PEDIATRICS
Case Reports in Pediatrics Pub Date : 2025-06-17 eCollection Date: 2025-01-01 DOI:10.1155/crpe/2811167
Klaas Koop, Dominique Valérie Clarence de Jel, Joppe Nijman, Barbara Peels, Ellis Peters
{"title":"Lymphatic Obstruction and Edema in Neonate due to Left Subclavian Central Venous Catheter.","authors":"Klaas Koop, Dominique Valérie Clarence de Jel, Joppe Nijman, Barbara Peels, Ellis Peters","doi":"10.1155/crpe/2811167","DOIUrl":null,"url":null,"abstract":"<p><p>There are several causes of generalized edema in sick neonates. We describe two newborns that developed progressive and treatment-resistant generalized edema. We suggest this is due to impaired lymphatic flow from the thoracic duct as a result of a central venous catheter in the left subclavian vein.</p>","PeriodicalId":9623,"journal":{"name":"Case Reports in Pediatrics","volume":"2025 ","pages":"2811167"},"PeriodicalIF":0.5000,"publicationDate":"2025-06-17","publicationTypes":"Journal Article","fieldsOfStudy":null,"isOpenAccess":false,"openAccessPdf":"https://www.ncbi.nlm.nih.gov/pmc/articles/PMC12187447/pdf/","citationCount":"0","resultStr":null,"platform":"Semanticscholar","paperid":null,"PeriodicalName":"Case Reports in Pediatrics","FirstCategoryId":"1085","ListUrlMain":"https://doi.org/10.1155/crpe/2811167","RegionNum":0,"RegionCategory":null,"ArticlePicture":[],"TitleCN":null,"AbstractTextCN":null,"PMCID":null,"EPubDate":"2025/1/1 0:00:00","PubModel":"eCollection","JCR":"Q4","JCRName":"PEDIATRICS","Score":null,"Total":0}
引用次数: 0

Abstract

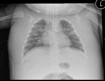
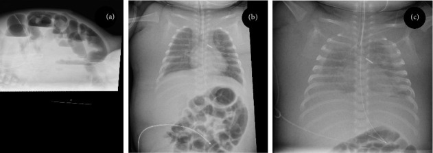
There are several causes of generalized edema in sick neonates. We describe two newborns that developed progressive and treatment-resistant generalized edema. We suggest this is due to impaired lymphatic flow from the thoracic duct as a result of a central venous catheter in the left subclavian vein.

Abstract Image

Abstract Image

新生儿左锁骨下中心静脉置管所致淋巴阻塞及水肿。
患病新生儿全身性水肿有多种原因。我们描述了两个新生儿发展为进行性和治疗抵抗性全身性水肿。我们认为这是由于左锁骨下静脉中心静脉导管导致胸导管淋巴流受损所致。
本文章由计算机程序翻译,如有差异,请以英文原文为准。
求助全文
约1分钟内获得全文 求助全文
来源期刊
自引率
11.10%
发文量
48
审稿时长
13 weeks
×
引用
GB/T 7714-2015
复制
MLA
复制
APA
复制
导出至
BibTeX EndNote RefMan NoteFirst NoteExpress
×
提示
您的信息不完整,为了账户安全,请先补充。
现在去补充
×
提示
您因"违规操作"
具体请查看互助需知
我知道了
×
提示
确定
请完成安全验证×
copy
已复制链接
快去分享给好友吧!
我知道了
右上角分享
点击右上角分享
0
联系我们:info@booksci.cn Book学术提供免费学术资源搜索服务,方便国内外学者检索中英文文献。致力于提供最便捷和优质的服务体验。 Copyright © 2023 布克学术 All rights reserved.
京ICP备2023020795号-1
ghs 京公网安备 11010802042870号
Book学术文献互助
Book学术文献互助群
群 号:604180095
Book学术官方微信