Bilateral Open Achilles Tendon Complete Lacerations Following Interpersonal Violence: A Case Report.

IF 0.6 Q4 ORTHOPEDICS
Case Reports in Orthopedics Pub Date : 2025-06-12 eCollection Date: 2025-01-01 DOI:10.1155/cro/5557419
Collen Sandile Nkosi, Bongiwe Hadebe, Papa Kwabena Offeh Kyei
{"title":"Bilateral Open Achilles Tendon Complete Lacerations Following Interpersonal Violence: A Case Report.","authors":"Collen Sandile Nkosi, Bongiwe Hadebe, Papa Kwabena Offeh Kyei","doi":"10.1155/cro/5557419","DOIUrl":null,"url":null,"abstract":"<p><p><b>Introduction:</b> Interpersonal violence victims account for a sizable proportion of trauma cases encountered in South African trauma centers. Open Achilles tendon injuries are more prevalent in male patients, accounting for a high number of all cases. <b>Case Report:</b> A 45-year-old male was brought in a trauma casualty by a paramedic after being referred by a local clinic in severe pain on both ankles, unable to walk or stand, and dressed bilaterally with blood stains. On examination, he demonstrated the triad of Achilles tendon injuries, including Matle's sign, Thompson's test, and a gap on palpation. A surgical operation was performed within 24 h of the patient's admission. <b>Conclusion:</b> This case report is aimed at increasing awareness of a rare case that presented with open bilateral Achilles tendon injuries associated with an alleged assault and received a successful surgical treatment without a skin complication.</p>","PeriodicalId":30287,"journal":{"name":"Case Reports in Orthopedics","volume":"2025 ","pages":"5557419"},"PeriodicalIF":0.6000,"publicationDate":"2025-06-12","publicationTypes":"Journal Article","fieldsOfStudy":null,"isOpenAccess":false,"openAccessPdf":"https://www.ncbi.nlm.nih.gov/pmc/articles/PMC12178758/pdf/","citationCount":"0","resultStr":null,"platform":"Semanticscholar","paperid":null,"PeriodicalName":"Case Reports in Orthopedics","FirstCategoryId":"1085","ListUrlMain":"https://doi.org/10.1155/cro/5557419","RegionNum":0,"RegionCategory":null,"ArticlePicture":[],"TitleCN":null,"AbstractTextCN":null,"PMCID":null,"EPubDate":"2025/1/1 0:00:00","PubModel":"eCollection","JCR":"Q4","JCRName":"ORTHOPEDICS","Score":null,"Total":0}
引用次数: 0

Abstract

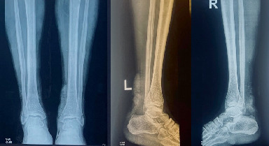
Introduction: Interpersonal violence victims account for a sizable proportion of trauma cases encountered in South African trauma centers. Open Achilles tendon injuries are more prevalent in male patients, accounting for a high number of all cases. Case Report: A 45-year-old male was brought in a trauma casualty by a paramedic after being referred by a local clinic in severe pain on both ankles, unable to walk or stand, and dressed bilaterally with blood stains. On examination, he demonstrated the triad of Achilles tendon injuries, including Matle's sign, Thompson's test, and a gap on palpation. A surgical operation was performed within 24 h of the patient's admission. Conclusion: This case report is aimed at increasing awareness of a rare case that presented with open bilateral Achilles tendon injuries associated with an alleged assault and received a successful surgical treatment without a skin complication.

Abstract Image

Abstract Image

Abstract Image

人际暴力致双侧开放性跟腱完全性撕裂1例。
引言:人际暴力受害者在南非创伤中心遇到的创伤案件中占相当大的比例。开放性跟腱损伤在男性患者中更为普遍,在所有病例中占很高的比例。病例报告:一名45岁男性在当地诊所转诊后,因双脚踝剧烈疼痛,无法行走或站立,双侧穿着血迹,被护理人员带到创伤伤员处。在检查中,他表现出跟腱三联征,包括Matle的征象、Thompson的检查和触诊间隙。在患者入院24小时内进行外科手术。结论:本病例报告旨在提高人们对一例罕见病例的认识,该病例表现为开放性双侧跟腱损伤,与所谓的攻击有关,并接受了成功的手术治疗,无皮肤并发症。
本文章由计算机程序翻译,如有差异,请以英文原文为准。
求助全文
约1分钟内获得全文 求助全文
来源期刊
自引率
0.00%
发文量
55
审稿时长
14 weeks
×
引用
GB/T 7714-2015
复制
MLA
复制
APA
复制
导出至
BibTeX EndNote RefMan NoteFirst NoteExpress
×
提示
您的信息不完整,为了账户安全,请先补充。
现在去补充
×
提示
您因"违规操作"
具体请查看互助需知
我知道了
×
提示
确定
请完成安全验证×
copy
已复制链接
快去分享给好友吧!
我知道了
右上角分享
点击右上角分享
0
联系我们:info@booksci.cn Book学术提供免费学术资源搜索服务,方便国内外学者检索中英文文献。致力于提供最便捷和优质的服务体验。 Copyright © 2023 布克学术 All rights reserved.
京ICP备2023020795号-1
ghs 京公网安备 11010802042870号
Book学术文献互助
Book学术文献互助群
群 号:604180095
Book学术官方微信