Successful Video-Assisted Thoracoscopic Management of Rare Thoracic Complications After Percutaneous Biliary Drainage: A Report of Two Cases

IF 0.9 Q4 ORTHOPEDICS
Kazuki Hayashi, Yusuke Kita, Jun Hanaoka
{"title":"Successful Video-Assisted Thoracoscopic Management of Rare Thoracic Complications After Percutaneous Biliary Drainage: A Report of Two Cases","authors":"Kazuki Hayashi,&nbsp;Yusuke Kita,&nbsp;Jun Hanaoka","doi":"10.1111/ases.70105","DOIUrl":null,"url":null,"abstract":"<p>Percutaneous transhepatic gallbladder drainage and percutaneous transhepatic cholangiodrainage are effective therapeutic options for biliary disease, although they occasionally result in thoracic complications. We report two cases of thoracic complications that developed after biliary drainage and were successfully treated using video-assisted thoracoscopic surgery. The first case involved a 55-year-old man who developed a chest wall (extrapleural) abscess after percutaneous transhepatic gallbladder drainage and laparoscopic cholecystectomy. Video-assisted thoracoscopic surgery revealed an extrapleural abscess that was initially diagnosed as empyema. The second case involved a 71-year-old woman who developed bilious pleural effusion after percutaneous transhepatic cholangiodrainage. Video-assisted thoracoscopic surgery was used to identify and close a diaphragmatic fistula. Both patients had a favorable postoperative course. This report demonstrates that video-assisted thoracoscopic surgery can be an effective therapeutic approach for thoracic complications after percutaneous biliary drainage.</p>","PeriodicalId":47019,"journal":{"name":"Asian Journal of Endoscopic Surgery","volume":"18 1","pages":""},"PeriodicalIF":0.9000,"publicationDate":"2025-06-24","publicationTypes":"Journal Article","fieldsOfStudy":null,"isOpenAccess":false,"openAccessPdf":"https://onlinelibrary.wiley.com/doi/epdf/10.1111/ases.70105","citationCount":"0","resultStr":null,"platform":"Semanticscholar","paperid":null,"PeriodicalName":"Asian Journal of Endoscopic Surgery","FirstCategoryId":"1085","ListUrlMain":"https://onlinelibrary.wiley.com/doi/10.1111/ases.70105","RegionNum":0,"RegionCategory":null,"ArticlePicture":[],"TitleCN":null,"AbstractTextCN":null,"PMCID":null,"EPubDate":"","PubModel":"","JCR":"Q4","JCRName":"ORTHOPEDICS","Score":null,"Total":0}
引用次数: 0

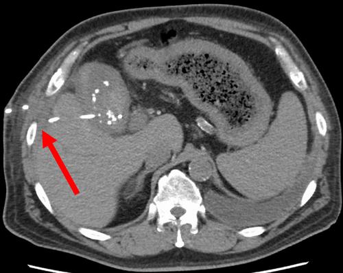
Abstract

Percutaneous transhepatic gallbladder drainage and percutaneous transhepatic cholangiodrainage are effective therapeutic options for biliary disease, although they occasionally result in thoracic complications. We report two cases of thoracic complications that developed after biliary drainage and were successfully treated using video-assisted thoracoscopic surgery. The first case involved a 55-year-old man who developed a chest wall (extrapleural) abscess after percutaneous transhepatic gallbladder drainage and laparoscopic cholecystectomy. Video-assisted thoracoscopic surgery revealed an extrapleural abscess that was initially diagnosed as empyema. The second case involved a 71-year-old woman who developed bilious pleural effusion after percutaneous transhepatic cholangiodrainage. Video-assisted thoracoscopic surgery was used to identify and close a diaphragmatic fistula. Both patients had a favorable postoperative course. This report demonstrates that video-assisted thoracoscopic surgery can be an effective therapeutic approach for thoracic complications after percutaneous biliary drainage.

Abstract Image

电视胸腔镜成功治疗经皮胆道引流术后罕见胸部并发症2例报告
经皮经肝胆囊引流术和经皮经肝胆管引流术是胆道疾病的有效治疗选择,尽管它们偶尔会导致胸部并发症。我们报告了两例胆道引流后发生的胸部并发症,并成功地使用视频辅助胸腔镜手术治疗。第一个病例涉及一名55岁的男性,他在经皮经肝胆囊引流和腹腔镜胆囊切除术后出现胸壁(胸膜外)脓肿。电视胸腔镜手术显示胸膜外脓肿,最初诊断为脓胸。第二个病例涉及一名71岁的妇女,经皮经肝胆管引流后出现胆性胸腔积液。视频胸腔镜手术用于识别和关闭膈瘘。两例患者术后病程良好。本报告证明电视胸腔镜手术是经皮胆道引流术后胸部并发症的有效治疗方法。
本文章由计算机程序翻译,如有差异,请以英文原文为准。
求助全文
约1分钟内获得全文 求助全文
来源期刊
CiteScore
2.00
自引率
10.00%
发文量
129
×
引用
GB/T 7714-2015
复制
MLA
复制
APA
复制
导出至
BibTeX EndNote RefMan NoteFirst NoteExpress
×
提示
您的信息不完整,为了账户安全,请先补充。
现在去补充
×
提示
您因"违规操作"
具体请查看互助需知
我知道了
×
提示
确定
请完成安全验证×
copy
已复制链接
快去分享给好友吧!
我知道了
右上角分享
点击右上角分享
0
联系我们:info@booksci.cn Book学术提供免费学术资源搜索服务,方便国内外学者检索中英文文献。致力于提供最便捷和优质的服务体验。 Copyright © 2023 布克学术 All rights reserved.
京ICP备2023020795号-1
ghs 京公网安备 11010802042870号
Book学术文献互助
Book学术文献互助群
群 号:604180095
Book学术官方微信