Bitemporal Oedema in a Child: A Rare Manifestation of Epstein-Barr Virus Infection.

IF 0.5 Q4 PEDIATRICS
Case Reports in Pediatrics Pub Date : 2025-06-13 eCollection Date: 2025-01-01 DOI:10.1155/crpe/7278571
Kátia Maurício, Joana De Beir, Rita Alvelos, Inês Sobreira, Joana Santos
{"title":"Bitemporal Oedema in a Child: A Rare Manifestation of Epstein-Barr Virus Infection.","authors":"Kátia Maurício, Joana De Beir, Rita Alvelos, Inês Sobreira, Joana Santos","doi":"10.1155/crpe/7278571","DOIUrl":null,"url":null,"abstract":"<p><p>Primary infection by the Epstein-Barr virus (EBV) is common in children, can affect multiple organs and be associated with a wide variety of clinical manifestations. We present the case of a 7-year-old female patient assessed in the emergency department for bitemporal swelling with a one-day evolution, following self-limiting odynophagia and fever 1 week earlier. Physical examination revealed a soft, bitemporal swelling, more evident on the right, painful on palpation, with no other inflammatory signs. The soft tissue ultrasound showed no alterations, and the CT scan showed thickening of the right parietotemporal epicranial soft tissues, of an imprecise nature. At a 2-week follow-up consultation, swelling had completely resolved. The serological study revealed previous contact with cytomegalovirus and positive EBV IgG and IgM with negative EBNA IgG and EA IgG, indicative of acute EBV infection. Bitemporal oedema is a very atypical and rare presentation of primary EBV infection, with very few cases previously reported. The aim of this clinical case is to draw attention to the importance of considering EBV infection in the differential diagnosis of situations like the one described.</p>","PeriodicalId":9623,"journal":{"name":"Case Reports in Pediatrics","volume":"2025 ","pages":"7278571"},"PeriodicalIF":0.5000,"publicationDate":"2025-06-13","publicationTypes":"Journal Article","fieldsOfStudy":null,"isOpenAccess":false,"openAccessPdf":"https://www.ncbi.nlm.nih.gov/pmc/articles/PMC12181039/pdf/","citationCount":"0","resultStr":null,"platform":"Semanticscholar","paperid":null,"PeriodicalName":"Case Reports in Pediatrics","FirstCategoryId":"1085","ListUrlMain":"https://doi.org/10.1155/crpe/7278571","RegionNum":0,"RegionCategory":null,"ArticlePicture":[],"TitleCN":null,"AbstractTextCN":null,"PMCID":null,"EPubDate":"2025/1/1 0:00:00","PubModel":"eCollection","JCR":"Q4","JCRName":"PEDIATRICS","Score":null,"Total":0}
引用次数: 0

Abstract

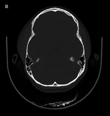
Primary infection by the Epstein-Barr virus (EBV) is common in children, can affect multiple organs and be associated with a wide variety of clinical manifestations. We present the case of a 7-year-old female patient assessed in the emergency department for bitemporal swelling with a one-day evolution, following self-limiting odynophagia and fever 1 week earlier. Physical examination revealed a soft, bitemporal swelling, more evident on the right, painful on palpation, with no other inflammatory signs. The soft tissue ultrasound showed no alterations, and the CT scan showed thickening of the right parietotemporal epicranial soft tissues, of an imprecise nature. At a 2-week follow-up consultation, swelling had completely resolved. The serological study revealed previous contact with cytomegalovirus and positive EBV IgG and IgM with negative EBNA IgG and EA IgG, indicative of acute EBV infection. Bitemporal oedema is a very atypical and rare presentation of primary EBV infection, with very few cases previously reported. The aim of this clinical case is to draw attention to the importance of considering EBV infection in the differential diagnosis of situations like the one described.

Abstract Image

Abstract Image

儿童双颞水肿:爱泼斯坦-巴尔病毒感染的罕见表现。
eb病毒(EBV)的原发性感染在儿童中很常见,可影响多个器官,并与多种临床表现相关。我们提出的情况下,7岁的女性患者评估在急诊科双颞肿胀与一天的演变,自我限制的吞咽和发热1周前。体格检查发现双颞软肿,右侧较明显,触诊疼痛,无其他炎症征象。软组织超声检查未见改变,CT扫描显示右侧顶叶外颅软组织增厚,性质不明确。在2周的随访咨询中,肿胀完全消退。血清学研究显示曾接触巨细胞病毒,EBV IgG和IgM阳性,EBNA IgG和EA IgG阴性,提示急性EBV感染。双颞水肿是一种非常不典型和罕见的原发性EBV感染的表现,以前报道的病例很少。本临床病例的目的是提请注意在鉴别诊断中考虑eb病毒感染的重要性。
本文章由计算机程序翻译,如有差异,请以英文原文为准。
求助全文
约1分钟内获得全文 求助全文
来源期刊
自引率
11.10%
发文量
48
审稿时长
13 weeks
×
引用
GB/T 7714-2015
复制
MLA
复制
APA
复制
导出至
BibTeX EndNote RefMan NoteFirst NoteExpress
×
提示
您的信息不完整,为了账户安全,请先补充。
现在去补充
×
提示
您因"违规操作"
具体请查看互助需知
我知道了
×
提示
确定
请完成安全验证×
copy
已复制链接
快去分享给好友吧!
我知道了
右上角分享
点击右上角分享
0
联系我们:info@booksci.cn Book学术提供免费学术资源搜索服务,方便国内外学者检索中英文文献。致力于提供最便捷和优质的服务体验。 Copyright © 2023 布克学术 All rights reserved.
京ICP备2023020795号-1
ghs 京公网安备 11010802042870号
Book学术文献互助
Book学术文献互助群
群 号:604180095
Book学术官方微信