A Benign Renal Tumor With Serious Consequences: A Case Report of Juxtaglomerular Cell Tumor and Chronic Renal Disease in a Teenager.

IF 0.5 Q4 PEDIATRICS
Case Reports in Pediatrics Pub Date : 2025-06-13 eCollection Date: 2025-01-01 DOI:10.1155/crpe/9318115
Rachael Courtney, Erin Dahlinghaus, Abiodun Omoloja, Jeffrey T Boyd, Michelle Smith, Laura Biederman, Israel Ndengabaganizi, Daniel Keith Robie, Ahmad Al Dughiem
{"title":"A Benign Renal Tumor With Serious Consequences: A Case Report of Juxtaglomerular Cell Tumor and Chronic Renal Disease in a Teenager.","authors":"Rachael Courtney, Erin Dahlinghaus, Abiodun Omoloja, Jeffrey T Boyd, Michelle Smith, Laura Biederman, Israel Ndengabaganizi, Daniel Keith Robie, Ahmad Al Dughiem","doi":"10.1155/crpe/9318115","DOIUrl":null,"url":null,"abstract":"<p><p>Juxtaglomerular cell tumor (JGCT), or reninoma, is a rare benign renal neoplasm. It is characterized by severe hypertension and hypokalemia due to excessive renin produced from the juxtaglomerular apparatus on the afferent arteriole of the glomerulus. Herein, we report a case of JGCT in a 15-year-old female who presented with severe hypertension. She was found to have elevated levels of renin and aldosterone with hypokalemia and she responded to angiotensin-converting enzyme inhibitors (ACEi). Abdominal MRI demonstrated a 4-cm left renal tumor. A radical nephrectomy was performed, and histology showed a well-circumscribed tumor consisting of sheets of polygonal to ovoid cells consistent with a JGCT. After surgery, the renin and aldosterone levels normalized, and blood pressure was controlled with small dose of ACEi medication. Unfortunately, the patient remained in Stage III chronic kidney failure due to the longstanding damage of uncontrolled hypertension prior to the diagnosis. We hereby review the literature and discuss the differential diagnosis.</p>","PeriodicalId":9623,"journal":{"name":"Case Reports in Pediatrics","volume":"2025 ","pages":"9318115"},"PeriodicalIF":0.5000,"publicationDate":"2025-06-13","publicationTypes":"Journal Article","fieldsOfStudy":null,"isOpenAccess":false,"openAccessPdf":"https://www.ncbi.nlm.nih.gov/pmc/articles/PMC12181040/pdf/","citationCount":"0","resultStr":null,"platform":"Semanticscholar","paperid":null,"PeriodicalName":"Case Reports in Pediatrics","FirstCategoryId":"1085","ListUrlMain":"https://doi.org/10.1155/crpe/9318115","RegionNum":0,"RegionCategory":null,"ArticlePicture":[],"TitleCN":null,"AbstractTextCN":null,"PMCID":null,"EPubDate":"2025/1/1 0:00:00","PubModel":"eCollection","JCR":"Q4","JCRName":"PEDIATRICS","Score":null,"Total":0}
引用次数: 0

Abstract

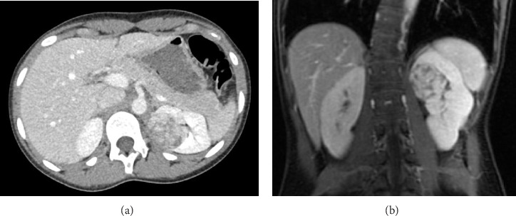
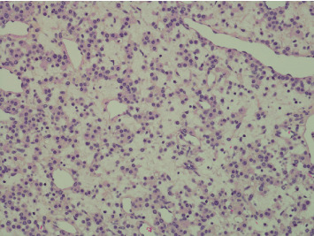
Juxtaglomerular cell tumor (JGCT), or reninoma, is a rare benign renal neoplasm. It is characterized by severe hypertension and hypokalemia due to excessive renin produced from the juxtaglomerular apparatus on the afferent arteriole of the glomerulus. Herein, we report a case of JGCT in a 15-year-old female who presented with severe hypertension. She was found to have elevated levels of renin and aldosterone with hypokalemia and she responded to angiotensin-converting enzyme inhibitors (ACEi). Abdominal MRI demonstrated a 4-cm left renal tumor. A radical nephrectomy was performed, and histology showed a well-circumscribed tumor consisting of sheets of polygonal to ovoid cells consistent with a JGCT. After surgery, the renin and aldosterone levels normalized, and blood pressure was controlled with small dose of ACEi medication. Unfortunately, the patient remained in Stage III chronic kidney failure due to the longstanding damage of uncontrolled hypertension prior to the diagnosis. We hereby review the literature and discuss the differential diagnosis.

Abstract Image

Abstract Image

Abstract Image

严重后果的良性肾肿瘤:1例青少年肾小球旁细胞瘤合并慢性肾脏疾病
肾小球旁细胞瘤(JGCT)是一种罕见的良性肿瘤。它的特点是严重的高血压和低钾血症,这是由于肾小球传入小动脉的肾小球旁器官产生过多的肾素所致。在此,我们报告一例15岁的女性患严重高血压的JGCT。发现肾素和醛固酮水平升高伴低钾血症,并对血管紧张素转换酶抑制剂(ACEi)有反应。腹部MRI示左侧肾肿瘤,直径4厘米。行根治性肾切除术,组织学显示肿瘤由多边形到卵形细胞片组成,与JGCT一致。术后肾素和醛固酮水平恢复正常,小剂量ACEi药物控制血压。不幸的是,在诊断之前,由于长期不受控制的高血压损害,患者一直处于III期慢性肾衰竭。我们在此回顾文献并讨论鉴别诊断。
本文章由计算机程序翻译,如有差异,请以英文原文为准。
求助全文
约1分钟内获得全文 求助全文
来源期刊
自引率
11.10%
发文量
48
审稿时长
13 weeks
×
引用
GB/T 7714-2015
复制
MLA
复制
APA
复制
导出至
BibTeX EndNote RefMan NoteFirst NoteExpress
×
提示
您的信息不完整,为了账户安全,请先补充。
现在去补充
×
提示
您因"违规操作"
具体请查看互助需知
我知道了
×
提示
确定
请完成安全验证×
copy
已复制链接
快去分享给好友吧!
我知道了
右上角分享
点击右上角分享
0
联系我们:info@booksci.cn Book学术提供免费学术资源搜索服务,方便国内外学者检索中英文文献。致力于提供最便捷和优质的服务体验。 Copyright © 2023 布克学术 All rights reserved.
京ICP备2023020795号-1
ghs 京公网安备 11010802042870号
Book学术文献互助
Book学术文献互助群
群 号:604180095
Book学术官方微信