Advances of MR imaging in glioma: what the neurosurgeon needs to know.

IF 1.9 3区 医学 Q3 CLINICAL NEUROLOGY
Anna Falk Delgado
{"title":"Advances of MR imaging in glioma: what the neurosurgeon needs to know.","authors":"Anna Falk Delgado","doi":"10.1007/s00701-025-06593-6","DOIUrl":null,"url":null,"abstract":"<p><p>Glial tumors and especially glioblastoma present a major challenge in neuro-oncology due to their infiltrative growth, resistance to therapy, and poor overall survival-despite aggressive treatments such as maximal safe resection and chemoradiotherapy. These tumors typically manifest through neurological symptoms such as seizures, headaches, and signs of increased intracranial pressure, prompting urgent neuroimaging. At initial diagnosis, MRI plays a central role in differentiating true neoplasms from tumor mimics, including inflammatory or infectious conditions. Advanced techniques such as perfusion-weighted imaging (PWI) and diffusion-weighted imaging (DWI) enhance diagnostic specificity and may prevent unnecessary surgical intervention. In the preoperative phase, MRI contributes to surgical planning through the use of functional MRI (fMRI) and diffusion tensor imaging (DTI), enabling localization of eloquent cortex and white matter tracts. These modalities support safer resections by informing trajectory planning and risk assessment. Emerging MR techniques, including magnetic resonance spectroscopy, amide proton transfer imaging, and 2HG quantification, offer further potential in delineating tumor infiltration beyond contrast-enhancing margins. Postoperatively, MRI is important for evaluating residual tumor, detecting surgical complications, and guiding radiotherapy planning. During treatment surveillance, MRI assists in distinguishing true progression from pseudoprogression or radiation necrosis, thereby guiding decisions on additional surgery, changes in systemic therapy, or inclusion into clinical trials. The continued evolution of MRI hardware, software, and image analysis-particularly with the integration of machine learning-will be critical for supporting precision neurosurgical oncology. This review highlights how advanced MRI techniques can inform clinical decision-making at each stage of care in patients with high-grade gliomas.</p>","PeriodicalId":7370,"journal":{"name":"Acta Neurochirurgica","volume":"167 1","pages":"174"},"PeriodicalIF":1.9000,"publicationDate":"2025-06-21","publicationTypes":"Journal Article","fieldsOfStudy":null,"isOpenAccess":false,"openAccessPdf":"https://www.ncbi.nlm.nih.gov/pmc/articles/PMC12182469/pdf/","citationCount":"0","resultStr":null,"platform":"Semanticscholar","paperid":null,"PeriodicalName":"Acta Neurochirurgica","FirstCategoryId":"3","ListUrlMain":"https://doi.org/10.1007/s00701-025-06593-6","RegionNum":3,"RegionCategory":"医学","ArticlePicture":[],"TitleCN":null,"AbstractTextCN":null,"PMCID":null,"EPubDate":"","PubModel":"","JCR":"Q3","JCRName":"CLINICAL NEUROLOGY","Score":null,"Total":0}
引用次数: 0

Abstract

Glial tumors and especially glioblastoma present a major challenge in neuro-oncology due to their infiltrative growth, resistance to therapy, and poor overall survival-despite aggressive treatments such as maximal safe resection and chemoradiotherapy. These tumors typically manifest through neurological symptoms such as seizures, headaches, and signs of increased intracranial pressure, prompting urgent neuroimaging. At initial diagnosis, MRI plays a central role in differentiating true neoplasms from tumor mimics, including inflammatory or infectious conditions. Advanced techniques such as perfusion-weighted imaging (PWI) and diffusion-weighted imaging (DWI) enhance diagnostic specificity and may prevent unnecessary surgical intervention. In the preoperative phase, MRI contributes to surgical planning through the use of functional MRI (fMRI) and diffusion tensor imaging (DTI), enabling localization of eloquent cortex and white matter tracts. These modalities support safer resections by informing trajectory planning and risk assessment. Emerging MR techniques, including magnetic resonance spectroscopy, amide proton transfer imaging, and 2HG quantification, offer further potential in delineating tumor infiltration beyond contrast-enhancing margins. Postoperatively, MRI is important for evaluating residual tumor, detecting surgical complications, and guiding radiotherapy planning. During treatment surveillance, MRI assists in distinguishing true progression from pseudoprogression or radiation necrosis, thereby guiding decisions on additional surgery, changes in systemic therapy, or inclusion into clinical trials. The continued evolution of MRI hardware, software, and image analysis-particularly with the integration of machine learning-will be critical for supporting precision neurosurgical oncology. This review highlights how advanced MRI techniques can inform clinical decision-making at each stage of care in patients with high-grade gliomas.

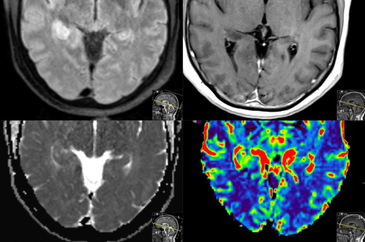
Abstract Image

Abstract Image

Abstract Image

神经胶质瘤的磁共振成像进展:神经外科医生需要知道的。
神经胶质肿瘤,尤其是胶质母细胞瘤,由于其浸润性生长、对治疗的耐药性和较差的总生存率,尽管进行了积极的治疗,如最大限度的安全切除和放化疗,但仍是神经肿瘤学的主要挑战。这些肿瘤通常表现为神经系统症状,如癫痫发作、头痛和颅内压升高的迹象,提示紧急神经影像学检查。在最初诊断时,MRI在区分真肿瘤和肿瘤模拟物(包括炎症或感染性疾病)方面起着核心作用。先进的技术如灌注加权成像(PWI)和弥散加权成像(DWI)可提高诊断特异性,并可避免不必要的手术干预。在术前阶段,MRI通过功能磁共振成像(fMRI)和弥散张量成像(DTI)有助于手术计划,使大脑皮层和白质束定位。这些模式通过轨迹规划和风险评估来支持更安全的切除。新兴的磁共振技术,包括磁共振波谱、酰胺质子转移成像和2HG定量,在对比增强边缘之外描绘肿瘤浸润提供了进一步的潜力。术后MRI对评估残留肿瘤、发现手术并发症、指导放疗计划具有重要意义。在治疗监测期间,MRI有助于区分真进展、假进展或放射性坏死,从而指导决定是否进行额外手术、改变全身治疗或纳入临床试验。MRI硬件、软件和图像分析的持续发展,特别是与机器学习的整合,将对支持精确的神经外科肿瘤学至关重要。这篇综述强调了先进的MRI技术如何在高级别胶质瘤患者的每个护理阶段为临床决策提供信息。
本文章由计算机程序翻译,如有差异,请以英文原文为准。
求助全文
约1分钟内获得全文 求助全文
来源期刊
Acta Neurochirurgica
Acta Neurochirurgica 医学-临床神经学
CiteScore
4.40
自引率
4.20%
发文量
342
审稿时长
1 months
期刊介绍: The journal "Acta Neurochirurgica" publishes only original papers useful both to research and clinical work. Papers should deal with clinical neurosurgery - diagnosis and diagnostic techniques, operative surgery and results, postoperative treatment - or with research work in neuroscience if the underlying questions or the results are of neurosurgical interest. Reports on congresses are given in brief accounts. As official organ of the European Association of Neurosurgical Societies the journal publishes all announcements of the E.A.N.S. and reports on the activities of its member societies. Only contributions written in English will be accepted.
×
引用
GB/T 7714-2015
复制
MLA
复制
APA
复制
导出至
BibTeX EndNote RefMan NoteFirst NoteExpress
×
提示
您的信息不完整,为了账户安全,请先补充。
现在去补充
×
提示
您因"违规操作"
具体请查看互助需知
我知道了
×
提示
确定
请完成安全验证×
copy
已复制链接
快去分享给好友吧!
我知道了
右上角分享
点击右上角分享
0
联系我们:info@booksci.cn Book学术提供免费学术资源搜索服务,方便国内外学者检索中英文文献。致力于提供最便捷和优质的服务体验。 Copyright © 2023 布克学术 All rights reserved.
京ICP备2023020795号-1
ghs 京公网安备 11010802042870号
Book学术文献互助
Book学术文献互助群
群 号:604180095
Book学术官方微信