3D-Printed Patient-Specific Models of the Aortic Arch for Advanced Visualization of Complex Neurointerventional Cases.

IF 1.2 Q2 MEDICINE, GENERAL & INTERNAL
Smruti Mahapatra, Vishal N Bhimarasetty, Abdul Rahim, Colin N Curtis, Paul Gulotta, Korak Sarkar
{"title":"3D-Printed Patient-Specific Models of the Aortic Arch for Advanced Visualization of Complex Neurointerventional Cases.","authors":"Smruti Mahapatra, Vishal N Bhimarasetty, Abdul Rahim, Colin N Curtis, Paul Gulotta, Korak Sarkar","doi":"10.31486/toj.24.0124","DOIUrl":null,"url":null,"abstract":"<p><strong>Background: </strong>Cerebrovascular disease is a leading cause of death and disability worldwide, and endovascular therapies have become a mainstay of treatment for ischemic stroke. However, tortuous anatomy, particularly of the aortic arch, presents formidable treatment challenges by impeding access to intracranial circulation and thus affecting clinical outcomes.</p><p><strong>Methods: </strong>To better understand the challenges of tortuous anatomy, we fabricated 3D-printed models of the aortic arch and major branch vessels based on the imaging of 4 patients.</p><p><strong>Results: </strong>These patient-specific models were realistic representations of the intricate vascular pathways and provided enhanced visualization of the complex vascular structures. The measured diameters of the 3D-fabricated models closely matched the values reported in the literature, confirming the physical accuracy of the models. Creating an individual anatomic model required an average of 4 hours of digital processing and 13.71 hours of 3D printing, with a materials cost of approximately $17.31.</p><p><strong>Conclusion: </strong>3D-printed patient-specific models used for neurointerventional training and preprocedural planning are a valuable tool for managing complex cerebrovascular anatomy. The advanced visualization provided by these models may enhance preparedness and potentially improve ischemic stroke treatment outcomes.</p>","PeriodicalId":47600,"journal":{"name":"Ochsner Journal","volume":"25 2","pages":"92-98"},"PeriodicalIF":1.2000,"publicationDate":"2025-01-01","publicationTypes":"Journal Article","fieldsOfStudy":null,"isOpenAccess":false,"openAccessPdf":"https://www.ncbi.nlm.nih.gov/pmc/articles/PMC12175768/pdf/","citationCount":"0","resultStr":null,"platform":"Semanticscholar","paperid":null,"PeriodicalName":"Ochsner Journal","FirstCategoryId":"1085","ListUrlMain":"https://doi.org/10.31486/toj.24.0124","RegionNum":0,"RegionCategory":null,"ArticlePicture":[],"TitleCN":null,"AbstractTextCN":null,"PMCID":null,"EPubDate":"","PubModel":"","JCR":"Q2","JCRName":"MEDICINE, GENERAL & INTERNAL","Score":null,"Total":0}
引用次数: 0

Abstract

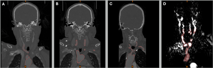
Background: Cerebrovascular disease is a leading cause of death and disability worldwide, and endovascular therapies have become a mainstay of treatment for ischemic stroke. However, tortuous anatomy, particularly of the aortic arch, presents formidable treatment challenges by impeding access to intracranial circulation and thus affecting clinical outcomes.

Methods: To better understand the challenges of tortuous anatomy, we fabricated 3D-printed models of the aortic arch and major branch vessels based on the imaging of 4 patients.

Results: These patient-specific models were realistic representations of the intricate vascular pathways and provided enhanced visualization of the complex vascular structures. The measured diameters of the 3D-fabricated models closely matched the values reported in the literature, confirming the physical accuracy of the models. Creating an individual anatomic model required an average of 4 hours of digital processing and 13.71 hours of 3D printing, with a materials cost of approximately $17.31.

Conclusion: 3D-printed patient-specific models used for neurointerventional training and preprocedural planning are a valuable tool for managing complex cerebrovascular anatomy. The advanced visualization provided by these models may enhance preparedness and potentially improve ischemic stroke treatment outcomes.

Abstract Image

Abstract Image

Abstract Image

3d打印主动脉弓患者特异性模型用于复杂神经介入病例的高级可视化
背景:脑血管疾病是世界范围内导致死亡和残疾的主要原因,血管内治疗已成为缺血性脑卒中的主要治疗方法。然而,弯曲的解剖结构,特别是主动脉弓,通过阻碍颅内循环从而影响临床结果,提出了巨大的治疗挑战。方法:为了更好地了解弯曲解剖的挑战,我们根据4例患者的成像制作了主动脉弓和主要分支血管的3d打印模型。结果:这些患者特异性模型是复杂血管通路的真实表征,并提供了复杂血管结构的增强可视化。3d制造模型的测量直径与文献中报道的值密切匹配,证实了模型的物理准确性。创建单个解剖模型平均需要4小时的数字处理和13.71小时的3D打印,材料成本约为17.31美元。结论:用于神经介入训练和术前规划的3d打印患者特异性模型是处理复杂脑血管解剖的宝贵工具。这些模型提供的先进的可视化可能会加强准备,并潜在地改善缺血性卒中的治疗结果。
本文章由计算机程序翻译,如有差异,请以英文原文为准。
求助全文
约1分钟内获得全文 求助全文
来源期刊
Ochsner Journal
Ochsner Journal MEDICINE, GENERAL & INTERNAL-
CiteScore
2.10
自引率
0.00%
发文量
71
审稿时长
24 weeks
期刊介绍: The Ochsner Journal is a quarterly publication designed to support Ochsner"s mission to improve the health of our community through a commitment to innovation in healthcare, medical research, and education. The Ochsner Journal provides an active dialogue on practice standards in today"s changing healthcare environment. Emphasis will be given to topics of great societal and medical significance.
×
引用
GB/T 7714-2015
复制
MLA
复制
APA
复制
导出至
BibTeX EndNote RefMan NoteFirst NoteExpress
×
提示
您的信息不完整,为了账户安全,请先补充。
现在去补充
×
提示
您因"违规操作"
具体请查看互助需知
我知道了
×
提示
确定
请完成安全验证×
copy
已复制链接
快去分享给好友吧!
我知道了
右上角分享
点击右上角分享
0
联系我们:info@booksci.cn Book学术提供免费学术资源搜索服务,方便国内外学者检索中英文文献。致力于提供最便捷和优质的服务体验。 Copyright © 2023 布克学术 All rights reserved.
京ICP备2023020795号-1
ghs 京公网安备 11010802042870号
Book学术文献互助
Book学术文献互助群
群 号:604180095
Book学术官方微信