Emergency Laparotomy for Abdominal Compartment Syndrome in a Child due to Chronic Functional Constipation.

IF 0.5 Q4 PEDIATRICS
Case Reports in Pediatrics Pub Date : 2025-06-12 eCollection Date: 2025-01-01 DOI:10.1155/crpe/5289632
Konstantinos Velaoras, George Pantalos, Christos Plataras, Ioannis Alexandrou, Jonida Mene, Konstantinos Filos, Abhisekh Chatterjee, Panagiotis Nikolinakos, Nikolaos Zavras
{"title":"Emergency Laparotomy for Abdominal Compartment Syndrome in a Child due to Chronic Functional Constipation.","authors":"Konstantinos Velaoras, George Pantalos, Christos Plataras, Ioannis Alexandrou, Jonida Mene, Konstantinos Filos, Abhisekh Chatterjee, Panagiotis Nikolinakos, Nikolaos Zavras","doi":"10.1155/crpe/5289632","DOIUrl":null,"url":null,"abstract":"<p><p>Abdominal compartment syndrome (ACS) in children is a life-threatening complication with high morbidity and mortality. Stressful life events are among the risk factors of functional constipation (FC) in children. We present a 13-year-old male patient with chronic FC due to parents' separation who presented with a history of FC since infancy and inability to defecate during the last month. On examination, the abdomen was distended and tender. His vital signs revealed elevated blood pressure ≥ 95<sup>th</sup> percentile according to his age weight and gender. On admission, the patient experienced tonic-clonic seizures refractory to medical therapy. He was intubated and a computed tomography (CT) scan revealed an extensive rectosigmoid bowel dilatation. Despite maximal medical support, his condition worsened. ACS was suspected and confirmed via intravesical measurement of intra-abdominal pressure (IAP). An urgent decompression laparotomy (DL) was performed with resection of the affected bowel. His condition improved postoperatively. This case highlights the extremely rare association between ACS and chronic FC resulting from stressful life events.</p>","PeriodicalId":9623,"journal":{"name":"Case Reports in Pediatrics","volume":"2025 ","pages":"5289632"},"PeriodicalIF":0.5000,"publicationDate":"2025-06-12","publicationTypes":"Journal Article","fieldsOfStudy":null,"isOpenAccess":false,"openAccessPdf":"https://www.ncbi.nlm.nih.gov/pmc/articles/PMC12178740/pdf/","citationCount":"0","resultStr":null,"platform":"Semanticscholar","paperid":null,"PeriodicalName":"Case Reports in Pediatrics","FirstCategoryId":"1085","ListUrlMain":"https://doi.org/10.1155/crpe/5289632","RegionNum":0,"RegionCategory":null,"ArticlePicture":[],"TitleCN":null,"AbstractTextCN":null,"PMCID":null,"EPubDate":"2025/1/1 0:00:00","PubModel":"eCollection","JCR":"Q4","JCRName":"PEDIATRICS","Score":null,"Total":0}
引用次数: 0

Abstract

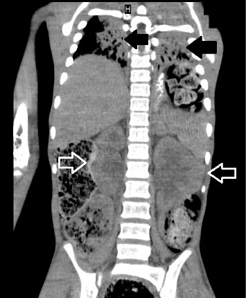
Abdominal compartment syndrome (ACS) in children is a life-threatening complication with high morbidity and mortality. Stressful life events are among the risk factors of functional constipation (FC) in children. We present a 13-year-old male patient with chronic FC due to parents' separation who presented with a history of FC since infancy and inability to defecate during the last month. On examination, the abdomen was distended and tender. His vital signs revealed elevated blood pressure ≥ 95th percentile according to his age weight and gender. On admission, the patient experienced tonic-clonic seizures refractory to medical therapy. He was intubated and a computed tomography (CT) scan revealed an extensive rectosigmoid bowel dilatation. Despite maximal medical support, his condition worsened. ACS was suspected and confirmed via intravesical measurement of intra-abdominal pressure (IAP). An urgent decompression laparotomy (DL) was performed with resection of the affected bowel. His condition improved postoperatively. This case highlights the extremely rare association between ACS and chronic FC resulting from stressful life events.

Abstract Image

Abstract Image

Abstract Image

儿童慢性功能性便秘并发腹膜隔室综合征的急诊剖腹手术。
儿童腹膜间室综合征(ACS)是一种危及生命的并发症,发病率和死亡率高。压力生活事件是儿童功能性便秘(FC)的危险因素之一。我们报告一名13岁男性患者,因父母分离而患有慢性FC,自婴儿期就有FC病史,上个月无法排便。经检查,腹部肿胀且有压痛。生命体征显示血压升高,按年龄、体重、性别分≥95百分位。入院时,患者出现强直-阵挛性发作,药物治疗无效。他插管和计算机断层扫描(CT)显示广泛的直肠乙状结肠扩张。尽管得到了最大的医疗支持,他的病情还是恶化了。通过膀胱内测量腹内压(IAP)怀疑并确认ACS。紧急开腹减压术(DL)并切除受影响的肠。术后病情好转。本病例强调了ACS与由压力生活事件引起的慢性FC之间极其罕见的关联。
本文章由计算机程序翻译,如有差异,请以英文原文为准。
求助全文
约1分钟内获得全文 求助全文
来源期刊
自引率
11.10%
发文量
48
审稿时长
13 weeks
×
引用
GB/T 7714-2015
复制
MLA
复制
APA
复制
导出至
BibTeX EndNote RefMan NoteFirst NoteExpress
×
提示
您的信息不完整,为了账户安全,请先补充。
现在去补充
×
提示
您因"违规操作"
具体请查看互助需知
我知道了
×
提示
确定
请完成安全验证×
copy
已复制链接
快去分享给好友吧!
我知道了
右上角分享
点击右上角分享
0
联系我们:info@booksci.cn Book学术提供免费学术资源搜索服务,方便国内外学者检索中英文文献。致力于提供最便捷和优质的服务体验。 Copyright © 2023 布克学术 All rights reserved.
京ICP备2023020795号-1
ghs 京公网安备 11010802042870号
Book学术文献互助
Book学术文献互助群
群 号:604180095
Book学术官方微信