Successful pediatric heart transplantation with bivalirudin use in a cyanotic single ventricle patient with an intracorporeal continuous flow ventricular assist device and heparin-induced thrombocytopenia.

IF 0.6 Q4 CARDIAC & CARDIOVASCULAR SYSTEMS
Sandeep Sainathan, Leonardo Mulinari
{"title":"Successful pediatric heart transplantation with bivalirudin use in a cyanotic single ventricle patient with an intracorporeal continuous flow ventricular assist device and heparin-induced thrombocytopenia.","authors":"Sandeep Sainathan, Leonardo Mulinari","doi":"10.1007/s12055-024-01892-6","DOIUrl":null,"url":null,"abstract":"<p><p>We describe a case of profound coagulopathy during orthotopic heart transplantation in a cyanotic single ventricle pediatric patient with an intracorporeal continuous flow ventricular assist device performed on bivalirudin for heparin-induced thrombocytopenia. This was successfully managed with central veno-arterial extracorporeal membrane oxygenation and hemofiltration as an adjunct to treat bivalirudin-induced coagulopathy due to lack of a reversal agent for bivalirudin.</p>","PeriodicalId":13285,"journal":{"name":"Indian Journal of Thoracic and Cardiovascular Surgery","volume":"41 7","pages":"933-936"},"PeriodicalIF":0.6000,"publicationDate":"2025-07-01","publicationTypes":"Journal Article","fieldsOfStudy":null,"isOpenAccess":false,"openAccessPdf":"https://www.ncbi.nlm.nih.gov/pmc/articles/PMC12170461/pdf/","citationCount":"0","resultStr":null,"platform":"Semanticscholar","paperid":null,"PeriodicalName":"Indian Journal of Thoracic and Cardiovascular Surgery","FirstCategoryId":"1085","ListUrlMain":"https://doi.org/10.1007/s12055-024-01892-6","RegionNum":0,"RegionCategory":null,"ArticlePicture":[],"TitleCN":null,"AbstractTextCN":null,"PMCID":null,"EPubDate":"2025/1/7 0:00:00","PubModel":"Epub","JCR":"Q4","JCRName":"CARDIAC & CARDIOVASCULAR SYSTEMS","Score":null,"Total":0}
引用次数: 0

Abstract

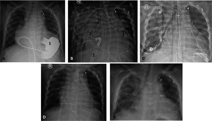
We describe a case of profound coagulopathy during orthotopic heart transplantation in a cyanotic single ventricle pediatric patient with an intracorporeal continuous flow ventricular assist device performed on bivalirudin for heparin-induced thrombocytopenia. This was successfully managed with central veno-arterial extracorporeal membrane oxygenation and hemofiltration as an adjunct to treat bivalirudin-induced coagulopathy due to lack of a reversal agent for bivalirudin.

Abstract Image

Abstract Image

使用比伐鲁定成功的儿童心脏移植在紫绀单心室患者体内连续血流心室辅助装置和肝素诱导的血小板减少症。
我们描述了一例深度凝血病在原位心脏移植的紫绀单心室儿童患者进行体内连续血流心室辅助装置在比伐鲁定肝素诱导的血小板减少。由于缺乏比伐鲁定的逆转剂,中心静脉-动脉体外膜氧合和血液过滤作为辅助治疗比伐鲁定诱导的凝血功能障碍,成功地控制了这一点。
本文章由计算机程序翻译,如有差异,请以英文原文为准。
求助全文
约1分钟内获得全文 求助全文
来源期刊
Indian Journal of Thoracic and Cardiovascular Surgery
Indian Journal of Thoracic and Cardiovascular Surgery CARDIAC & CARDIOVASCULAR SYSTEMS-
CiteScore
1.20
自引率
14.30%
发文量
141
期刊介绍: The primary aim of the Indian Journal of Thoracic and Cardiovascular Surgery is education. The journal aims to dissipate current clinical practices and developments in the area of cardiovascular and thoracic surgery. This includes information on cardiovascular epidemiology, aetiopathogenesis, clinical manifestation etc. The journal accepts manuscripts from cardiovascular anaesthesia, cardiothoracic and vascular nursing and technology development and new/innovative products.The journal is the official publication of the Indian Association of Cardiovascular and Thoracic Surgeons which has a membership of over 1000 at present.DescriptionThe journal is the official organ of the Indian Association of Cardiovascular-Thoracic Surgeons. It was started in 1982 by Dr. Solomon Victor and ws being published twice a year up to 1996. From 2000 the editorial office moved to Delhi. From 2001 the journal was extended to quarterly and subsequently four issues annually have been printed out at time and regularly without fail. The journal receives manuscripts from members and non-members and cardiovascular surgeons. The manuscripts are peer reviewed by at least two or sometimes three or four reviewers who are on the panel. The manuscript process is now completely online. Funding the journal comes partially from the organization and from revenue generated by subscription and advertisement.
×
引用
GB/T 7714-2015
复制
MLA
复制
APA
复制
导出至
BibTeX EndNote RefMan NoteFirst NoteExpress
×
提示
您的信息不完整,为了账户安全,请先补充。
现在去补充
×
提示
您因"违规操作"
具体请查看互助需知
我知道了
×
提示
确定
请完成安全验证×
copy
已复制链接
快去分享给好友吧!
我知道了
右上角分享
点击右上角分享
0
联系我们:info@booksci.cn Book学术提供免费学术资源搜索服务,方便国内外学者检索中英文文献。致力于提供最便捷和优质的服务体验。 Copyright © 2023 布克学术 All rights reserved.
京ICP备2023020795号-1
ghs 京公网安备 11010802042870号
Book学术文献互助
Book学术文献互助群
群 号:604180095
Book学术官方微信