Expression of inflammatory proteins STAT & NFĸB for phenotypic diagnosis of gall bladder cancer: A pilot study.

IF 2.5 4区 医学 Q3 IMMUNOLOGY
Atanu Sen, Nitin Choudhary, Bela Goyal, Amit Gupta, Sweety Gupta, Anissa Atif Mirza, Arvind Kumar
{"title":"Expression of inflammatory proteins STAT & NFĸB for phenotypic diagnosis of gall bladder cancer: A pilot study.","authors":"Atanu Sen, Nitin Choudhary, Bela Goyal, Amit Gupta, Sweety Gupta, Anissa Atif Mirza, Arvind Kumar","doi":"10.25259/IJMR_1461_2024","DOIUrl":null,"url":null,"abstract":"<p><p>Background & objectives Gallbladder cancer (GBC) has a low overall survival rate due to late detection and poor prognosis. Chronic inflammation contributes to malignant conversion and metastasis in GBC. Expression of inflammatory proteins, such as signal transducer and activator of transcription factor (STAT) and nuclear factor kappa B (NFĸB) proteins, for diagnosis through immunohistochemistry (IHC) is a promising area of research; however, diagnosis of GBC through IHC-based methods is still in its infancy. So, the present pilot study explores the use of STAT proteins (STAT 3 and 6) and NFĸB as diagnostic biomarkers for GBC. Methods Histologically confirmed cases of GBC (n=13) and cholelithiasis (n=23) as controls, were recruited. IHC was performed for protein expression of STAT3, STAT6, and NFĸB. Subgrouping into high and low expression was performed based on the receiver operating curve (ROC) analysis. Diagnostic utility and its association with the aggressiveness of cancer were assessed. Results The mean age of GBC and cholelithiasis patients was 50.84±14.5 and 44.0±11.9 years, respectively. Liver infiltration and metastasis were observed in 61 per cent and 69 per cent of the patients, respectively. STAT3, STAT6, and NFĸB expressions were significantly higher in GBC as compared to cholelithiasis. Sensitivity and specificity for STAT3 and STAT6 were 91, 47 and 75, 39 per cent, respectively. STAT6 expression was associated with lymph node involvement. Whereas, both STAT3 and STAT6 expressions were associated with Liver infiltration. Interpretation & conclusions This pilot study demonstrated STAT3 and STAT6 as sensitive and specific molecular biomarkers for diagnosing and assessing the aggressiveness of GBC. These may be used as an adjunct to the diagnosis of GBC after validation on a larger sample size.</p>","PeriodicalId":13349,"journal":{"name":"Indian Journal of Medical Research","volume":"161 4","pages":"414-419"},"PeriodicalIF":2.5000,"publicationDate":"2025-04-01","publicationTypes":"Journal Article","fieldsOfStudy":null,"isOpenAccess":false,"openAccessPdf":"https://www.ncbi.nlm.nih.gov/pmc/articles/PMC12178194/pdf/","citationCount":"0","resultStr":null,"platform":"Semanticscholar","paperid":null,"PeriodicalName":"Indian Journal of Medical Research","FirstCategoryId":"3","ListUrlMain":"https://doi.org/10.25259/IJMR_1461_2024","RegionNum":4,"RegionCategory":"医学","ArticlePicture":[],"TitleCN":null,"AbstractTextCN":null,"PMCID":null,"EPubDate":"","PubModel":"","JCR":"Q3","JCRName":"IMMUNOLOGY","Score":null,"Total":0}
引用次数: 0

Abstract

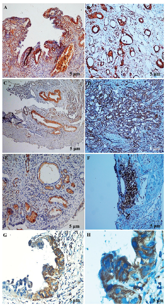
Background & objectives Gallbladder cancer (GBC) has a low overall survival rate due to late detection and poor prognosis. Chronic inflammation contributes to malignant conversion and metastasis in GBC. Expression of inflammatory proteins, such as signal transducer and activator of transcription factor (STAT) and nuclear factor kappa B (NFĸB) proteins, for diagnosis through immunohistochemistry (IHC) is a promising area of research; however, diagnosis of GBC through IHC-based methods is still in its infancy. So, the present pilot study explores the use of STAT proteins (STAT 3 and 6) and NFĸB as diagnostic biomarkers for GBC. Methods Histologically confirmed cases of GBC (n=13) and cholelithiasis (n=23) as controls, were recruited. IHC was performed for protein expression of STAT3, STAT6, and NFĸB. Subgrouping into high and low expression was performed based on the receiver operating curve (ROC) analysis. Diagnostic utility and its association with the aggressiveness of cancer were assessed. Results The mean age of GBC and cholelithiasis patients was 50.84±14.5 and 44.0±11.9 years, respectively. Liver infiltration and metastasis were observed in 61 per cent and 69 per cent of the patients, respectively. STAT3, STAT6, and NFĸB expressions were significantly higher in GBC as compared to cholelithiasis. Sensitivity and specificity for STAT3 and STAT6 were 91, 47 and 75, 39 per cent, respectively. STAT6 expression was associated with lymph node involvement. Whereas, both STAT3 and STAT6 expressions were associated with Liver infiltration. Interpretation & conclusions This pilot study demonstrated STAT3 and STAT6 as sensitive and specific molecular biomarkers for diagnosing and assessing the aggressiveness of GBC. These may be used as an adjunct to the diagnosis of GBC after validation on a larger sample size.

Abstract Image

Abstract Image

炎症蛋白STAT和NFĸB在胆囊癌表型诊断中的表达:一项初步研究。
背景与目的胆囊癌(GBC)由于发现晚、预后差,总生存率较低。慢性炎症有助于GBC的恶性转化和转移。通过免疫组织化学(IHC)诊断炎症蛋白,如转录因子(STAT)和核因子κ B (NFĸB)蛋白的信号换能器和激活因子的表达是一个有前途的研究领域;然而,通过基于免疫球蛋白的方法诊断GBC仍处于起步阶段。因此,目前的初步研究探索了STAT蛋白(STAT 3和6)和NFĸB作为GBC的诊断生物标志物的使用。方法选取经组织学证实的GBC (n=13)和胆石症(n=23)为对照组。IHC检测STAT3、STAT6和NFĸB的蛋白表达。根据受试者工作曲线(receiver operating curve, ROC)进行高、低表达分组。评估了诊断效用及其与癌症侵袭性的关系。结果GBC和胆石症患者的平均年龄分别为50.84±14.5岁和44.0±11.9岁。肝浸润和转移分别在61%和69%的患者中观察到。与胆石症相比,GBC中STAT3、STAT6和NFĸB的表达明显升高。STAT3和STAT6的敏感性和特异性分别为91%、47%和75.39%。STAT6的表达与淋巴结受累有关。然而,STAT3和STAT6的表达都与肝脏浸润有关。解释和结论:这项初步研究表明,STAT3和STAT6是诊断和评估GBC侵袭性的敏感和特异性分子生物标志物。在更大的样本量上验证后,这些可作为GBC诊断的辅助手段。
本文章由计算机程序翻译,如有差异,请以英文原文为准。
求助全文
约1分钟内获得全文 求助全文
来源期刊
CiteScore
5.80
自引率
2.40%
发文量
191
审稿时长
3-8 weeks
期刊介绍: The Indian Journal of Medical Research (IJMR) [ISSN 0971-5916] is one of the oldest medical Journals not only in India, but probably in Asia, as it started in the year 1913. The Journal was started as a quarterly (4 issues/year) in 1913 and made bimonthly (6 issues/year) in 1958. It became monthly (12 issues/year) in the year 1964.
×
引用
GB/T 7714-2015
复制
MLA
复制
APA
复制
导出至
BibTeX EndNote RefMan NoteFirst NoteExpress
×
提示
您的信息不完整,为了账户安全,请先补充。
现在去补充
×
提示
您因"违规操作"
具体请查看互助需知
我知道了
×
提示
确定
请完成安全验证×
copy
已复制链接
快去分享给好友吧!
我知道了
右上角分享
点击右上角分享
0
联系我们:info@booksci.cn Book学术提供免费学术资源搜索服务,方便国内外学者检索中英文文献。致力于提供最便捷和优质的服务体验。 Copyright © 2023 布克学术 All rights reserved.
京ICP备2023020795号-1
ghs 京公网安备 11010802042870号
Book学术文献互助
Book学术文献互助群
群 号:604180095
Book学术官方微信