A Case of Surgery for a Giant Popliteal Venous Aneurysm Positive for Heparin-Induced Thrombocytopenia Antibodies with Repeated Acute Pulmonary Embolism.

IF 0.6 Q4 PERIPHERAL VASCULAR DISEASE
Annals of vascular diseases Pub Date : 2025-01-01 Epub Date: 2025-06-17 DOI:10.3400/avd.cr.25-00031
Satoru Tomita, Koki Yokawa, Kazufumi Yoshida, Kenta Masada, Yosuke Inoue, Yoshimasa Seike, Hitoshi Matsuda
{"title":"A Case of Surgery for a Giant Popliteal Venous Aneurysm Positive for Heparin-Induced Thrombocytopenia Antibodies with Repeated Acute Pulmonary Embolism.","authors":"Satoru Tomita, Koki Yokawa, Kazufumi Yoshida, Kenta Masada, Yosuke Inoue, Yoshimasa Seike, Hitoshi Matsuda","doi":"10.3400/avd.cr.25-00031","DOIUrl":null,"url":null,"abstract":"<p><p>A 56-year-old woman with recurrent acute pulmonary embolism was diagnosed with a left popliteal venous aneurysm (PVA) by venous echocardiography. During anticoagulation therapy with heparin for acute pulmonary embolism, she was found to be positive for heparin-induced thrombocytopenia (HIT) antibodies. Surgery was performed with argatroban for anticoagulation, removal of the thrombus in the PVA, and suturing of the vein. Postoperatively, the popliteal vein showed shrinkage, and no recurrence of thromboembolism was observed. We report a case in which a patient with a PVA positive for HIT antibodies was successfully treated with PVA resection and anticoagulation therapy with argatroban.</p>","PeriodicalId":7995,"journal":{"name":"Annals of vascular diseases","volume":"18 1","pages":""},"PeriodicalIF":0.6000,"publicationDate":"2025-01-01","publicationTypes":"Journal Article","fieldsOfStudy":null,"isOpenAccess":false,"openAccessPdf":"https://www.ncbi.nlm.nih.gov/pmc/articles/PMC12174989/pdf/","citationCount":"0","resultStr":null,"platform":"Semanticscholar","paperid":null,"PeriodicalName":"Annals of vascular diseases","FirstCategoryId":"1085","ListUrlMain":"https://doi.org/10.3400/avd.cr.25-00031","RegionNum":0,"RegionCategory":null,"ArticlePicture":[],"TitleCN":null,"AbstractTextCN":null,"PMCID":null,"EPubDate":"2025/6/17 0:00:00","PubModel":"Epub","JCR":"Q4","JCRName":"PERIPHERAL VASCULAR DISEASE","Score":null,"Total":0}
引用次数: 0

Abstract

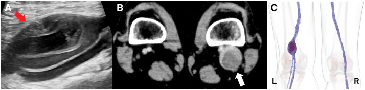
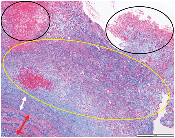
A 56-year-old woman with recurrent acute pulmonary embolism was diagnosed with a left popliteal venous aneurysm (PVA) by venous echocardiography. During anticoagulation therapy with heparin for acute pulmonary embolism, she was found to be positive for heparin-induced thrombocytopenia (HIT) antibodies. Surgery was performed with argatroban for anticoagulation, removal of the thrombus in the PVA, and suturing of the vein. Postoperatively, the popliteal vein showed shrinkage, and no recurrence of thromboembolism was observed. We report a case in which a patient with a PVA positive for HIT antibodies was successfully treated with PVA resection and anticoagulation therapy with argatroban.

Abstract Image

Abstract Image

Abstract Image

肝素诱导的血小板减少抗体阳性伴反复急性肺栓塞的巨大腘静脉动脉瘤手术一例。
一位56岁女性复发性急性肺栓塞经静脉超声心动图诊断为左腘静脉动脉瘤(PVA)。在用肝素抗凝治疗急性肺栓塞期间,她被发现肝素诱导的血小板减少症(HIT)抗体呈阳性。手术采用阿加曲班抗凝,去除PVA血栓,缝合静脉。术后腘静脉收缩,未见血栓栓塞复发。我们报告一例患者的PVA阳性的HIT抗体成功地治疗PVA切除和抗凝治疗阿加曲班。
本文章由计算机程序翻译,如有差异,请以英文原文为准。
求助全文
约1分钟内获得全文 求助全文
来源期刊
Annals of vascular diseases
Annals of vascular diseases PERIPHERAL VASCULAR DISEASE-
自引率
0.00%
发文量
41
×
引用
GB/T 7714-2015
复制
MLA
复制
APA
复制
导出至
BibTeX EndNote RefMan NoteFirst NoteExpress
×
提示
您的信息不完整,为了账户安全,请先补充。
现在去补充
×
提示
您因"违规操作"
具体请查看互助需知
我知道了
×
提示
确定
请完成安全验证×
copy
已复制链接
快去分享给好友吧!
我知道了
右上角分享
点击右上角分享
0
联系我们:info@booksci.cn Book学术提供免费学术资源搜索服务,方便国内外学者检索中英文文献。致力于提供最便捷和优质的服务体验。 Copyright © 2023 布克学术 All rights reserved.
京ICP备2023020795号-1
ghs 京公网安备 11010802042870号
Book学术文献互助
Book学术文献互助群
群 号:604180095
Book学术官方微信