Karyomegalic interstitial nephritis: A case series and review of the literature on genetic insights and clinical challenges.

Clinical nephrology. Case studies Pub Date : 2025-06-02 eCollection Date: 2025-01-01 DOI:10.5414/CNCS111727
Seyda Gul Ozcan, Durdane Yagmur Ersoy, Ali Osman Polat, Iclal Gurses, Aysel Kalaycı Yigin, Sinan Trabulus, Nurhan Seyahi
{"title":"Karyomegalic interstitial nephritis: A case series and review of the literature on genetic insights and clinical challenges.","authors":"Seyda Gul Ozcan, Durdane Yagmur Ersoy, Ali Osman Polat, Iclal Gurses, Aysel Kalaycı Yigin, Sinan Trabulus, Nurhan Seyahi","doi":"10.5414/CNCS111727","DOIUrl":null,"url":null,"abstract":"<p><p>Karyomegalic interstitial nephritis (KIN) is a rare hereditary form of chronic interstitial nephritis that was first described over 50 years ago. It is characterized by karyomegalic tubular epithelial cells and progressive chronic kidney disease, often leading to end-stage renal disease by the fifth decade of life. Recent studies have identified FAN1 mutations as a key genetic contributor, with additional associations to environmental factors and toxic exposures, such as ochratoxin A, alkylating agents, and heavy metals, which may act as potential triggers of the disease. We present a detailed analysis of KIN cases, highlighting genetic diversity, clinical manifestations, and management challenges, complemented by a comprehensive review of the literature.</p>","PeriodicalId":510898,"journal":{"name":"Clinical nephrology. Case studies","volume":"13 ","pages":"41-52"},"PeriodicalIF":0.0000,"publicationDate":"2025-06-02","publicationTypes":"Journal Article","fieldsOfStudy":null,"isOpenAccess":false,"openAccessPdf":"https://www.ncbi.nlm.nih.gov/pmc/articles/PMC12172184/pdf/","citationCount":"0","resultStr":null,"platform":"Semanticscholar","paperid":null,"PeriodicalName":"Clinical nephrology. Case studies","FirstCategoryId":"1085","ListUrlMain":"https://doi.org/10.5414/CNCS111727","RegionNum":0,"RegionCategory":null,"ArticlePicture":[],"TitleCN":null,"AbstractTextCN":null,"PMCID":null,"EPubDate":"2025/1/1 0:00:00","PubModel":"eCollection","JCR":"","JCRName":"","Score":null,"Total":0}
引用次数: 0

Abstract

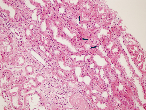
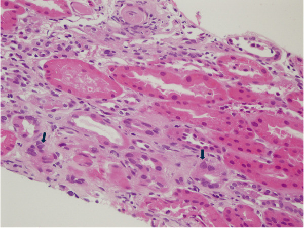
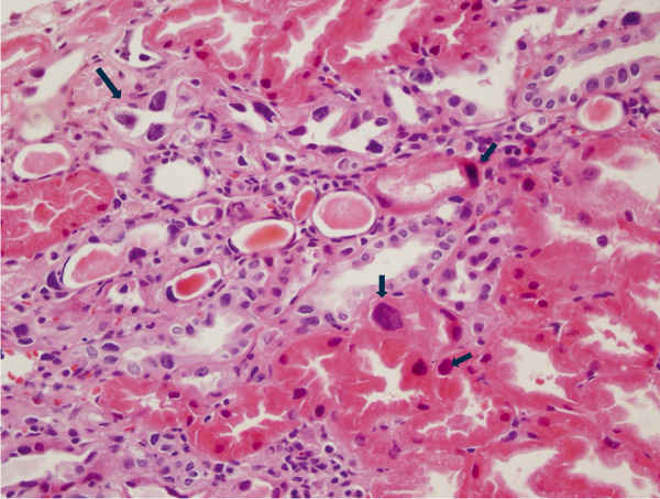
Karyomegalic interstitial nephritis (KIN) is a rare hereditary form of chronic interstitial nephritis that was first described over 50 years ago. It is characterized by karyomegalic tubular epithelial cells and progressive chronic kidney disease, often leading to end-stage renal disease by the fifth decade of life. Recent studies have identified FAN1 mutations as a key genetic contributor, with additional associations to environmental factors and toxic exposures, such as ochratoxin A, alkylating agents, and heavy metals, which may act as potential triggers of the disease. We present a detailed analysis of KIN cases, highlighting genetic diversity, clinical manifestations, and management challenges, complemented by a comprehensive review of the literature.

Abstract Image

Abstract Image

Abstract Image

核间质性肾炎:一个病例系列和文献综述的遗传学见解和临床挑战。
核肥大性间质性肾炎(KIN)是一种罕见的遗传性慢性间质性肾炎,在50多年前首次被发现。它的特征是核增大小管上皮细胞和进行性慢性肾脏疾病,通常在生命的第五个十年导致终末期肾脏疾病。最近的研究已经确定FAN1突变是一个关键的遗传因素,与环境因素和有毒暴露(如赭曲霉毒素a、烷基化剂和重金属)有额外的关联,这些因素可能是该疾病的潜在触发因素。我们提出了KIN病例的详细分析,强调遗传多样性,临床表现和管理挑战,并辅以文献的全面回顾。
本文章由计算机程序翻译,如有差异,请以英文原文为准。
求助全文
约1分钟内获得全文 求助全文
来源期刊
自引率
0.00%
发文量
0
×
引用
GB/T 7714-2015
复制
MLA
复制
APA
复制
导出至
BibTeX EndNote RefMan NoteFirst NoteExpress
×
提示
您的信息不完整,为了账户安全,请先补充。
现在去补充
×
提示
您因"违规操作"
具体请查看互助需知
我知道了
×
提示
确定
请完成安全验证×
copy
已复制链接
快去分享给好友吧!
我知道了
右上角分享
点击右上角分享
0
联系我们:info@booksci.cn Book学术提供免费学术资源搜索服务,方便国内外学者检索中英文文献。致力于提供最便捷和优质的服务体验。 Copyright © 2023 布克学术 All rights reserved.
京ICP备2023020795号-1
ghs 京公网安备 11010802042870号
Book学术文献互助
Book学术文献互助群
群 号:604180095
Book学术官方微信