Systemic autoimmune rheumatic diseases-associated interstitial lung disease: a pulmonologist's perspective.

IF 3.4 Q2 RESPIRATORY SYSTEM
Breathe Pub Date : 2025-06-17 eCollection Date: 2025-04-01 DOI:10.1183/20734735.0171-2024
Niamh Boyle, Jonathan Miller, Sean Quinn, Jess Maguire, Aurelie Fabre, Kathleen Morrisroe, David J Murphy, Cormac McCarthy
{"title":"Systemic autoimmune rheumatic diseases-associated interstitial lung disease: a pulmonologist's perspective.","authors":"Niamh Boyle, Jonathan Miller, Sean Quinn, Jess Maguire, Aurelie Fabre, Kathleen Morrisroe, David J Murphy, Cormac McCarthy","doi":"10.1183/20734735.0171-2024","DOIUrl":null,"url":null,"abstract":"<p><p>Connective tissue disease (CTD)-associated interstitial lung disease (ILD) is a complex condition arising in various autoimmune disorders, such as systemic sclerosis, Sjögren disease, systemic lupus erythematosus and idiopathic inflammatory myopathies. The broader term of systemic autoimmune rheumatic diseases (SARDs) and SARD-ILD are increasingly adopted in various guidelines to allow inclusion of other rheumatic diseases such as rheumatoid arthritis. SARD-ILD significantly impacts morbidity and mortality, with disease manifestations ranging from mild to severe and life-threatening. Epidemiological data show varying ILD prevalence rates amongst SARDs, with fibrosis being a key pathological component secondary to immune-mediated inflammation and tissue remodelling. SARD-ILD presents diverse histological patterns, primarily nonspecific interstitial pneumonia and usual interstitial pneumonia, each informing prognosis and guiding therapeutic strategies. Diagnosis relies on a comprehensive evaluation of clinical, serological, radiological and histological data, involving a multidisciplinary team. Immunosuppressive therapy is the cornerstone of treatment, with concurrent use of anti-fibrotic agents in specific progressive cases. Disease management is stratified by severity, with distinct guidelines for stable, progressive and rapidly progressive ILD. The prognosis varies across SARD-ILD types, influenced by specific markers, imaging features, and response to therapy. In severe cases, lung transplantation may be considered. Early recognition remains critical in optimising outcomes for SARD-ILD patients.</p>","PeriodicalId":9292,"journal":{"name":"Breathe","volume":"21 2","pages":"240171"},"PeriodicalIF":3.4000,"publicationDate":"2025-06-17","publicationTypes":"Journal Article","fieldsOfStudy":null,"isOpenAccess":false,"openAccessPdf":"https://www.ncbi.nlm.nih.gov/pmc/articles/PMC12171859/pdf/","citationCount":"0","resultStr":null,"platform":"Semanticscholar","paperid":null,"PeriodicalName":"Breathe","FirstCategoryId":"1085","ListUrlMain":"https://doi.org/10.1183/20734735.0171-2024","RegionNum":0,"RegionCategory":null,"ArticlePicture":[],"TitleCN":null,"AbstractTextCN":null,"PMCID":null,"EPubDate":"2025/4/1 0:00:00","PubModel":"eCollection","JCR":"Q2","JCRName":"RESPIRATORY SYSTEM","Score":null,"Total":0}
引用次数: 0

Abstract

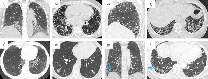
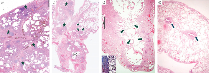
Connective tissue disease (CTD)-associated interstitial lung disease (ILD) is a complex condition arising in various autoimmune disorders, such as systemic sclerosis, Sjögren disease, systemic lupus erythematosus and idiopathic inflammatory myopathies. The broader term of systemic autoimmune rheumatic diseases (SARDs) and SARD-ILD are increasingly adopted in various guidelines to allow inclusion of other rheumatic diseases such as rheumatoid arthritis. SARD-ILD significantly impacts morbidity and mortality, with disease manifestations ranging from mild to severe and life-threatening. Epidemiological data show varying ILD prevalence rates amongst SARDs, with fibrosis being a key pathological component secondary to immune-mediated inflammation and tissue remodelling. SARD-ILD presents diverse histological patterns, primarily nonspecific interstitial pneumonia and usual interstitial pneumonia, each informing prognosis and guiding therapeutic strategies. Diagnosis relies on a comprehensive evaluation of clinical, serological, radiological and histological data, involving a multidisciplinary team. Immunosuppressive therapy is the cornerstone of treatment, with concurrent use of anti-fibrotic agents in specific progressive cases. Disease management is stratified by severity, with distinct guidelines for stable, progressive and rapidly progressive ILD. The prognosis varies across SARD-ILD types, influenced by specific markers, imaging features, and response to therapy. In severe cases, lung transplantation may be considered. Early recognition remains critical in optimising outcomes for SARD-ILD patients.

Abstract Image

Abstract Image

Abstract Image

系统性自身免疫性风湿病相关间质性肺疾病:肺科医生的观点
结缔组织病(CTD)相关间质性肺病(ILD)是一种复杂的疾病,出现在各种自身免疫性疾病中,如系统性硬化症、Sjögren疾病、系统性红斑狼疮和特发性炎性肌病。系统性自身免疫性风湿性疾病(SARDs)和SARD-ILD这一更广泛的术语在各种指南中越来越多地被采用,以便纳入其他风湿性疾病,如类风湿关节炎。SARD-ILD显著影响发病率和死亡率,疾病表现从轻微到严重,危及生命。流行病学数据显示,急性呼吸窘迫综合征的ILD患病率各不相同,纤维化是继发于免疫介导的炎症和组织重构的关键病理成分。SARD-ILD表现出多种组织学类型,主要是非特异性间质性肺炎和常规间质性肺炎,每种类型都可以为预后提供信息并指导治疗策略。诊断依赖于临床、血清学、放射学和组织学数据的综合评估,涉及多学科团队。免疫抑制治疗是治疗的基础,在特定进展病例中同时使用抗纤维化药物。疾病管理按严重程度分层,对稳定、进展和迅速进展的ILD有不同的指导方针。不同类型的SARD-ILD预后不同,受特定标志物、影像学特征和治疗反应的影响。严重者可考虑肺移植。早期识别对于优化SARD-ILD患者的预后仍然至关重要。
本文章由计算机程序翻译,如有差异,请以英文原文为准。
求助全文
约1分钟内获得全文 求助全文
来源期刊
Breathe
Breathe RESPIRATORY SYSTEM-
CiteScore
2.90
自引率
5.00%
发文量
51
审稿时长
12 weeks
×
引用
GB/T 7714-2015
复制
MLA
复制
APA
复制
导出至
BibTeX EndNote RefMan NoteFirst NoteExpress
×
提示
您的信息不完整,为了账户安全,请先补充。
现在去补充
×
提示
您因"违规操作"
具体请查看互助需知
我知道了
×
提示
确定
请完成安全验证×
copy
已复制链接
快去分享给好友吧!
我知道了
右上角分享
点击右上角分享
0
联系我们:info@booksci.cn Book学术提供免费学术资源搜索服务,方便国内外学者检索中英文文献。致力于提供最便捷和优质的服务体验。 Copyright © 2023 布克学术 All rights reserved.
京ICP备2023020795号-1
ghs 京公网安备 11010802042870号
Book学术文献互助
Book学术文献互助群
群 号:604180095
Book学术官方微信