A Case Report of Dialysis Catheter Placement in an Anomalous Pulmonary Vein.

Case Reports in Vascular Medicine Pub Date : 2025-06-09 eCollection Date: 2025-01-01 DOI:10.1155/crvm/9936069
Cierra King, Karling Gravenstein
{"title":"A Case Report of Dialysis Catheter Placement in an Anomalous Pulmonary Vein.","authors":"Cierra King, Karling Gravenstein","doi":"10.1155/crvm/9936069","DOIUrl":null,"url":null,"abstract":"<p><p><b>Background:</b> Partial anomalous pulmonary venous connections are embryologic defects in which the normal connection between the pulmonary veins and left atrium is disrupted. These rare anomalies are often asymptomatic and identified incidentally. The most common variant is a connection between the left upper pulmonary veins and the left innominate vein. Although typically asymptomatic, these variants are important to be aware of, particularly when performing procedures involving the venous anatomy. <b>Case Presentation:</b> We present the case of a 52-year-old female with a previous history of colon cancer who underwent right hemicolectomy and presented to the hospital due to severe dehydration secondary to profuse nausea, vomiting, and diarrhea. She developed an acute kidney injury with electrolyte derangement and metabolic acidosis requiring initiation of hemodialysis. Due to her preexisting right internal jugular port access, the decision was made to proceed with left internal jugular dialysis catheter access. Central venous access was performed in standard fashion. There was venous-appearing blood return at the time of needle access and subsequent dilations. However, at the time of catheter advancement, there was noted return of bright red blood and resistance to advancement, concerning for possible arterial cannulation. Concerning arterial placement, an arterial blood gas (ABG) test and chest x-ray were performed; however, the transducer waveforms were not consistent with this. Computed tomography angiography obtained revealed left internal jugular venous access with catheter extension into an anomalous pulmonary vein within the left upper lobe. The patient was taken to the angiography suite and under fluoroscopy guidance had new left internal jugular catheter access with the catheter terminating successfully in the superior vena cava. She underwent successful dialysis and was subsequently discharged on postprocedure Day 8. <b>Conclusions:</b> Central line placement is a commonly performed procedure in hospitals. There are steps that have been developed to limit complications for this procedure, including ultrasound guidance, visualization of venous blood, and confirmatory imaging prior to use. This is a case in which arterial-appearing blood, paO2, and chest x-ray were concerning for incorrect placement, but additional imaging revealed accurate access with anomalous anatomy. Overall, the case of central line placement in anomalous pulmonary venous connections is rare but needs consideration when the clinical scenario is appropriate.</p>","PeriodicalId":9632,"journal":{"name":"Case Reports in Vascular Medicine","volume":"2025 ","pages":"9936069"},"PeriodicalIF":0.0000,"publicationDate":"2025-06-09","publicationTypes":"Journal Article","fieldsOfStudy":null,"isOpenAccess":false,"openAccessPdf":"https://www.ncbi.nlm.nih.gov/pmc/articles/PMC12170080/pdf/","citationCount":"0","resultStr":null,"platform":"Semanticscholar","paperid":null,"PeriodicalName":"Case Reports in Vascular Medicine","FirstCategoryId":"1085","ListUrlMain":"https://doi.org/10.1155/crvm/9936069","RegionNum":0,"RegionCategory":null,"ArticlePicture":[],"TitleCN":null,"AbstractTextCN":null,"PMCID":null,"EPubDate":"2025/1/1 0:00:00","PubModel":"eCollection","JCR":"","JCRName":"","Score":null,"Total":0}
引用次数: 0

Abstract

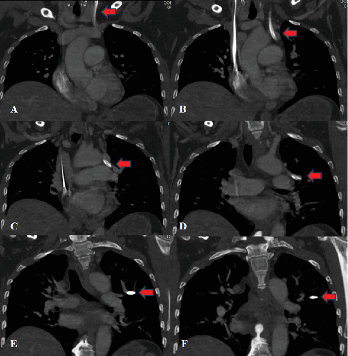
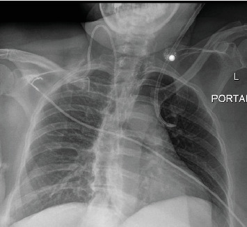
Background: Partial anomalous pulmonary venous connections are embryologic defects in which the normal connection between the pulmonary veins and left atrium is disrupted. These rare anomalies are often asymptomatic and identified incidentally. The most common variant is a connection between the left upper pulmonary veins and the left innominate vein. Although typically asymptomatic, these variants are important to be aware of, particularly when performing procedures involving the venous anatomy. Case Presentation: We present the case of a 52-year-old female with a previous history of colon cancer who underwent right hemicolectomy and presented to the hospital due to severe dehydration secondary to profuse nausea, vomiting, and diarrhea. She developed an acute kidney injury with electrolyte derangement and metabolic acidosis requiring initiation of hemodialysis. Due to her preexisting right internal jugular port access, the decision was made to proceed with left internal jugular dialysis catheter access. Central venous access was performed in standard fashion. There was venous-appearing blood return at the time of needle access and subsequent dilations. However, at the time of catheter advancement, there was noted return of bright red blood and resistance to advancement, concerning for possible arterial cannulation. Concerning arterial placement, an arterial blood gas (ABG) test and chest x-ray were performed; however, the transducer waveforms were not consistent with this. Computed tomography angiography obtained revealed left internal jugular venous access with catheter extension into an anomalous pulmonary vein within the left upper lobe. The patient was taken to the angiography suite and under fluoroscopy guidance had new left internal jugular catheter access with the catheter terminating successfully in the superior vena cava. She underwent successful dialysis and was subsequently discharged on postprocedure Day 8. Conclusions: Central line placement is a commonly performed procedure in hospitals. There are steps that have been developed to limit complications for this procedure, including ultrasound guidance, visualization of venous blood, and confirmatory imaging prior to use. This is a case in which arterial-appearing blood, paO2, and chest x-ray were concerning for incorrect placement, but additional imaging revealed accurate access with anomalous anatomy. Overall, the case of central line placement in anomalous pulmonary venous connections is rare but needs consideration when the clinical scenario is appropriate.

Abstract Image

Abstract Image

异常肺静脉置置透析导管1例。
背景:部分肺静脉连接异常是指肺静脉与左心房之间的正常连接被破坏的胚胎缺陷。这些罕见的异常通常是无症状的,并且是偶然发现的。最常见的变型是左上肺静脉和左无名静脉之间的连接。虽然这些变异通常无症状,但需要注意,特别是在进行涉及静脉解剖的手术时。病例介绍:我们报告一名52岁女性,既往有结肠癌病史,行右半结肠切除术,因严重脱水继发恶心、呕吐和腹泻而入院。她发展为急性肾损伤,伴有电解质紊乱和代谢性酸中毒,需要开始血液透析。由于她先前存在右颈内静脉通道,我们决定继续使用左颈内静脉透析导管。中心静脉通路按标准方式进行。在针头进入和随后的扩张时有静脉样的血液回流。然而,在导管推进时,有明显的鲜红色血液回流和推进阻力,考虑到可能的动脉插管。关于动脉放置,进行动脉血气(ABG)检查和胸部x线检查;然而,换能器波形与此不一致。计算机断层血管造影显示左侧颈内静脉通路,导管延伸至左侧上叶异常肺静脉。患者被带到血管造影室,在透视引导下,新的左颈内静脉导管进入,导管成功终止于上腔静脉。她接受了成功的透析,并于术后第8天出院。结论:中心静脉置管是医院常用的手术。目前已经制定了一些步骤来限制该手术的并发症,包括超声引导、静脉血可视化和使用前的确认性成像。这是一个动脉表现的血液,paO2和胸部x线片担心放置不正确的病例,但额外的成像显示了异常解剖的准确通道。总的来说,在异常肺静脉连接中放置中心静脉线是罕见的,但在临床情况合适时需要考虑。
本文章由计算机程序翻译,如有差异,请以英文原文为准。
求助全文
约1分钟内获得全文 求助全文
来源期刊
自引率
0.00%
发文量
21
审稿时长
15 weeks
×
引用
GB/T 7714-2015
复制
MLA
复制
APA
复制
导出至
BibTeX EndNote RefMan NoteFirst NoteExpress
×
提示
您的信息不完整,为了账户安全,请先补充。
现在去补充
×
提示
您因"违规操作"
具体请查看互助需知
我知道了
×
提示
确定
请完成安全验证×
copy
已复制链接
快去分享给好友吧!
我知道了
右上角分享
点击右上角分享
0
联系我们:info@booksci.cn Book学术提供免费学术资源搜索服务,方便国内外学者检索中英文文献。致力于提供最便捷和优质的服务体验。 Copyright © 2023 布克学术 All rights reserved.
京ICP备2023020795号-1
ghs 京公网安备 11010802042870号
Book学术文献互助
Book学术文献互助群
群 号:604180095
Book学术官方微信