Pitfalls in the Pathological Diagnosis of Glomerular Diseases: Why Stop at One?

Glomerular diseases Pub Date : 2025-04-29 eCollection Date: 2025-01-01 DOI:10.1159/000546083
David N Howell
{"title":"Pitfalls in the Pathological Diagnosis of Glomerular Diseases: Why Stop at One?","authors":"David N Howell","doi":"10.1159/000546083","DOIUrl":null,"url":null,"abstract":"<p><strong>Background: </strong>Renal pathologists face a number of challenges in evaluating kidney biopsies: one that is sometimes overlooked is the presence of multiple pathological processes in a single biopsy. Figuring out the interrelatedness (or lack thereof) of more than one form of renal abnormality can difficult. Several pitfalls in biopsy evaluation also await the unprepared diagnostician. This communication will examine these problems with illustrations from a single nephropathology practice dating back more than 3 decades.</p><p><strong>Summary: </strong>Paired processes in a biopsy can be related in many ways, including 2 lesions with a single root cause, 1 lesion that is a direct consequence of another, 1 lesion that results from the treatment of another, 2 lesions for which circumstantial evidence suggests a connection, and finally, 2 lesions occurring together entirely by chance. Failure to recognize a second lesion after a first has been identified can result from overintense focus on the first lesion, subtlety of the second lesion, unusual situations where the second lesion involves the absence rather than presence of something, instances where the first lesion obscures the second, and disease pairs where the findings for the second are a subset of those for first.</p><p><strong>Key messages: </strong>Detection and understanding of multiple pathological processes in a biopsy and avoiding pitfalls in their analysis requires the use of all available diagnostic modalities and thorough examination of all tissue received. Careful attention should be paid to the clinical record, but with the recognition that it may not always be entirely accurate or predictive of what will be found in the biopsy. Above all, pathologists must resist the temptation to think that their work is done when they find the first abnormality.</p>","PeriodicalId":73177,"journal":{"name":"Glomerular diseases","volume":"5 1","pages":"250-260"},"PeriodicalIF":0.0000,"publicationDate":"2025-04-29","publicationTypes":"Journal Article","fieldsOfStudy":null,"isOpenAccess":false,"openAccessPdf":"https://www.ncbi.nlm.nih.gov/pmc/articles/PMC12165643/pdf/","citationCount":"0","resultStr":null,"platform":"Semanticscholar","paperid":null,"PeriodicalName":"Glomerular diseases","FirstCategoryId":"1085","ListUrlMain":"https://doi.org/10.1159/000546083","RegionNum":0,"RegionCategory":null,"ArticlePicture":[],"TitleCN":null,"AbstractTextCN":null,"PMCID":null,"EPubDate":"2025/1/1 0:00:00","PubModel":"eCollection","JCR":"","JCRName":"","Score":null,"Total":0}
引用次数: 0

Abstract

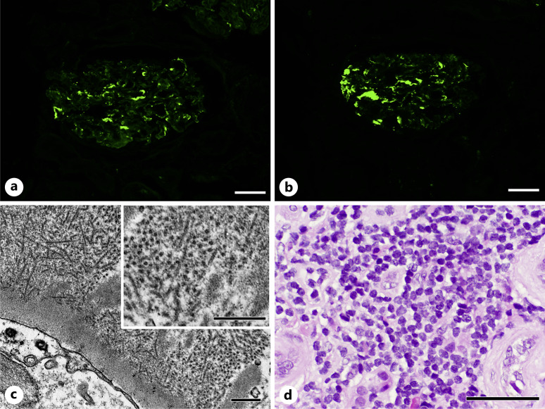
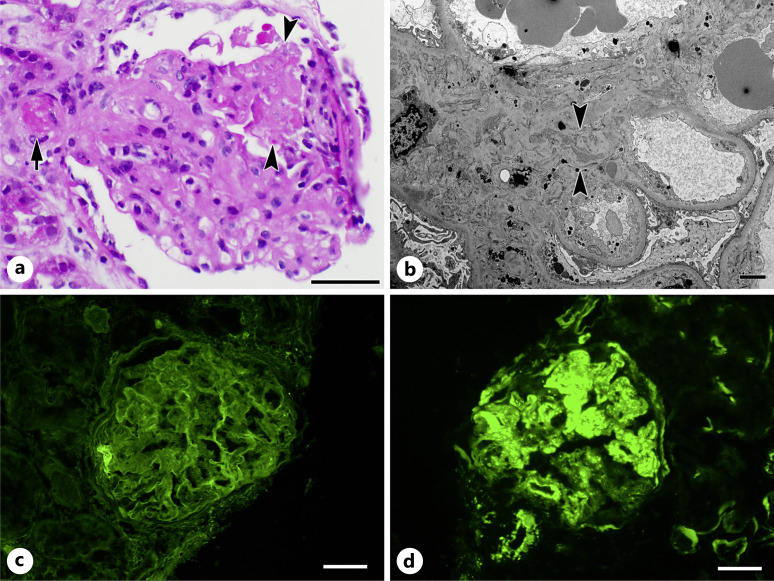
Background: Renal pathologists face a number of challenges in evaluating kidney biopsies: one that is sometimes overlooked is the presence of multiple pathological processes in a single biopsy. Figuring out the interrelatedness (or lack thereof) of more than one form of renal abnormality can difficult. Several pitfalls in biopsy evaluation also await the unprepared diagnostician. This communication will examine these problems with illustrations from a single nephropathology practice dating back more than 3 decades.

Summary: Paired processes in a biopsy can be related in many ways, including 2 lesions with a single root cause, 1 lesion that is a direct consequence of another, 1 lesion that results from the treatment of another, 2 lesions for which circumstantial evidence suggests a connection, and finally, 2 lesions occurring together entirely by chance. Failure to recognize a second lesion after a first has been identified can result from overintense focus on the first lesion, subtlety of the second lesion, unusual situations where the second lesion involves the absence rather than presence of something, instances where the first lesion obscures the second, and disease pairs where the findings for the second are a subset of those for first.

Key messages: Detection and understanding of multiple pathological processes in a biopsy and avoiding pitfalls in their analysis requires the use of all available diagnostic modalities and thorough examination of all tissue received. Careful attention should be paid to the clinical record, but with the recognition that it may not always be entirely accurate or predictive of what will be found in the biopsy. Above all, pathologists must resist the temptation to think that their work is done when they find the first abnormality.

Abstract Image

Abstract Image

Abstract Image

肾小球疾病病理诊断的误区:为何止步于一个?
背景:肾脏病理学家在评估肾活检时面临许多挑战:有时被忽视的是在一次活检中存在多个病理过程。找出一种以上形式的肾脏异常的相互关系(或缺乏相互关系)是很困难的。活检评估中的几个陷阱也等待着毫无准备的诊断医师。本交流将通过30多年前单个肾脏病理学实践的插图来检查这些问题。总结:活检中的成对过程可以在许多方面相关,包括两个病变具有单一的根本原因,一个病变是另一个病变的直接后果,一个病变是由另一个病变的治疗引起的,两个病变有间接证据表明有联系,最后,两个病变完全偶然地同时发生。在确定了第一种病变后未能识别第二种病变可能是由于对第一种病变的过度关注,第二种病变的微妙性,第二种病变涉及缺乏而不是存在的不寻常情况,第一种病变掩盖了第二种病变的情况,以及第二种病变的发现是第一种病变的子集的疾病对。关键信息:在活检中检测和理解多种病理过程,并避免在分析中出现缺陷,需要使用所有可用的诊断方式,并对接收的所有组织进行彻底检查。应仔细注意临床记录,但认识到它可能并不总是完全准确或预测将在活检中发现什么。最重要的是,病理学家必须抵制这样的诱惑:当他们发现第一个异常时,他们的工作就完成了。
本文章由计算机程序翻译,如有差异,请以英文原文为准。
求助全文
约1分钟内获得全文 求助全文
来源期刊
自引率
0.00%
发文量
0
×
引用
GB/T 7714-2015
复制
MLA
复制
APA
复制
导出至
BibTeX EndNote RefMan NoteFirst NoteExpress
×
提示
您的信息不完整,为了账户安全,请先补充。
现在去补充
×
提示
您因"违规操作"
具体请查看互助需知
我知道了
×
提示
确定
请完成安全验证×
copy
已复制链接
快去分享给好友吧!
我知道了
右上角分享
点击右上角分享
0
联系我们:info@booksci.cn Book学术提供免费学术资源搜索服务,方便国内外学者检索中英文文献。致力于提供最便捷和优质的服务体验。 Copyright © 2023 布克学术 All rights reserved.
京ICP备2023020795号-1
ghs 京公网安备 11010802042870号
Book学术文献互助
Book学术文献互助群
群 号:604180095
Book学术官方微信