Personalized Contrast Agent Volumes in Abdominal CT: Bridging Theory with Practice.

IF 1.3 4区 医学 Q4 RADIOLOGY, NUCLEAR MEDICINE & MEDICAL IMAGING
Journal of the Belgian Society of Radiology Pub Date : 2025-06-09 eCollection Date: 2025-01-01 DOI:10.5334/jbsr.3906
Walter Coudyzer, Lesley Cockmartin, Bram Miseur, Tim Busselot, Didier Bielen, Dirk Vanbeckevoort, Raymond Oyen, Hilde Bosmans
{"title":"Personalized Contrast Agent Volumes in Abdominal CT: Bridging Theory with Practice.","authors":"Walter Coudyzer, Lesley Cockmartin, Bram Miseur, Tim Busselot, Didier Bielen, Dirk Vanbeckevoort, Raymond Oyen, Hilde Bosmans","doi":"10.5334/jbsr.3906","DOIUrl":null,"url":null,"abstract":"<p><p><i>Objectives:</i> to determine (1) a target Hounsfield unit (HU) for portal venous phase iodinated contrast media enhanced abdominal CT scans, (2) an equation for a personalized total contrast agent volume, and (3) the best/most appropriate time between injection and plateau/peak in HU enhancement. <i>Material and methods:</i> from an original dataset of 5,000 cases, a weight representative subset of 370 cases was sampled for detailed HU measurements. An additional 90 cases were used for visual grading to define the minimal HU required for diagnostic quality, which led to the proposed target HU. This study uses the fact that in a first approach, the injected contrast agent volume and HU correlate linearly. Based on the injected contrast agent volumes and HU measurements in the patient scans, it was then calculated which (ideal) volume would have reached the target value. The ideal volumes and patient data (weight, height, heart rate, age, and gender) were correlated by means of a regression analysis, to determine a new patient-specific contrast volume calculation equation. The best scan delay time was derived from the start of the injection to the HU enhancement plateau/peak evaluated from manually triggered venous phase scans. <i>Results:</i> The target HU value was 125. This can be achieved with a personalized contrast agent volume (ml), equal to - 108.5 + ∗ <i>weight(kg)</i> + 0.40 ∗ <i>heart rate(bpm)</i> + 0.61 ∗ <i>height(cm)</i>. The time delay between injection and HU plateau/peak was found to be, on average, 102 s. <i>Conclusion:</i> this study proposes a comprehensive protocol for contrast enhanced venous phase scans, including a target HU, a personalized contrast volume, and a scan delay.</p>","PeriodicalId":55987,"journal":{"name":"Journal of the Belgian Society of Radiology","volume":"109 1","pages":"21"},"PeriodicalIF":1.3000,"publicationDate":"2025-06-09","publicationTypes":"Journal Article","fieldsOfStudy":null,"isOpenAccess":false,"openAccessPdf":"https://www.ncbi.nlm.nih.gov/pmc/articles/PMC12164761/pdf/","citationCount":"0","resultStr":null,"platform":"Semanticscholar","paperid":null,"PeriodicalName":"Journal of the Belgian Society of Radiology","FirstCategoryId":"3","ListUrlMain":"https://doi.org/10.5334/jbsr.3906","RegionNum":4,"RegionCategory":"医学","ArticlePicture":[],"TitleCN":null,"AbstractTextCN":null,"PMCID":null,"EPubDate":"2025/1/1 0:00:00","PubModel":"eCollection","JCR":"Q4","JCRName":"RADIOLOGY, NUCLEAR MEDICINE & MEDICAL IMAGING","Score":null,"Total":0}
引用次数: 0

Abstract

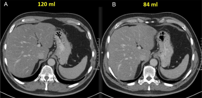
Objectives: to determine (1) a target Hounsfield unit (HU) for portal venous phase iodinated contrast media enhanced abdominal CT scans, (2) an equation for a personalized total contrast agent volume, and (3) the best/most appropriate time between injection and plateau/peak in HU enhancement. Material and methods: from an original dataset of 5,000 cases, a weight representative subset of 370 cases was sampled for detailed HU measurements. An additional 90 cases were used for visual grading to define the minimal HU required for diagnostic quality, which led to the proposed target HU. This study uses the fact that in a first approach, the injected contrast agent volume and HU correlate linearly. Based on the injected contrast agent volumes and HU measurements in the patient scans, it was then calculated which (ideal) volume would have reached the target value. The ideal volumes and patient data (weight, height, heart rate, age, and gender) were correlated by means of a regression analysis, to determine a new patient-specific contrast volume calculation equation. The best scan delay time was derived from the start of the injection to the HU enhancement plateau/peak evaluated from manually triggered venous phase scans. Results: The target HU value was 125. This can be achieved with a personalized contrast agent volume (ml), equal to - 108.5 + ∗ weight(kg) + 0.40 ∗ heart rate(bpm) + 0.61 ∗ height(cm). The time delay between injection and HU plateau/peak was found to be, on average, 102 s. Conclusion: this study proposes a comprehensive protocol for contrast enhanced venous phase scans, including a target HU, a personalized contrast volume, and a scan delay.

Abstract Image

Abstract Image

Abstract Image

个性化腹部CT造影剂体积:理论与实践的桥梁。
目的:确定(1)门静脉期碘化造影剂增强腹部CT扫描的目标Hounsfield单位(HU),(2)个性化总造影剂体积的公式,以及(3)注射到HU增强平台/峰值之间的最佳/最合适时间。材料和方法:从5000个病例的原始数据集中,对370个病例的权重代表性子集进行了采样,以进行详细的HU测量。另外90例病例用于视觉分级,以确定诊断质量所需的最小HU,从而得出建议的目标HU。本研究使用的事实是,在第一种方法中,注射造影剂体积和HU呈线性相关。根据注射造影剂的体积和患者扫描中的HU测量值,然后计算哪个(理想)体积将达到目标值。理想容积与患者数据(体重、身高、心率、年龄和性别)通过回归分析相关联,以确定新的患者特异性造影剂容积计算方程。最佳扫描延迟时间是从注射开始到手动触发静脉期扫描评估的HU增强平台/峰值。结果:目标HU值为125。这可以通过个性化造影剂体积(ml)来实现,体积等于- 108.5 + *体重(kg) + 0.40 *心率(bpm) + 0.61 *高度(cm)。从注射到HU平台/峰值之间的时间延迟平均为102 s。结论:本研究提出了一种全面的对比增强静脉期扫描方案,包括目标HU、个性化对比量和扫描延迟。
本文章由计算机程序翻译,如有差异,请以英文原文为准。
求助全文
约1分钟内获得全文 求助全文
来源期刊
Journal of the Belgian Society of Radiology
Journal of the Belgian Society of Radiology Medicine-Radiology, Nuclear Medicine and Imaging
CiteScore
0.70
自引率
5.00%
发文量
96
期刊介绍: The purpose of the Journal of the Belgian Society of Radiology is the publication of articles dealing with diagnostic and interventional radiology, related imaging techniques, allied sciences, and continuing education.
×
引用
GB/T 7714-2015
复制
MLA
复制
APA
复制
导出至
BibTeX EndNote RefMan NoteFirst NoteExpress
×
提示
您的信息不完整,为了账户安全,请先补充。
现在去补充
×
提示
您因"违规操作"
具体请查看互助需知
我知道了
×
提示
确定
请完成安全验证×
copy
已复制链接
快去分享给好友吧!
我知道了
右上角分享
点击右上角分享
0
联系我们:info@booksci.cn Book学术提供免费学术资源搜索服务,方便国内外学者检索中英文文献。致力于提供最便捷和优质的服务体验。 Copyright © 2023 布克学术 All rights reserved.
京ICP备2023020795号-1
ghs 京公网安备 11010802042870号
Book学术文献互助
Book学术文献互助群
群 号:604180095
Book学术官方微信