Test-retest properties of [11C]PXT012253 as a positron emission tomography (PET) radiotracer in healthy human brain: PET imaging of mGlu4.

IF 3.1 3区 医学 Q1 RADIOLOGY, NUCLEAR MEDICINE & MEDICAL IMAGING
Per Stenkrona, Ryosuke Arakawa, Jiamei Guo, Benny Bang-Andersen, Sangram Nag, Mohammad Mahdi Moein, Zhisheng Jia, Zsolt Cselenyi, Christer Halldin, Andrea Varrone
{"title":"Test-retest properties of [<sup>11</sup>C]PXT012253 as a positron emission tomography (PET) radiotracer in healthy human brain: PET imaging of mGlu4.","authors":"Per Stenkrona, Ryosuke Arakawa, Jiamei Guo, Benny Bang-Andersen, Sangram Nag, Mohammad Mahdi Moein, Zhisheng Jia, Zsolt Cselenyi, Christer Halldin, Andrea Varrone","doi":"10.1186/s13550-025-01266-y","DOIUrl":null,"url":null,"abstract":"","PeriodicalId":11611,"journal":{"name":"EJNMMI Research","volume":"15 1","pages":"71"},"PeriodicalIF":3.1000,"publicationDate":"2025-06-14","publicationTypes":"Journal Article","fieldsOfStudy":null,"isOpenAccess":false,"openAccessPdf":"https://www.ncbi.nlm.nih.gov/pmc/articles/PMC12167413/pdf/","citationCount":"0","resultStr":null,"platform":"Semanticscholar","paperid":null,"PeriodicalName":"EJNMMI Research","FirstCategoryId":"3","ListUrlMain":"https://doi.org/10.1186/s13550-025-01266-y","RegionNum":3,"RegionCategory":"医学","ArticlePicture":[],"TitleCN":null,"AbstractTextCN":null,"PMCID":null,"EPubDate":"","PubModel":"","JCR":"Q1","JCRName":"RADIOLOGY, NUCLEAR MEDICINE & MEDICAL IMAGING","Score":null,"Total":0}
引用次数: 0

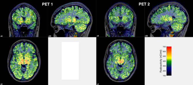
Abstract Image

Abstract Image

Abstract Image

[11C]PXT012253作为健康人大脑正电子发射断层扫描(PET)示踪剂的性能测试-再测试:mGlu4的PET成像。
本文章由计算机程序翻译,如有差异,请以英文原文为准。
求助全文
约1分钟内获得全文 求助全文
来源期刊
EJNMMI Research
EJNMMI Research RADIOLOGY, NUCLEAR MEDICINE & MEDICAL IMAGING&nb-
CiteScore
5.90
自引率
3.10%
发文量
72
审稿时长
13 weeks
期刊介绍: EJNMMI Research publishes new basic, translational and clinical research in the field of nuclear medicine and molecular imaging. Regular features include original research articles, rapid communication of preliminary data on innovative research, interesting case reports, editorials, and letters to the editor. Educational articles on basic sciences, fundamental aspects and controversy related to pre-clinical and clinical research or ethical aspects of research are also welcome. Timely reviews provide updates on current applications, issues in imaging research and translational aspects of nuclear medicine and molecular imaging technologies. The main emphasis is placed on the development of targeted imaging with radiopharmaceuticals within the broader context of molecular probes to enhance understanding and characterisation of the complex biological processes underlying disease and to develop, test and guide new treatment modalities, including radionuclide therapy.
×
引用
GB/T 7714-2015
复制
MLA
复制
APA
复制
导出至
BibTeX EndNote RefMan NoteFirst NoteExpress
×
提示
您的信息不完整,为了账户安全,请先补充。
现在去补充
×
提示
您因"违规操作"
具体请查看互助需知
我知道了
×
提示
确定
请完成安全验证×
copy
已复制链接
快去分享给好友吧!
我知道了
右上角分享
点击右上角分享
0
联系我们:info@booksci.cn Book学术提供免费学术资源搜索服务,方便国内外学者检索中英文文献。致力于提供最便捷和优质的服务体验。 Copyright © 2023 布克学术 All rights reserved.
京ICP备2023020795号-1
ghs 京公网安备 11010802042870号
Book学术文献互助
Book学术文献互助群
群 号:604180095
Book学术官方微信