Congenital hemifacial hyperplasia-A diagnostic dilemma.

National journal of maxillofacial surgery Pub Date : 2025-01-01 Epub Date: 2025-04-28 DOI:10.4103/njms.njms_171_22
Aishwarya Bhatnagar, Madhav Nagpal, Anamika Joshi, Mehak Tariq
{"title":"Congenital hemifacial hyperplasia-A diagnostic dilemma.","authors":"Aishwarya Bhatnagar, Madhav Nagpal, Anamika Joshi, Mehak Tariq","doi":"10.4103/njms.njms_171_22","DOIUrl":null,"url":null,"abstract":"<p><p>CHH is a rare developmental pathology and often presents a diagnostic dilemma to a clinician. It is characterized by marked unilateral overgrowth of hard and soft tissues of the face that is present since birth and advances with age, mostly till puberty. Though aetiology remains unknown, several factors could be considered including hormonal imbalances, diseases involving the neural system, vascular conditions, lymphatic abnormalities, mechanical influences and congenital syphilis. Hence, desired investigations should be done to rule out syndromes causing facial asymmetry. Since, management is considered when aesthetics are a prime concern, it should be planned only after growth cessation. We, hereby, present a case of 10-year-old male patient reported with chief complaint of asymmetry on left side of face from birth to supplement existing clinical knowledge.</p>","PeriodicalId":101444,"journal":{"name":"National journal of maxillofacial surgery","volume":"16 1","pages":"195-200"},"PeriodicalIF":0.0000,"publicationDate":"2025-01-01","publicationTypes":"Journal Article","fieldsOfStudy":null,"isOpenAccess":false,"openAccessPdf":"https://www.ncbi.nlm.nih.gov/pmc/articles/PMC12156859/pdf/","citationCount":"0","resultStr":null,"platform":"Semanticscholar","paperid":null,"PeriodicalName":"National journal of maxillofacial surgery","FirstCategoryId":"1085","ListUrlMain":"https://doi.org/10.4103/njms.njms_171_22","RegionNum":0,"RegionCategory":null,"ArticlePicture":[],"TitleCN":null,"AbstractTextCN":null,"PMCID":null,"EPubDate":"2025/4/28 0:00:00","PubModel":"Epub","JCR":"","JCRName":"","Score":null,"Total":0}
引用次数: 0

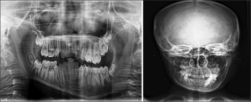
Abstract

CHH is a rare developmental pathology and often presents a diagnostic dilemma to a clinician. It is characterized by marked unilateral overgrowth of hard and soft tissues of the face that is present since birth and advances with age, mostly till puberty. Though aetiology remains unknown, several factors could be considered including hormonal imbalances, diseases involving the neural system, vascular conditions, lymphatic abnormalities, mechanical influences and congenital syphilis. Hence, desired investigations should be done to rule out syndromes causing facial asymmetry. Since, management is considered when aesthetics are a prime concern, it should be planned only after growth cessation. We, hereby, present a case of 10-year-old male patient reported with chief complaint of asymmetry on left side of face from birth to supplement existing clinical knowledge.

Abstract Image

Abstract Image

Abstract Image

先天性半面部增生-诊断困境。
CHH是一种罕见的发育病理学,经常给临床医生带来诊断困境。它的特征是面部硬组织和软组织的明显单侧过度生长,自出生以来就存在,并随着年龄的增长而发展,主要直到青春期。虽然病因尚不清楚,但可以考虑几个因素,包括荷尔蒙失衡、涉及神经系统的疾病、血管状况、淋巴异常、机械影响和先天性梅毒。因此,应进行必要的调查以排除引起面部不对称的综合征。因为,当美学是首要考虑的管理时,它应该在生长停止后才进行计划。我们在此报告一例10岁男性患者,主诉为出生时左侧面部不对称,以补充现有的临床知识。
本文章由计算机程序翻译,如有差异,请以英文原文为准。
求助全文
约1分钟内获得全文 求助全文
来源期刊
CiteScore
1.20
自引率
0.00%
发文量
0
×
引用
GB/T 7714-2015
复制
MLA
复制
APA
复制
导出至
BibTeX EndNote RefMan NoteFirst NoteExpress
×
提示
您的信息不完整,为了账户安全,请先补充。
现在去补充
×
提示
您因"违规操作"
具体请查看互助需知
我知道了
×
提示
确定
请完成安全验证×
copy
已复制链接
快去分享给好友吧!
我知道了
右上角分享
点击右上角分享
0
联系我们:info@booksci.cn Book学术提供免费学术资源搜索服务,方便国内外学者检索中英文文献。致力于提供最便捷和优质的服务体验。 Copyright © 2023 布克学术 All rights reserved.
京ICP备2023020795号-1
ghs 京公网安备 11010802042870号
Book学术文献互助
Book学术文献互助群
群 号:604180095
Book学术官方微信