A Fatal Case of Monkeypox-Associated Encephalitis in a Non-HIV-Infected Patient.

IF 2.7 Q4 Medicine
Critical care explorations Pub Date : 2025-06-11 eCollection Date: 2025-06-01 DOI:10.1097/CCE.0000000000001272
Cristina Lopez, Rafael Sanchez-Sanchez, Diana Corona, Ana Belen Perez, Francisco Bravo, Maria de Alba, Antonio Bracero, Cristina Cazorla, Ana Vázquez, Maria Paz Sánchez-Seco, Ana Negredo, Ulises Gómez-Pinedo, Luis Martinez-Martinez, Julian Torre-Cisneros, Carmen de la Fuente
{"title":"A Fatal Case of Monkeypox-Associated Encephalitis in a Non-HIV-Infected Patient.","authors":"Cristina Lopez, Rafael Sanchez-Sanchez, Diana Corona, Ana Belen Perez, Francisco Bravo, Maria de Alba, Antonio Bracero, Cristina Cazorla, Ana Vázquez, Maria Paz Sánchez-Seco, Ana Negredo, Ulises Gómez-Pinedo, Luis Martinez-Martinez, Julian Torre-Cisneros, Carmen de la Fuente","doi":"10.1097/CCE.0000000000001272","DOIUrl":null,"url":null,"abstract":"<p><strong>Background: </strong>Mpox, formerly known as monkeypox, is an infectious disease caused by the mpox virus. Systemic involvement is rare and mpox-associated meningoencephalitis is an uncommon clinical presentation. Because mpox-associated meningoencephalitis is characterized by nonspecific clinical and incidental imaging findings, the disease is difficult to diagnose.</p><p><strong>Case summary: </strong>We present a case of fatal mpox-associated meningoencephalitis with negative polymerase chain reaction in cerebrospinal fluid (CSF) diagnosed at autopsy. A young immunocompetent patient with no significant medical history initially presented with genital mpox infection. Within 48 hours, he showed neurologic involvement requiring orotracheal intubation. His condition deteriorated rapidly, progressing to cerebral edema and brain death consistent with meningoencephalitis. Despite negative testing for mpox virus in CSF, the diagnosis was confirmed posthumously by autopsy, where histological examination revealed the presence of mpox virus in brain tissue.</p><p><strong>Conclusions: </strong>Mpox-associated meningoencephalitis should be considered as a potential diagnosis even in the absence of the mpox virus genome in CSF.</p>","PeriodicalId":93957,"journal":{"name":"Critical care explorations","volume":"7 6","pages":"e1272"},"PeriodicalIF":2.7000,"publicationDate":"2025-06-11","publicationTypes":"Journal Article","fieldsOfStudy":null,"isOpenAccess":false,"openAccessPdf":"https://www.ncbi.nlm.nih.gov/pmc/articles/PMC12160730/pdf/","citationCount":"0","resultStr":null,"platform":"Semanticscholar","paperid":null,"PeriodicalName":"Critical care explorations","FirstCategoryId":"1085","ListUrlMain":"https://doi.org/10.1097/CCE.0000000000001272","RegionNum":0,"RegionCategory":null,"ArticlePicture":[],"TitleCN":null,"AbstractTextCN":null,"PMCID":null,"EPubDate":"2025/6/1 0:00:00","PubModel":"eCollection","JCR":"Q4","JCRName":"Medicine","Score":null,"Total":0}
引用次数: 0

Abstract

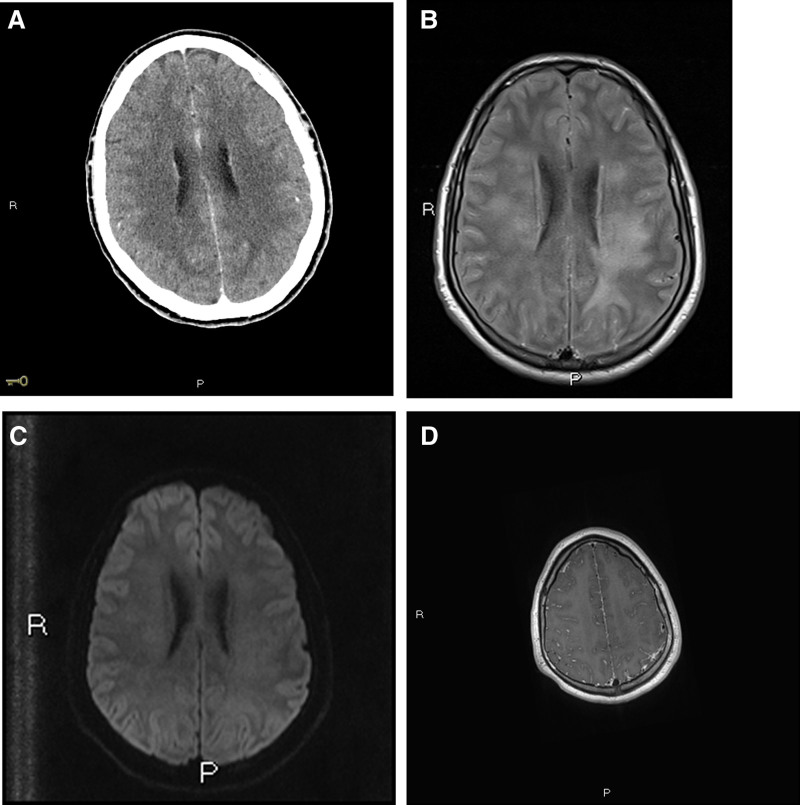
Background: Mpox, formerly known as monkeypox, is an infectious disease caused by the mpox virus. Systemic involvement is rare and mpox-associated meningoencephalitis is an uncommon clinical presentation. Because mpox-associated meningoencephalitis is characterized by nonspecific clinical and incidental imaging findings, the disease is difficult to diagnose.

Case summary: We present a case of fatal mpox-associated meningoencephalitis with negative polymerase chain reaction in cerebrospinal fluid (CSF) diagnosed at autopsy. A young immunocompetent patient with no significant medical history initially presented with genital mpox infection. Within 48 hours, he showed neurologic involvement requiring orotracheal intubation. His condition deteriorated rapidly, progressing to cerebral edema and brain death consistent with meningoencephalitis. Despite negative testing for mpox virus in CSF, the diagnosis was confirmed posthumously by autopsy, where histological examination revealed the presence of mpox virus in brain tissue.

Conclusions: Mpox-associated meningoencephalitis should be considered as a potential diagnosis even in the absence of the mpox virus genome in CSF.

Abstract Image

Abstract Image

非hiv感染患者猴痘相关脑炎致死1例
背景:痘,以前称为猴痘,是一种由痘病毒引起的传染病。全身受累是罕见的,而脑膜炎相关的脑膜脑炎是一种罕见的临床表现。由于脑膜炎相关脑膜脑炎的特点是非特异性的临床和偶然的影像学表现,这种疾病很难诊断。病例总结:我们报告了一例在尸检中诊断为脑脊液聚合酶链反应阴性的致命性脑膜炎相关脑膜脑炎病例。一个年轻的免疫功能正常的病人,没有明显的病史,最初表现为生殖器m痘感染。在48小时内,他表现出神经系统受累,需要气管插管。他的病情迅速恶化,进展为脑水肿和脑死亡,符合脑膜脑炎。尽管脑脊液中m痘病毒检测呈阴性,但死后尸检证实了诊断,组织学检查显示脑组织中存在m痘病毒。结论:即使脑脊液中没有m痘病毒基因组,m痘相关脑膜脑炎也应被视为一种潜在的诊断。
本文章由计算机程序翻译,如有差异,请以英文原文为准。
求助全文
约1分钟内获得全文 求助全文
来源期刊
CiteScore
5.70
自引率
0.00%
发文量
0
审稿时长
8 weeks
×
引用
GB/T 7714-2015
复制
MLA
复制
APA
复制
导出至
BibTeX EndNote RefMan NoteFirst NoteExpress
×
提示
您的信息不完整,为了账户安全,请先补充。
现在去补充
×
提示
您因"违规操作"
具体请查看互助需知
我知道了
×
提示
确定
请完成安全验证×
copy
已复制链接
快去分享给好友吧!
我知道了
右上角分享
点击右上角分享
0
联系我们:info@booksci.cn Book学术提供免费学术资源搜索服务,方便国内外学者检索中英文文献。致力于提供最便捷和优质的服务体验。 Copyright © 2023 布克学术 All rights reserved.
京ICP备2023020795号-1
ghs 京公网安备 11010802042870号
Book学术文献互助
Book学术文献互助群
群 号:604180095
Book学术官方微信