Progression of drug resistance or multiple primary lung cancer: a case report and literature review of a patient with mesenchymal-epithelial transition factor exon 14 skipping alterations lung adenocarcinoma.

IF 2.2 4区 医学 Q3 ONCOLOGY
Anti-Cancer Drugs Pub Date : 2025-10-01 Epub Date: 2025-06-12 DOI:10.1097/CAD.0000000000001747
Liang Gong, Lihang Zhou, Pan Yang, Fu Xiong, Xin Li, Chunlan Tang
{"title":"Progression of drug resistance or multiple primary lung cancer: a case report and literature review of a patient with mesenchymal-epithelial transition factor exon 14 skipping alterations lung adenocarcinoma.","authors":"Liang Gong, Lihang Zhou, Pan Yang, Fu Xiong, Xin Li, Chunlan Tang","doi":"10.1097/CAD.0000000000001747","DOIUrl":null,"url":null,"abstract":"<p><p>Mesenchymal-epithelial transition factor (MET) exon 14 skipping alterations are rare mutations in non-small-cell lung cancer, associated with high malignancy and poor prognosis. This article presents a case of a patient diagnosed with advanced left upper lung adenocarcinoma characterized by a MET14 skipping mutation. Following first-line treatment with crizotinib, there was a significant reduction in the size of the primary lesion; however, during the course of treatment, an increase in size and prominence of solid components were observed in the right upper lung lesion. A biopsy and subsequent genetic testing revealed an epidermal growth factor receptor L858R mutation in the right upper lung adenocarcinoma, indicating the presence of multiple primary lung cancers. The patient opted against surgical intervention and local treatments, choosing instead a combination therapy regimen that included almonertinib and crizotinib. This treatment approach led to a significant reduction in the size of the right upper lung lesion. The patient's condition has remained stable without any signs of progression, resulting in an overall survival duration exceeding 53 months.</p>","PeriodicalId":7969,"journal":{"name":"Anti-Cancer Drugs","volume":" ","pages":"759-763"},"PeriodicalIF":2.2000,"publicationDate":"2025-10-01","publicationTypes":"Journal Article","fieldsOfStudy":null,"isOpenAccess":false,"openAccessPdf":"https://www.ncbi.nlm.nih.gov/pmc/articles/PMC12424535/pdf/","citationCount":"0","resultStr":null,"platform":"Semanticscholar","paperid":null,"PeriodicalName":"Anti-Cancer Drugs","FirstCategoryId":"3","ListUrlMain":"https://doi.org/10.1097/CAD.0000000000001747","RegionNum":4,"RegionCategory":"医学","ArticlePicture":[],"TitleCN":null,"AbstractTextCN":null,"PMCID":null,"EPubDate":"2025/6/12 0:00:00","PubModel":"Epub","JCR":"Q3","JCRName":"ONCOLOGY","Score":null,"Total":0}
引用次数: 0

Abstract

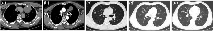
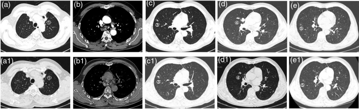
Mesenchymal-epithelial transition factor (MET) exon 14 skipping alterations are rare mutations in non-small-cell lung cancer, associated with high malignancy and poor prognosis. This article presents a case of a patient diagnosed with advanced left upper lung adenocarcinoma characterized by a MET14 skipping mutation. Following first-line treatment with crizotinib, there was a significant reduction in the size of the primary lesion; however, during the course of treatment, an increase in size and prominence of solid components were observed in the right upper lung lesion. A biopsy and subsequent genetic testing revealed an epidermal growth factor receptor L858R mutation in the right upper lung adenocarcinoma, indicating the presence of multiple primary lung cancers. The patient opted against surgical intervention and local treatments, choosing instead a combination therapy regimen that included almonertinib and crizotinib. This treatment approach led to a significant reduction in the size of the right upper lung lesion. The patient's condition has remained stable without any signs of progression, resulting in an overall survival duration exceeding 53 months.

Abstract Image

Abstract Image

耐药或多发性原发性肺癌的进展:一例间充质上皮转移因子外显子14跳变肺腺癌的病例报告和文献综述。
间充质上皮转化因子(MET)外显子14跳变在非小细胞肺癌中是罕见的突变,与高恶性和不良预后相关。这篇文章提出了一个病例的病人诊断为晚期左上肺腺癌的特点是一个MET14跳变。在用克唑替尼进行一线治疗后,原发病变的大小显著减小;然而,在治疗过程中,观察到右上肺病变中固体成分的大小增加和突出。活检和随后的基因检测显示右上肺腺癌中表皮生长因子受体L858R突变,表明存在多发性原发性肺癌。患者选择了手术干预和局部治疗,而是选择了包括阿莫尼替尼和克唑替尼在内的联合治疗方案。这种治疗方法显著减小了右上肺病变的大小。患者病情保持稳定,无任何进展迹象,总生存期超过53个月。
本文章由计算机程序翻译,如有差异,请以英文原文为准。
求助全文
约1分钟内获得全文 求助全文
来源期刊
Anti-Cancer Drugs
Anti-Cancer Drugs 医学-药学
CiteScore
3.80
自引率
0.00%
发文量
244
审稿时长
3 months
期刊介绍: Anti-Cancer Drugs reports both clinical and experimental results related to anti-cancer drugs, and welcomes contributions on anti-cancer drug design, drug delivery, pharmacology, hormonal and biological modalities and chemotherapy evaluation. An internationally refereed journal devoted to the fast publication of innovative investigations on therapeutic agents against cancer, Anti-Cancer Drugs aims to stimulate and report research on both toxic and non-toxic anti-cancer agents. Consequently, the scope on the journal will cover both conventional cytotoxic chemotherapy and hormonal or biological response modalities such as interleukins and immunotherapy. Submitted articles undergo a preliminary review by the editor. Some articles may be returned to authors without further consideration. Those being considered for publication will undergo further assessment and peer-review by the editors and those invited to do so from a reviewer pool.
×
引用
GB/T 7714-2015
复制
MLA
复制
APA
复制
导出至
BibTeX EndNote RefMan NoteFirst NoteExpress
×
提示
您的信息不完整,为了账户安全,请先补充。
现在去补充
×
提示
您因"违规操作"
具体请查看互助需知
我知道了
×
提示
确定
请完成安全验证×
copy
已复制链接
快去分享给好友吧!
我知道了
右上角分享
点击右上角分享
0
联系我们:info@booksci.cn Book学术提供免费学术资源搜索服务,方便国内外学者检索中英文文献。致力于提供最便捷和优质的服务体验。 Copyright © 2023 布克学术 All rights reserved.
京ICP备2023020795号-1
ghs 京公网安备 11010802042870号
Book学术文献互助
Book学术文献互助群
群 号:604180095
Book学术官方微信