Preoperative Planning for Cervical Pedicle Screw Placement: Identifying Key Morphological Parameters.

IF 1.2 Q3 SURGERY
Spine Surgery and Related Research Pub Date : 2024-12-20 eCollection Date: 2025-05-27 DOI:10.22603/ssrr.2024-0243
Yuya Okada, Hiroaki Nakashima, Sadayuki Ito, Naoki Segi, Jun Ouchida, Tetsuya Urasaki, Shiro Imagama
{"title":"Preoperative Planning for Cervical Pedicle Screw Placement: Identifying Key Morphological Parameters.","authors":"Yuya Okada, Hiroaki Nakashima, Sadayuki Ito, Naoki Segi, Jun Ouchida, Tetsuya Urasaki, Shiro Imagama","doi":"10.22603/ssrr.2024-0243","DOIUrl":null,"url":null,"abstract":"<p><strong>Introduction: </strong>Cervical pedicle screw (CPS) placement is crucial for posterior cervical fusion surgery due to its strong fixation ability. However, CPS insertion is associated with risks, including screw perforation, which can lead to complications such as vertebral artery injury and neurological deficits. Although previous studies have explored some morphological factors affecting CPS placement, comprehensive data on specific parameters contributing to perforation remains limited. This study aimed to investigate cervical vertebrae features associated with CPS perforation and established threshold values for improved preoperative planning.</p><p><strong>Methods: </strong>A retrospective analysis of 36 patients who underwent posterior cervical fusion surgery with CPS placement was conducted using preoperative computed tomography (CT)-based navigation. Cases with CPS insertion at C1 or C2 were excluded. The key morphological parameters-optimal screw trajectory angle, pedicle diameter, and distance from the entry point to the pedicle isthmus (DEP)-were measured on preoperative CT images. CPS placement accuracy was assessed postoperatively using Neo's classification. The receiver operating characteristic (ROC) curve analysis determined the cutoff values for predicting CPS perforation.</p><p><strong>Results: </strong>Among the 102 CPSs placed from C3 to C7, the overall perforation rate was 25.5%. C3 had the highest perforation rate (45.5%), whereas C7 had the lowest (3.1%). The vertebrae with CPS perforation exhibited a significantly larger optimal screw trajectory angle (45.5° vs. 38.0°, p<0.001), smaller pedicle diameter (4.2 mm vs. 5.2 mm, p<0.001), and longer DEP (13.2 mm vs. 11.9 mm, p=0.002). The ROC analysis identified the following cutoff values: 44.0° for the optimal angle, 4.35 mm for the pedicle diameter, and 12.7 mm for the DEP. These morphological parameters strongly predicted the risk of CPS perforation.</p><p><strong>Conclusions: </strong>Establishing key morphological thresholds enhances preoperative planning for CPS placement, improves accuracy and patient safety, and minimizes complications.</p>","PeriodicalId":22253,"journal":{"name":"Spine Surgery and Related Research","volume":"9 3","pages":"313-320"},"PeriodicalIF":1.2000,"publicationDate":"2024-12-20","publicationTypes":"Journal Article","fieldsOfStudy":null,"isOpenAccess":false,"openAccessPdf":"https://www.ncbi.nlm.nih.gov/pmc/articles/PMC12151281/pdf/","citationCount":"0","resultStr":null,"platform":"Semanticscholar","paperid":null,"PeriodicalName":"Spine Surgery and Related Research","FirstCategoryId":"1085","ListUrlMain":"https://doi.org/10.22603/ssrr.2024-0243","RegionNum":0,"RegionCategory":null,"ArticlePicture":[],"TitleCN":null,"AbstractTextCN":null,"PMCID":null,"EPubDate":"2025/5/27 0:00:00","PubModel":"eCollection","JCR":"Q3","JCRName":"SURGERY","Score":null,"Total":0}
引用次数: 0

Abstract

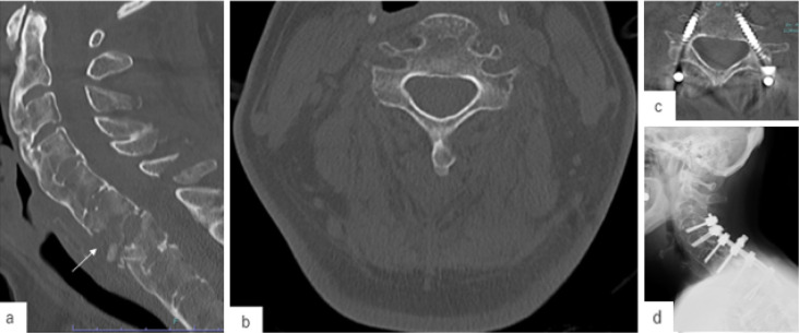
Introduction: Cervical pedicle screw (CPS) placement is crucial for posterior cervical fusion surgery due to its strong fixation ability. However, CPS insertion is associated with risks, including screw perforation, which can lead to complications such as vertebral artery injury and neurological deficits. Although previous studies have explored some morphological factors affecting CPS placement, comprehensive data on specific parameters contributing to perforation remains limited. This study aimed to investigate cervical vertebrae features associated with CPS perforation and established threshold values for improved preoperative planning.

Methods: A retrospective analysis of 36 patients who underwent posterior cervical fusion surgery with CPS placement was conducted using preoperative computed tomography (CT)-based navigation. Cases with CPS insertion at C1 or C2 were excluded. The key morphological parameters-optimal screw trajectory angle, pedicle diameter, and distance from the entry point to the pedicle isthmus (DEP)-were measured on preoperative CT images. CPS placement accuracy was assessed postoperatively using Neo's classification. The receiver operating characteristic (ROC) curve analysis determined the cutoff values for predicting CPS perforation.

Results: Among the 102 CPSs placed from C3 to C7, the overall perforation rate was 25.5%. C3 had the highest perforation rate (45.5%), whereas C7 had the lowest (3.1%). The vertebrae with CPS perforation exhibited a significantly larger optimal screw trajectory angle (45.5° vs. 38.0°, p<0.001), smaller pedicle diameter (4.2 mm vs. 5.2 mm, p<0.001), and longer DEP (13.2 mm vs. 11.9 mm, p=0.002). The ROC analysis identified the following cutoff values: 44.0° for the optimal angle, 4.35 mm for the pedicle diameter, and 12.7 mm for the DEP. These morphological parameters strongly predicted the risk of CPS perforation.

Conclusions: Establishing key morphological thresholds enhances preoperative planning for CPS placement, improves accuracy and patient safety, and minimizes complications.

Abstract Image

Abstract Image

Abstract Image

颈椎椎弓根螺钉置入的术前规划:识别关键形态学参数。
颈椎椎弓根螺钉(CPS)因其强大的固定能力而在颈椎后路融合手术中起着至关重要的作用。然而,CPS置入存在风险,包括螺钉穿孔,这可能导致椎动脉损伤和神经功能障碍等并发症。尽管之前的研究已经探讨了影响CPS放置的一些形态因素,但关于影响射孔的具体参数的综合数据仍然有限。本研究旨在探讨与CPS穿孔相关的颈椎特征,并为改进术前计划建立阈值。方法:回顾性分析36例接受后路颈椎融合手术并放置CPS的患者,术前采用计算机断层扫描(CT)导航。排除在C1或C2插入CPS的病例。在术前CT图像上测量关键形态学参数——最佳螺钉轨迹角、椎弓根直径和从入钉点到椎弓根峡的距离(DEP)。术后采用Neo分类法评估CPS放置准确性。受试者工作特征(ROC)曲线分析确定了预测CPS射孔的截止值。结果:在C3 ~ C7位置放置的102颗cps中,总穿孔率为25.5%。C3的穿孔率最高(45.5%),C7最低(3.1%)。有CPS穿孔的椎骨显示出更大的最佳螺钉轨迹角(45.5°vs 38.0°)。结论:建立关键形态学阈值可以增强CPS放置的术前规划,提高准确性和患者安全性,并最大限度地减少并发症。
本文章由计算机程序翻译,如有差异,请以英文原文为准。
求助全文
约1分钟内获得全文 求助全文
来源期刊
CiteScore
1.80
自引率
0.00%
发文量
71
审稿时长
15 weeks
×
引用
GB/T 7714-2015
复制
MLA
复制
APA
复制
导出至
BibTeX EndNote RefMan NoteFirst NoteExpress
×
提示
您的信息不完整,为了账户安全,请先补充。
现在去补充
×
提示
您因"违规操作"
具体请查看互助需知
我知道了
×
提示
确定
请完成安全验证×
copy
已复制链接
快去分享给好友吧!
我知道了
右上角分享
点击右上角分享
0
联系我们:info@booksci.cn Book学术提供免费学术资源搜索服务,方便国内外学者检索中英文文献。致力于提供最便捷和优质的服务体验。 Copyright © 2023 布克学术 All rights reserved.
京ICP备2023020795号-1
ghs 京公网安备 11010802042870号
Book学术文献互助
Book学术文献互助群
群 号:604180095
Book学术官方微信