Ruxolitinib Is an Effective Therapy for Ciltacabtagene Autoleucel-Associated Parkinsonism in Multiple Myeloma.

IF 1.3 Q4 HEMATOLOGY
Journal of hematology Pub Date : 2025-06-01 Epub Date: 2025-04-22 DOI:10.14740/jh2046
Baldeep Wirk, Jin Lim
{"title":"Ruxolitinib Is an Effective Therapy for Ciltacabtagene Autoleucel-Associated Parkinsonism in Multiple Myeloma.","authors":"Baldeep Wirk, Jin Lim","doi":"10.14740/jh2046","DOIUrl":null,"url":null,"abstract":"<p><p>After ciltacabtagene autoleucel (cilta-cel) in multiple myeloma, 5% of patients can develop parkinsonism, with a high fatality rate. The pathogenesis and optimal therapy of parkinsonism from B-cell maturation antigen chimeric antigen receptor T-cell (CAR T-cell) therapy are unknown. Parkinson's disease occurs from the loss of dopaminergic neurons in the substantia nigra. However, in cilta-cel-associated parkinsonism, dopamine transporter imaging is normal, rendering traditional agents such as carbidopa/levodopa ineffective. Thus, the pathogenesis of cilta-cel-associated parkinsonism and Parkinson's disease is distinct. As CAR T-cell therapy for multiple myeloma is expanding and moving to earlier lines, the need to optimize therapy for parkinsonism, a potentially life-threatening complication, becomes more urgent. This report presents the first documented cases of two patients with immune effector cell-associated hemophagocytic lymphohistiocytosis-like syndrome and cilta-cel-associated parkinsonism, effectively treated with ruxolitinib.</p>","PeriodicalId":15964,"journal":{"name":"Journal of hematology","volume":"14 3","pages":"146-151"},"PeriodicalIF":1.3000,"publicationDate":"2025-06-01","publicationTypes":"Journal Article","fieldsOfStudy":null,"isOpenAccess":false,"openAccessPdf":"https://www.ncbi.nlm.nih.gov/pmc/articles/PMC12151127/pdf/","citationCount":"0","resultStr":null,"platform":"Semanticscholar","paperid":null,"PeriodicalName":"Journal of hematology","FirstCategoryId":"1085","ListUrlMain":"https://doi.org/10.14740/jh2046","RegionNum":0,"RegionCategory":null,"ArticlePicture":[],"TitleCN":null,"AbstractTextCN":null,"PMCID":null,"EPubDate":"2025/4/22 0:00:00","PubModel":"Epub","JCR":"Q4","JCRName":"HEMATOLOGY","Score":null,"Total":0}
引用次数: 0

Abstract

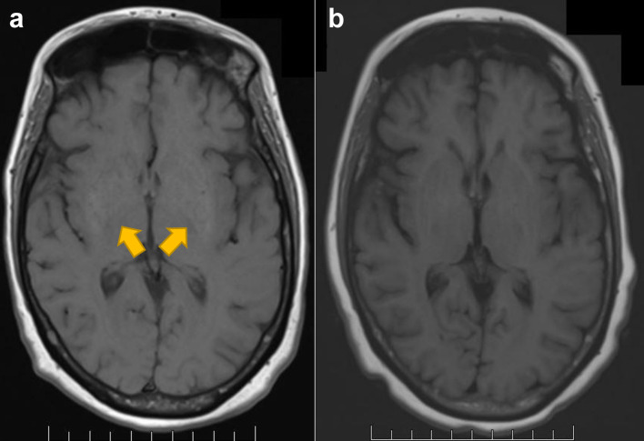
After ciltacabtagene autoleucel (cilta-cel) in multiple myeloma, 5% of patients can develop parkinsonism, with a high fatality rate. The pathogenesis and optimal therapy of parkinsonism from B-cell maturation antigen chimeric antigen receptor T-cell (CAR T-cell) therapy are unknown. Parkinson's disease occurs from the loss of dopaminergic neurons in the substantia nigra. However, in cilta-cel-associated parkinsonism, dopamine transporter imaging is normal, rendering traditional agents such as carbidopa/levodopa ineffective. Thus, the pathogenesis of cilta-cel-associated parkinsonism and Parkinson's disease is distinct. As CAR T-cell therapy for multiple myeloma is expanding and moving to earlier lines, the need to optimize therapy for parkinsonism, a potentially life-threatening complication, becomes more urgent. This report presents the first documented cases of two patients with immune effector cell-associated hemophagocytic lymphohistiocytosis-like syndrome and cilta-cel-associated parkinsonism, effectively treated with ruxolitinib.

Abstract Image

Abstract Image

鲁索利替尼是一种有效的治疗多发性骨髓瘤患者西他卡他基自体糖相关性帕金森病的药物。
在多发性骨髓瘤中使用cilta- cell治疗后,5%的患者可发展为帕金森病,死亡率高。b细胞成熟抗原嵌合抗原受体t细胞(CAR - t细胞)治疗帕金森病的发病机制和最佳治疗方法尚不清楚。帕金森氏症是由黑质多巴胺能神经元的丧失引起的。然而,在cilta-细胞相关性帕金森症中,多巴胺转运蛋白成像正常,使得卡比多巴/左旋多巴等传统药物无效。因此,纤毛细胞相关性帕金森病和帕金森病的发病机制是不同的。随着CAR -t细胞治疗多发性骨髓瘤的范围扩大并向早期发展,优化帕金森病(一种潜在的危及生命的并发症)治疗的需求变得更加迫切。本报告首次报道了两例免疫效应细胞相关的噬血细胞淋巴组织细胞病样综合征和ciltas - cell相关性帕金森病患者,ruxolitinib有效治疗。
本文章由计算机程序翻译,如有差异,请以英文原文为准。
求助全文
约1分钟内获得全文 求助全文
来源期刊
Journal of hematology
Journal of hematology HEMATOLOGY-
自引率
0.00%
发文量
29
×
引用
GB/T 7714-2015
复制
MLA
复制
APA
复制
导出至
BibTeX EndNote RefMan NoteFirst NoteExpress
×
提示
您的信息不完整,为了账户安全,请先补充。
现在去补充
×
提示
您因"违规操作"
具体请查看互助需知
我知道了
×
提示
确定
请完成安全验证×
copy
已复制链接
快去分享给好友吧!
我知道了
右上角分享
点击右上角分享
0
联系我们:info@booksci.cn Book学术提供免费学术资源搜索服务,方便国内外学者检索中英文文献。致力于提供最便捷和优质的服务体验。 Copyright © 2023 布克学术 All rights reserved.
京ICP备2023020795号-1
ghs 京公网安备 11010802042870号
Book学术文献互助
Book学术文献互助群
群 号:604180095
Book学术官方微信