Hairy Cell Leukemia With Splenic Rupture: Hematological Changes and Disappearance of Hairy Morphology After Splenectomy.

IF 1.3 Q4 HEMATOLOGY
Journal of hematology Pub Date : 2025-06-01 Epub Date: 2025-04-16 DOI:10.14740/jh2045
Stanley Kim, Anna Mikami, William Stull
{"title":"Hairy Cell Leukemia With Splenic Rupture: Hematological Changes and Disappearance of Hairy Morphology After Splenectomy.","authors":"Stanley Kim, Anna Mikami, William Stull","doi":"10.14740/jh2045","DOIUrl":null,"url":null,"abstract":"<p><p>We present the case of a 64-year-old man who suffered a splenic rupture following a fall. A peripheral blood smear showed mononuclear cells with \"hairy\" cytoplasmic projections. A computed tomography (CT) angiogram revealed splenomegaly with a hematoma and active contrast extravasation. He underwent coil embolization of the splenic artery but subsequently developed worsening abdominal pain and ileus, requiring a splenectomy. Pathological examination of the spleen showed extensive infiltration by hairy cell leukemia (HCL). Bone marrow biopsy revealed hypercellular marrow predominantly infiltrated by HCL cells positive for CD20, CD103, and the <i>BRAF</i> V600E mutation. After the splenectomy, pancytopenia gradually improved. The symptoms of the patient, such as fatigue, weight loss, and night sweats, were also resolved. Circulating HCL cells were significantly reduced, and the \"hairy\" morphology became smoother. To our knowledge, this morphologic change of the hairy cells after splenectomy has not been reported in the past. Its mechanism is not known. We postulate that splenectomy may induce molecular or immunological changes that alter HCL cell behavior, which warrants further research.</p>","PeriodicalId":15964,"journal":{"name":"Journal of hematology","volume":"14 3","pages":"139-145"},"PeriodicalIF":1.3000,"publicationDate":"2025-06-01","publicationTypes":"Journal Article","fieldsOfStudy":null,"isOpenAccess":false,"openAccessPdf":"https://www.ncbi.nlm.nih.gov/pmc/articles/PMC12151096/pdf/","citationCount":"0","resultStr":null,"platform":"Semanticscholar","paperid":null,"PeriodicalName":"Journal of hematology","FirstCategoryId":"1085","ListUrlMain":"https://doi.org/10.14740/jh2045","RegionNum":0,"RegionCategory":null,"ArticlePicture":[],"TitleCN":null,"AbstractTextCN":null,"PMCID":null,"EPubDate":"2025/4/16 0:00:00","PubModel":"Epub","JCR":"Q4","JCRName":"HEMATOLOGY","Score":null,"Total":0}
引用次数: 0

Abstract

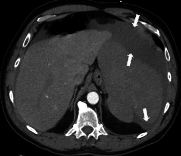
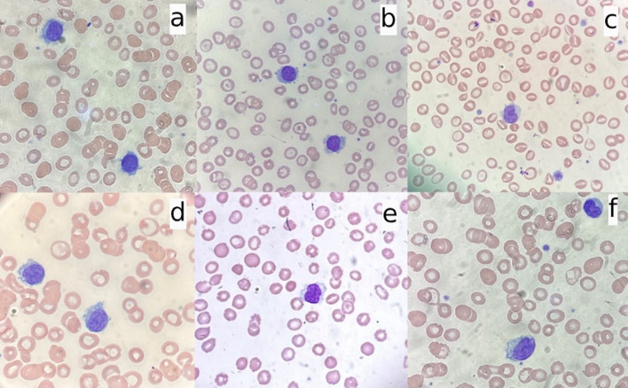
We present the case of a 64-year-old man who suffered a splenic rupture following a fall. A peripheral blood smear showed mononuclear cells with "hairy" cytoplasmic projections. A computed tomography (CT) angiogram revealed splenomegaly with a hematoma and active contrast extravasation. He underwent coil embolization of the splenic artery but subsequently developed worsening abdominal pain and ileus, requiring a splenectomy. Pathological examination of the spleen showed extensive infiltration by hairy cell leukemia (HCL). Bone marrow biopsy revealed hypercellular marrow predominantly infiltrated by HCL cells positive for CD20, CD103, and the BRAF V600E mutation. After the splenectomy, pancytopenia gradually improved. The symptoms of the patient, such as fatigue, weight loss, and night sweats, were also resolved. Circulating HCL cells were significantly reduced, and the "hairy" morphology became smoother. To our knowledge, this morphologic change of the hairy cells after splenectomy has not been reported in the past. Its mechanism is not known. We postulate that splenectomy may induce molecular or immunological changes that alter HCL cell behavior, which warrants further research.

Abstract Image

Abstract Image

Abstract Image

毛细胞白血病伴脾破裂:脾切除术后血液学改变及毛状形态消失。
我们提出的情况下,64岁的男子遭受脾破裂后跌倒。外周血涂片示单个核细胞有“毛状”细胞质突出。CT血管造影显示脾肿大伴血肿及造影剂外溢。他接受了脾动脉线圈栓塞术,但随后腹痛和肠梗阻恶化,需要脾切除术。脾脏病理检查显示毛细胞白血病(HCL)广泛浸润。骨髓活检显示,高细胞骨髓主要被CD20、CD103和BRAF V600E突变阳性的HCL细胞浸润。脾切除术后,全血细胞减少症逐渐好转。患者的疲劳、体重减轻、盗汗等症状也得到缓解。循环HCL细胞明显减少,“毛状”形态变光滑。据我们所知,这种毛细胞在脾切除术后的形态学改变在过去没有报道过。其机制尚不清楚。我们假设脾切除术可能诱导改变HCL细胞行为的分子或免疫变化,这需要进一步的研究。
本文章由计算机程序翻译,如有差异,请以英文原文为准。
求助全文
约1分钟内获得全文 求助全文
来源期刊
Journal of hematology
Journal of hematology HEMATOLOGY-
自引率
0.00%
发文量
29
×
引用
GB/T 7714-2015
复制
MLA
复制
APA
复制
导出至
BibTeX EndNote RefMan NoteFirst NoteExpress
×
提示
您的信息不完整,为了账户安全,请先补充。
现在去补充
×
提示
您因"违规操作"
具体请查看互助需知
我知道了
×
提示
确定
请完成安全验证×
copy
已复制链接
快去分享给好友吧!
我知道了
右上角分享
点击右上角分享
0
联系我们:info@booksci.cn Book学术提供免费学术资源搜索服务,方便国内外学者检索中英文文献。致力于提供最便捷和优质的服务体验。 Copyright © 2023 布克学术 All rights reserved.
京ICP备2023020795号-1
ghs 京公网安备 11010802042870号
Book学术文献互助
Book学术文献互助群
群 号:604180095
Book学术官方微信