Veno-Venous ECMO Support in the Management of a Jehovah's Witness with Severe COVID-19: A Case Report and Literature Review.

Q3 Medicine
European journal of case reports in internal medicine Pub Date : 2025-05-21 eCollection Date: 2025-01-01 DOI:10.12890/2025_005493
Mohamed Qandil, Rabee Tawel, Ans Alamami, Hani Jaouni, Ibrahim Fawzy Hassan, Ayman El-Menyar, Ahmed Labib Shehatta
{"title":"Veno-Venous ECMO Support in the Management of a Jehovah's Witness with Severe COVID-19: A Case Report and Literature Review.","authors":"Mohamed Qandil, Rabee Tawel, Ans Alamami, Hani Jaouni, Ibrahim Fawzy Hassan, Ayman El-Menyar, Ahmed Labib Shehatta","doi":"10.12890/2025_005493","DOIUrl":null,"url":null,"abstract":"<p><strong>Background: </strong>Severe coronavirus disease 2019 (COVID-19) infection can lead to severe acute respiratory syndrome for which extracorporeal membrane oxygenation (ECMO) could be used in selected cases. Most Jehovah's witnesses (JWs) do not accept transfusion of blood and/or blood products. The use of ECMO for the management of JWs during the pandemic was challenging.</p><p><strong>Case report: </strong>We present a case of a JW with severe COVID-19 infection and multiple organ failure necessitating ECMO support for 20 days. We discuss the management challenges in patients who do not accept blood transfusions. A significant drop in the patient's haemoglobin and platelet count was observed throughout ECMO duration. An anti-coagulation-free ECMO circuit was maintained, and we did not observe any major circuit or patient complications.</p><p><strong>Conclusion: </strong>Management strategies to minimize blood loss, avoid bleeding, augment haemoglobin production, maintain ECMO circuit integrity without systemic anticoagulation, and reduce blood loss during ECMO decannulation are helpful in the management of JW followers on ECMO. We recommend treatment in such a situation at experienced centres with the involvement of a haematologist within an interprofessional team.</p><p><strong>Learning points: </strong>Management of patients who are Jehovah's witnesses, who do not accept blood transfusion is challenging.Conservative transfusion strategies are feasible on selected patients supported by extracorporeal membrane oxygenation.Transfusion thresholds should be dynamic and reviewed daily.Mitigation of blood loss, rationalization of blood tests, and anticoagulation help reduce the need for transfusion.Transfusion targets and guidelines need revision, and it is best to adopt patient-specific targets tailored to each patient's needs.</p>","PeriodicalId":11908,"journal":{"name":"European journal of case reports in internal medicine","volume":"12 6","pages":"005493"},"PeriodicalIF":0.0000,"publicationDate":"2025-05-21","publicationTypes":"Journal Article","fieldsOfStudy":null,"isOpenAccess":false,"openAccessPdf":"https://www.ncbi.nlm.nih.gov/pmc/articles/PMC12151565/pdf/","citationCount":"0","resultStr":null,"platform":"Semanticscholar","paperid":null,"PeriodicalName":"European journal of case reports in internal medicine","FirstCategoryId":"1085","ListUrlMain":"https://doi.org/10.12890/2025_005493","RegionNum":0,"RegionCategory":null,"ArticlePicture":[],"TitleCN":null,"AbstractTextCN":null,"PMCID":null,"EPubDate":"2025/1/1 0:00:00","PubModel":"eCollection","JCR":"Q3","JCRName":"Medicine","Score":null,"Total":0}
引用次数: 0

Abstract

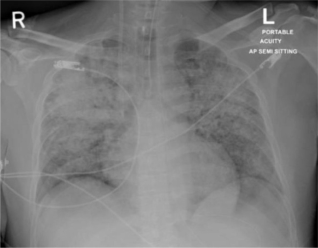
Background: Severe coronavirus disease 2019 (COVID-19) infection can lead to severe acute respiratory syndrome for which extracorporeal membrane oxygenation (ECMO) could be used in selected cases. Most Jehovah's witnesses (JWs) do not accept transfusion of blood and/or blood products. The use of ECMO for the management of JWs during the pandemic was challenging.

Case report: We present a case of a JW with severe COVID-19 infection and multiple organ failure necessitating ECMO support for 20 days. We discuss the management challenges in patients who do not accept blood transfusions. A significant drop in the patient's haemoglobin and platelet count was observed throughout ECMO duration. An anti-coagulation-free ECMO circuit was maintained, and we did not observe any major circuit or patient complications.

Conclusion: Management strategies to minimize blood loss, avoid bleeding, augment haemoglobin production, maintain ECMO circuit integrity without systemic anticoagulation, and reduce blood loss during ECMO decannulation are helpful in the management of JW followers on ECMO. We recommend treatment in such a situation at experienced centres with the involvement of a haematologist within an interprofessional team.

Learning points: Management of patients who are Jehovah's witnesses, who do not accept blood transfusion is challenging.Conservative transfusion strategies are feasible on selected patients supported by extracorporeal membrane oxygenation.Transfusion thresholds should be dynamic and reviewed daily.Mitigation of blood loss, rationalization of blood tests, and anticoagulation help reduce the need for transfusion.Transfusion targets and guidelines need revision, and it is best to adopt patient-specific targets tailored to each patient's needs.

Abstract Image

Abstract Image

Abstract Image

背景:2019年严重冠状病毒病(COVID-19)感染可导致严重急性呼吸综合征,在特定病例中可采用体外膜氧合(ECMO)治疗。​大流行期间使用体外膜肺对jw进行管理具有挑战性。病例报告:我们报告了一例JW严重感染COVID-19并多器官衰竭,需要ECMO支持20天。我们讨论了不接受输血患者的管理挑战。在整个ECMO期间观察到患者血红蛋白和血小板计数的显著下降。维持无抗凝血ECMO回路,我们未观察到任何主要回路或患者并发症。结论:减少失血、避免出血、增加血红蛋白生成、在不进行全身抗凝的情况下维持ECMO回路完整性、减少ECMO脱管过程中的失血等管理策略有助于JW跟随者的ECMO管理。在这种情况下,我们建议在有经验的中心进行治疗,并在一个跨专业团队中有血液病学家的参与。​在体外膜氧合支持下,保守输血策略是可行的。输血阈值应该是动态的,每天都要检查。减少失血、使血液检查合理化和抗凝有助于减少输血的需要。输血目标和指南需要修订,最好采用针对每位患者需求的患者特异性目标。
本文章由计算机程序翻译,如有差异,请以英文原文为准。
求助全文
约1分钟内获得全文 求助全文
来源期刊
CiteScore
2.10
自引率
0.00%
发文量
166
审稿时长
8 weeks
期刊介绍: The European Journal of Case Reports in Internal Medicine is an official journal of the European Federation of Internal Medicine (EFIM), representing 35 national societies from 33 European countries. The Journal''s mission is to promote the best medical practice and innovation in the field of acute and general medicine. It also provides a forum for internal medicine doctors where they can share new approaches with the aim of improving diagnostic and clinical skills in this field. EJCRIM welcomes high-quality case reports describing unusual or complex cases that an internist may encounter in everyday practice. The cases should either demonstrate the appropriateness of a diagnostic/therapeutic approach, describe a new procedure or maneuver, or show unusual manifestations of a disease or unexpected reactions. The Journal only accepts and publishes those case reports whose learning points provide new insight and/or contribute to advancing medical knowledge both in terms of diagnostics and therapeutic approaches. Case reports of medical errors, therefore, are also welcome as long as they provide innovative measures on how to prevent them in the current practice (Instructive Errors). The Journal may also consider brief and reasoned reports on issues relevant to the practice of Internal Medicine, as well as Abstracts submitted to the scientific meetings of acknowledged medical societies.
×
引用
GB/T 7714-2015
复制
MLA
复制
APA
复制
导出至
BibTeX EndNote RefMan NoteFirst NoteExpress
×
提示
您的信息不完整,为了账户安全,请先补充。
现在去补充
×
提示
您因"违规操作"
具体请查看互助需知
我知道了
×
提示
确定
请完成安全验证×
copy
已复制链接
快去分享给好友吧!
我知道了
右上角分享
点击右上角分享
0
联系我们:info@booksci.cn Book学术提供免费学术资源搜索服务,方便国内外学者检索中英文文献。致力于提供最便捷和优质的服务体验。 Copyright © 2023 布克学术 All rights reserved.
京ICP备2023020795号-1
ghs 京公网安备 11010802042870号
Book学术文献互助
Book学术文献互助群
群 号:604180095
Book学术官方微信