The Azygos Vein as an Alternative Route for Haemodialysis Catheterisation.

Q3 Medicine
European journal of case reports in internal medicine Pub Date : 2025-05-20 eCollection Date: 2025-01-01 DOI:10.12890/2025_005441
Vladimir Pushevski, Filip Janusevski, Zoran Janevski, Petar Dejanov
{"title":"The Azygos Vein as an Alternative Route for Haemodialysis Catheterisation.","authors":"Vladimir Pushevski, Filip Janusevski, Zoran Janevski, Petar Dejanov","doi":"10.12890/2025_005441","DOIUrl":null,"url":null,"abstract":"<p><strong>Introduction: </strong>Central venous catheterisation (CVC) is essential for haemodialysis in end-stage kidney disease, but superior vena cava (SVC) stenosis or occlusion often complicates long-term access. The azygos vein, a collateral drainage pathway, has been rarely used intentionally for catheterisation.</p><p><strong>Case description: </strong>We report on a 68-year-old male on haemodialysis with SVC perforation and stenosis due to prolonged catheter use. After a failed guidewire-assisted exchange, a non-tunnelled CVC was successfully placed in the enlarged azygos vein under fluoroscopy. The patient continued haemodialysis without complications, and the two-month follow-up confirmed catheter patency.</p><p><strong>Conclusion: </strong>This case demonstrates the azygos vein as a viable alternative for haemodialysis access in SVC stenosis.</p><p><strong>Learning points: </strong>Complications related to vascular access creation remain one of the main reasons for morbidity and mortality in patients on chronic haemodialysis.Prevalence of the stenosis of the superior vena cava is increasing among dialysis-dependent patients, so new pathway such as the azygos vein presents potentially viable alternative for vascular access.</p>","PeriodicalId":11908,"journal":{"name":"European journal of case reports in internal medicine","volume":"12 6","pages":"005441"},"PeriodicalIF":0.0000,"publicationDate":"2025-05-20","publicationTypes":"Journal Article","fieldsOfStudy":null,"isOpenAccess":false,"openAccessPdf":"https://www.ncbi.nlm.nih.gov/pmc/articles/PMC12151558/pdf/","citationCount":"0","resultStr":null,"platform":"Semanticscholar","paperid":null,"PeriodicalName":"European journal of case reports in internal medicine","FirstCategoryId":"1085","ListUrlMain":"https://doi.org/10.12890/2025_005441","RegionNum":0,"RegionCategory":null,"ArticlePicture":[],"TitleCN":null,"AbstractTextCN":null,"PMCID":null,"EPubDate":"2025/1/1 0:00:00","PubModel":"eCollection","JCR":"Q3","JCRName":"Medicine","Score":null,"Total":0}
引用次数: 0

Abstract

Introduction: Central venous catheterisation (CVC) is essential for haemodialysis in end-stage kidney disease, but superior vena cava (SVC) stenosis or occlusion often complicates long-term access. The azygos vein, a collateral drainage pathway, has been rarely used intentionally for catheterisation.

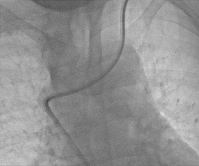
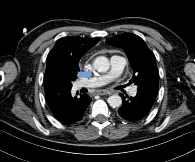
Case description: We report on a 68-year-old male on haemodialysis with SVC perforation and stenosis due to prolonged catheter use. After a failed guidewire-assisted exchange, a non-tunnelled CVC was successfully placed in the enlarged azygos vein under fluoroscopy. The patient continued haemodialysis without complications, and the two-month follow-up confirmed catheter patency.

Conclusion: This case demonstrates the azygos vein as a viable alternative for haemodialysis access in SVC stenosis.

Learning points: Complications related to vascular access creation remain one of the main reasons for morbidity and mortality in patients on chronic haemodialysis.Prevalence of the stenosis of the superior vena cava is increasing among dialysis-dependent patients, so new pathway such as the azygos vein presents potentially viable alternative for vascular access.

Abstract Image

Abstract Image

奇静脉作为血液透析导管的替代途径。
中心静脉置管(CVC)对于终末期肾脏疾病的血液透析是必不可少的,但上腔静脉(SVC)狭窄或闭塞往往使长期进入复杂化。奇静脉作为侧支引流通道,很少被有意用于置管。病例描述:我们报告了一位68岁的男性血液透析患者,由于长期使用导管导致SVC穿孔和狭窄。在导丝辅助交换失败后,在透视下成功地将非隧道CVC放置在扩大的奇静脉中。患者继续血液透析,无并发症,2个月随访证实导管通畅。结论:本病例证明奇静脉是SVC狭窄患者血液透析通路的可行选择。学习要点:与血管通路建立相关的并发症仍然是慢性血液透析患者发病率和死亡率的主要原因之一。在依赖透析的患者中,上腔静脉狭窄的患病率正在增加,因此新的途径,如奇静脉,为血管通路提供了潜在的可行选择。
本文章由计算机程序翻译,如有差异,请以英文原文为准。
求助全文
约1分钟内获得全文 求助全文
来源期刊
CiteScore
2.10
自引率
0.00%
发文量
166
审稿时长
8 weeks
期刊介绍: The European Journal of Case Reports in Internal Medicine is an official journal of the European Federation of Internal Medicine (EFIM), representing 35 national societies from 33 European countries. The Journal''s mission is to promote the best medical practice and innovation in the field of acute and general medicine. It also provides a forum for internal medicine doctors where they can share new approaches with the aim of improving diagnostic and clinical skills in this field. EJCRIM welcomes high-quality case reports describing unusual or complex cases that an internist may encounter in everyday practice. The cases should either demonstrate the appropriateness of a diagnostic/therapeutic approach, describe a new procedure or maneuver, or show unusual manifestations of a disease or unexpected reactions. The Journal only accepts and publishes those case reports whose learning points provide new insight and/or contribute to advancing medical knowledge both in terms of diagnostics and therapeutic approaches. Case reports of medical errors, therefore, are also welcome as long as they provide innovative measures on how to prevent them in the current practice (Instructive Errors). The Journal may also consider brief and reasoned reports on issues relevant to the practice of Internal Medicine, as well as Abstracts submitted to the scientific meetings of acknowledged medical societies.
×
引用
GB/T 7714-2015
复制
MLA
复制
APA
复制
导出至
BibTeX EndNote RefMan NoteFirst NoteExpress
×
提示
您的信息不完整,为了账户安全,请先补充。
现在去补充
×
提示
您因"违规操作"
具体请查看互助需知
我知道了
×
提示
确定
请完成安全验证×
copy
已复制链接
快去分享给好友吧!
我知道了
右上角分享
点击右上角分享
0
联系我们:info@booksci.cn Book学术提供免费学术资源搜索服务,方便国内外学者检索中英文文献。致力于提供最便捷和优质的服务体验。 Copyright © 2023 布克学术 All rights reserved.
京ICP备2023020795号-1
ghs 京公网安备 11010802042870号
Book学术文献互助
Book学术文献互助群
群 号:604180095
Book学术官方微信