Acute Pericarditis in an Adult with Cystic Fibrosis: A Case Report and Literature Review.

Q3 Medicine
European journal of case reports in internal medicine Pub Date : 2025-05-13 eCollection Date: 2025-01-01 DOI:10.12890/2025_005373
Amer Abu-Shanab, Muhammad Tayyeb, Muhammad Saad Anwar, David Angelo Aquino, Pierre Amog, Abdalhakim Shubietah, Doantrang Du
{"title":"Acute Pericarditis in an Adult with Cystic Fibrosis: A Case Report and Literature Review.","authors":"Amer Abu-Shanab, Muhammad Tayyeb, Muhammad Saad Anwar, David Angelo Aquino, Pierre Amog, Abdalhakim Shubietah, Doantrang Du","doi":"10.12890/2025_005373","DOIUrl":null,"url":null,"abstract":"<p><strong>Introduction: </strong>Cystic fibrosis, an autosomal recessive disorder (1 in 3,000-6,000 births), causes thick mucus and recurrent lung infections. Improved survival has revealed rare complications such as constrictive pericarditis and cardiac tamponade.</p><p><strong>Case description: </strong>A 24-year-old female with cystic fibrosis, diagnosed at nine months, presented with two weeks of dyspnoea. Examination revealed bilateral rhonchi, facial oedema and non-pitting thigh oedema. Laboratory results showed a white blood cell count of 11.3 ×10<sup>9</sup>/l, erythrocyte sedimentation rate of 99 mm/hr and C-reactive protein level of 45.3 mg/dl. Initially admitted for cystic fibrosis exacerbation, she was found to have pericardial effusion. Despite facial and lower extremity swelling, she denied cardiac symptoms. During hospitalisation, she developed haemodynamic instability requiring pericardiocentesis, with echocardiography confirming constrictive pericarditis. Chest computed tomography angiography showed pericardial calcifications; autoimmune workup was negative. She was discharged on colchicine with close follow-up.</p><p><strong>Conclusion: </strong>Clinicians should have a high index of suspicion for underlying cardiac complications in patients presenting with exacerbations of cystic fibrosis.</p><p><strong>Learning points: </strong>Pericardial disease - including constrictive pericarditis and tamponade - though rare, can complicate cystic fibrosis in adults and may mimic pulmonary exacerbations. Early cardiac imaging is crucial for timely diagnosis.This case highlights the need for a high index of suspicion in cystic fibrosis patients with unexplained dyspnoea, oedema or haemodynamic instability, especially in the setting of pericardial calcifications.Medical management with colchicine and diuretics can be effective in selected cystic fibrosis patients with constrictive physiology, potentially avoiding the need for invasive pericardiectomy.</p>","PeriodicalId":11908,"journal":{"name":"European journal of case reports in internal medicine","volume":"12 6","pages":"005373"},"PeriodicalIF":0.0000,"publicationDate":"2025-05-13","publicationTypes":"Journal Article","fieldsOfStudy":null,"isOpenAccess":false,"openAccessPdf":"https://www.ncbi.nlm.nih.gov/pmc/articles/PMC12151577/pdf/","citationCount":"0","resultStr":null,"platform":"Semanticscholar","paperid":null,"PeriodicalName":"European journal of case reports in internal medicine","FirstCategoryId":"1085","ListUrlMain":"https://doi.org/10.12890/2025_005373","RegionNum":0,"RegionCategory":null,"ArticlePicture":[],"TitleCN":null,"AbstractTextCN":null,"PMCID":null,"EPubDate":"2025/1/1 0:00:00","PubModel":"eCollection","JCR":"Q3","JCRName":"Medicine","Score":null,"Total":0}
引用次数: 0

Abstract

Introduction: Cystic fibrosis, an autosomal recessive disorder (1 in 3,000-6,000 births), causes thick mucus and recurrent lung infections. Improved survival has revealed rare complications such as constrictive pericarditis and cardiac tamponade.

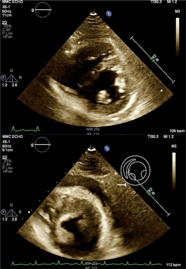
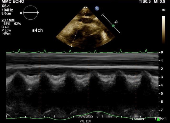
Case description: A 24-year-old female with cystic fibrosis, diagnosed at nine months, presented with two weeks of dyspnoea. Examination revealed bilateral rhonchi, facial oedema and non-pitting thigh oedema. Laboratory results showed a white blood cell count of 11.3 ×109/l, erythrocyte sedimentation rate of 99 mm/hr and C-reactive protein level of 45.3 mg/dl. Initially admitted for cystic fibrosis exacerbation, she was found to have pericardial effusion. Despite facial and lower extremity swelling, she denied cardiac symptoms. During hospitalisation, she developed haemodynamic instability requiring pericardiocentesis, with echocardiography confirming constrictive pericarditis. Chest computed tomography angiography showed pericardial calcifications; autoimmune workup was negative. She was discharged on colchicine with close follow-up.

Conclusion: Clinicians should have a high index of suspicion for underlying cardiac complications in patients presenting with exacerbations of cystic fibrosis.

Learning points: Pericardial disease - including constrictive pericarditis and tamponade - though rare, can complicate cystic fibrosis in adults and may mimic pulmonary exacerbations. Early cardiac imaging is crucial for timely diagnosis.This case highlights the need for a high index of suspicion in cystic fibrosis patients with unexplained dyspnoea, oedema or haemodynamic instability, especially in the setting of pericardial calcifications.Medical management with colchicine and diuretics can be effective in selected cystic fibrosis patients with constrictive physiology, potentially avoiding the need for invasive pericardiectomy.

Abstract Image

Abstract Image

Abstract Image

成人囊性纤维化并发急性心包炎1例报告及文献复习。
简介:囊性纤维化是一种常染色体隐性遗传病(3000 - 6000例新生儿中有1例),可引起粘稠粘液和复发性肺部感染。生存率的提高揭示了罕见的并发症,如缩窄性心包炎和心包填塞。病例描述:一名24岁女性,9个月时确诊为囊性纤维化,出现两周呼吸困难。检查发现双侧腰、面部水肿和非凹陷性大腿水肿。实验室结果显示白细胞计数11.3 ×109/l,红细胞沉降率99 mm/hr, c反应蛋白水平45.3 mg/dl。最初因囊性纤维化加重入院,发现有心包积液。尽管面部和下肢肿胀,但她否认有心脏症状。住院期间,患者出现血流动力学不稳定,需要心包穿刺,超声心动图证实缩窄性心包炎。胸部ct血管造影显示心包钙化;自身免疫检查呈阴性她在密切随访下使用秋水仙碱出院。结论:临床医生应高度怀疑囊性纤维化加重患者的潜在心脏并发症。学习要点:心包疾病——包括缩窄性心包炎和心包填塞——虽然罕见,但在成人中可使囊性纤维化复杂化,并可能模仿肺部恶化。早期心脏成像对及时诊断至关重要。本病例强调了对伴有不明原因呼吸困难、水肿或血流动力学不稳定的囊性纤维化患者需要高度怀疑,特别是在心包钙化的情况下。医学管理与秋水仙碱和利尿剂可以有效地选择囊性纤维化患者收缩生理,潜在地避免了需要侵入性心包切除术。
本文章由计算机程序翻译,如有差异,请以英文原文为准。
求助全文
约1分钟内获得全文 求助全文
来源期刊
CiteScore
2.10
自引率
0.00%
发文量
166
审稿时长
8 weeks
期刊介绍: The European Journal of Case Reports in Internal Medicine is an official journal of the European Federation of Internal Medicine (EFIM), representing 35 national societies from 33 European countries. The Journal''s mission is to promote the best medical practice and innovation in the field of acute and general medicine. It also provides a forum for internal medicine doctors where they can share new approaches with the aim of improving diagnostic and clinical skills in this field. EJCRIM welcomes high-quality case reports describing unusual or complex cases that an internist may encounter in everyday practice. The cases should either demonstrate the appropriateness of a diagnostic/therapeutic approach, describe a new procedure or maneuver, or show unusual manifestations of a disease or unexpected reactions. The Journal only accepts and publishes those case reports whose learning points provide new insight and/or contribute to advancing medical knowledge both in terms of diagnostics and therapeutic approaches. Case reports of medical errors, therefore, are also welcome as long as they provide innovative measures on how to prevent them in the current practice (Instructive Errors). The Journal may also consider brief and reasoned reports on issues relevant to the practice of Internal Medicine, as well as Abstracts submitted to the scientific meetings of acknowledged medical societies.
×
引用
GB/T 7714-2015
复制
MLA
复制
APA
复制
导出至
BibTeX EndNote RefMan NoteFirst NoteExpress
×
提示
您的信息不完整,为了账户安全,请先补充。
现在去补充
×
提示
您因"违规操作"
具体请查看互助需知
我知道了
×
提示
确定
请完成安全验证×
copy
已复制链接
快去分享给好友吧!
我知道了
右上角分享
点击右上角分享
0
联系我们:info@booksci.cn Book学术提供免费学术资源搜索服务,方便国内外学者检索中英文文献。致力于提供最便捷和优质的服务体验。 Copyright © 2023 布克学术 All rights reserved.
京ICP备2023020795号-1
ghs 京公网安备 11010802042870号
Book学术文献互助
Book学术文献互助群
群 号:604180095
Book学术官方微信