Swollen Legs and False Nephrotic Syndrome: A Case of Primary Lymphatic Dysplasia with Intermittent Chyluria.

Q3 Medicine
European journal of case reports in internal medicine Pub Date : 2025-05-09 eCollection Date: 2025-01-01 DOI:10.12890/2025_005348
Giorgia Sasia, Teresa Morgillo, Christian Bracco, Corrado Magnino, Giulia Racca, Remo Melchio, Luigi Maria Fenoglio
{"title":"Swollen Legs and False Nephrotic Syndrome: A Case of Primary Lymphatic Dysplasia with Intermittent Chyluria.","authors":"Giorgia Sasia, Teresa Morgillo, Christian Bracco, Corrado Magnino, Giulia Racca, Remo Melchio, Luigi Maria Fenoglio","doi":"10.12890/2025_005348","DOIUrl":null,"url":null,"abstract":"<p><p>Chyluria, defined as the presence of chyle in urine, is a rare condition caused by an abnormal communication between the lymphatic system and the urinary tract. It can present with massive proteinuria and characteristic milky urine, mimicking nephrotic syndrome. We report the case of a 23-year-old woman with a history of seronegative ocular myasthenia gravis who developed progressive bilateral lower extremity oedema and intermittent nephrotic-range proteinuria despite normal serum albumin and lipid profiles. A renal biopsy, performed to investigate proteinuria, was complicated by a subcapsular hematoma. Shortly thereafter, the patient developed dysuria, urinary retention, and milky urine, leading to the diagnosis of chyluria. Imaging revealed thrombosis of the left iliac vein, associated with hereditary thrombophilia (heterozygosity for factor V Leiden and homozygous <i>G20210A</i> prothrombin mutation), prompting anticoagulation therapy. Lymphoscintigraphy suggested a lympho-vesical fistula and bilateral inguinal lymph node dysplasia. Conservative management, including urinary catheterization, fluid optimization, and dietary modifications with a low-fat, medium-chain triglyceride-enriched regimen, resulted in resolution of chyluria. At 6-month follow-up, there was no recurrence of symptoms, proteinuria improved, and anticoagulation was continued. This case highlights the importance of a multidisciplinary approach in managing rare presentations of chyluria, nephrotic proteinuria, and venous thrombosis.</p><p><strong>Learning points: </strong>Chyluria should be considered in patients presenting with milky urine and proteinuria, especially after excluding glomerular pathology.Non-parasitic causes, such as trauma or iatrogenic procedures like renal biopsy, are increasingly recognized in non-endemic regions.Conservative management, particularly dietary modifications with medium-chain triglycerides can lead to significant clinical improvement without invasive interventions.</p>","PeriodicalId":11908,"journal":{"name":"European journal of case reports in internal medicine","volume":"12 6","pages":"005348"},"PeriodicalIF":0.0000,"publicationDate":"2025-05-09","publicationTypes":"Journal Article","fieldsOfStudy":null,"isOpenAccess":false,"openAccessPdf":"https://www.ncbi.nlm.nih.gov/pmc/articles/PMC12151559/pdf/","citationCount":"0","resultStr":null,"platform":"Semanticscholar","paperid":null,"PeriodicalName":"European journal of case reports in internal medicine","FirstCategoryId":"1085","ListUrlMain":"https://doi.org/10.12890/2025_005348","RegionNum":0,"RegionCategory":null,"ArticlePicture":[],"TitleCN":null,"AbstractTextCN":null,"PMCID":null,"EPubDate":"2025/1/1 0:00:00","PubModel":"eCollection","JCR":"Q3","JCRName":"Medicine","Score":null,"Total":0}
引用次数: 0

Abstract

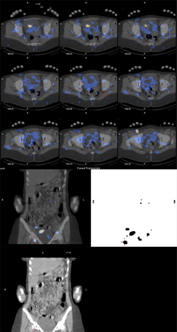
Chyluria, defined as the presence of chyle in urine, is a rare condition caused by an abnormal communication between the lymphatic system and the urinary tract. It can present with massive proteinuria and characteristic milky urine, mimicking nephrotic syndrome. We report the case of a 23-year-old woman with a history of seronegative ocular myasthenia gravis who developed progressive bilateral lower extremity oedema and intermittent nephrotic-range proteinuria despite normal serum albumin and lipid profiles. A renal biopsy, performed to investigate proteinuria, was complicated by a subcapsular hematoma. Shortly thereafter, the patient developed dysuria, urinary retention, and milky urine, leading to the diagnosis of chyluria. Imaging revealed thrombosis of the left iliac vein, associated with hereditary thrombophilia (heterozygosity for factor V Leiden and homozygous G20210A prothrombin mutation), prompting anticoagulation therapy. Lymphoscintigraphy suggested a lympho-vesical fistula and bilateral inguinal lymph node dysplasia. Conservative management, including urinary catheterization, fluid optimization, and dietary modifications with a low-fat, medium-chain triglyceride-enriched regimen, resulted in resolution of chyluria. At 6-month follow-up, there was no recurrence of symptoms, proteinuria improved, and anticoagulation was continued. This case highlights the importance of a multidisciplinary approach in managing rare presentations of chyluria, nephrotic proteinuria, and venous thrombosis.

Learning points: Chyluria should be considered in patients presenting with milky urine and proteinuria, especially after excluding glomerular pathology.Non-parasitic causes, such as trauma or iatrogenic procedures like renal biopsy, are increasingly recognized in non-endemic regions.Conservative management, particularly dietary modifications with medium-chain triglycerides can lead to significant clinical improvement without invasive interventions.

Abstract Image

腿肿和假肾病综合征:原发性淋巴发育不良伴间歇性乳糜尿1例。
乳糜尿,定义为尿液中存在乳糜,是一种罕见的疾病,由淋巴系统和尿路之间的异常通信引起。可表现为大量蛋白尿和特征性乳白色尿,类似肾病综合征。我们报告的情况下,23岁的女性血清阴性眼部重症肌无力谁发展进行性双侧下肢水肿和间歇性肾范围蛋白尿,尽管正常的血清白蛋白和脂质谱。肾活检,进行调查蛋白尿,并发包膜下血肿。此后不久,患者出现排尿困难、尿潴留和乳白色尿液,从而诊断为乳糜尿。影像学显示左髂静脉血栓形成,与遗传性血栓相关(V Leiden因子杂合性和凝血酶原G20210A纯合性突变),提示抗凝治疗。淋巴显像提示淋巴膀胱瘘及双侧腹股沟淋巴结发育不良。保守治疗,包括导尿、液体优化和低脂、中链甘油三酯富集方案的饮食调整,导致乳糜尿的解决。随访6个月,无症状复发,蛋白尿改善,继续抗凝治疗。本病例强调了多学科联合治疗乳糜尿、肾病性蛋白尿和静脉血栓形成的重要性。学习要点:乳白色尿和蛋白尿的患者应考虑乳糜尿,特别是在排除肾小球病理后。非寄生虫原因,如创伤或肾活检等医源性手术,在非流行地区日益得到认可。保守治疗,特别是饮食改变与中链甘油三酯可以导致显着的临床改善,而无需侵入性干预。
本文章由计算机程序翻译,如有差异,请以英文原文为准。
求助全文
约1分钟内获得全文 求助全文
来源期刊
CiteScore
2.10
自引率
0.00%
发文量
166
审稿时长
8 weeks
期刊介绍: The European Journal of Case Reports in Internal Medicine is an official journal of the European Federation of Internal Medicine (EFIM), representing 35 national societies from 33 European countries. The Journal''s mission is to promote the best medical practice and innovation in the field of acute and general medicine. It also provides a forum for internal medicine doctors where they can share new approaches with the aim of improving diagnostic and clinical skills in this field. EJCRIM welcomes high-quality case reports describing unusual or complex cases that an internist may encounter in everyday practice. The cases should either demonstrate the appropriateness of a diagnostic/therapeutic approach, describe a new procedure or maneuver, or show unusual manifestations of a disease or unexpected reactions. The Journal only accepts and publishes those case reports whose learning points provide new insight and/or contribute to advancing medical knowledge both in terms of diagnostics and therapeutic approaches. Case reports of medical errors, therefore, are also welcome as long as they provide innovative measures on how to prevent them in the current practice (Instructive Errors). The Journal may also consider brief and reasoned reports on issues relevant to the practice of Internal Medicine, as well as Abstracts submitted to the scientific meetings of acknowledged medical societies.
×
引用
GB/T 7714-2015
复制
MLA
复制
APA
复制
导出至
BibTeX EndNote RefMan NoteFirst NoteExpress
×
提示
您的信息不完整,为了账户安全,请先补充。
现在去补充
×
提示
您因"违规操作"
具体请查看互助需知
我知道了
×
提示
确定
请完成安全验证×
copy
已复制链接
快去分享给好友吧!
我知道了
右上角分享
点击右上角分享
0
联系我们:info@booksci.cn Book学术提供免费学术资源搜索服务,方便国内外学者检索中英文文献。致力于提供最便捷和优质的服务体验。 Copyright © 2023 布克学术 All rights reserved.
京ICP备2023020795号-1
ghs 京公网安备 11010802042870号
Book学术文献互助
Book学术文献互助群
群 号:604180095
Book学术官方微信