Successful Slow Pathway Modification with Radiofrequency Ablation in a Patient with AVNRT and Congenital IVC Continuity with Azygos Vein.

Q3 Medicine
European journal of case reports in internal medicine Pub Date : 2025-05-21 eCollection Date: 2025-01-01 DOI:10.12890/2025_005401
Elizabeth R Rimsky, Kaiyu Jia, Aysan Sattarzadeh, Michel El Khoury, Antonios Zakharia, Phillipe Akhrass
{"title":"Successful Slow Pathway Modification with Radiofrequency Ablation in a Patient with AVNRT and Congenital IVC Continuity with Azygos Vein.","authors":"Elizabeth R Rimsky, Kaiyu Jia, Aysan Sattarzadeh, Michel El Khoury, Antonios Zakharia, Phillipe Akhrass","doi":"10.12890/2025_005401","DOIUrl":null,"url":null,"abstract":"<p><strong>Background: </strong>Congenital anomalies of the inferior vena cava (IVC), such as interrupted or azygos continuation, complicate catheter-based procedures like atrioventricular nodal reentrant tachycardia (AVNRT) ablation. Understanding IVC variations is crucial for successful outcomes in interventional cardiology.</p><p><strong>Case presentation: </strong>A 57-year-old male with long-standing paroxysmal atrial fibrillation (AF) underwent successful catheter ablation for AVNRT. Intra-procedurally, a congenital IVC anomaly was identified, requiring modified vascular access.</p><p><strong>Conclusion: </strong>Recognizing IVC anomalies and adapting access strategies are key to overcoming procedural challenges and ensuring successful ablation outcomes. Comprehensive imaging and planning are vital for managing patients with IVC variations.</p><p><strong>Learning points: </strong>Congenital inferior vena cava (IVC) anomalies, including azygos continuation, can complicate catheter-based interventions such as ablation of atrioventricular nodal reentrant tachycardia.Congenital anomalies of IVC are rare but critical considerations for atrioventricular nodal reentry tachycardia (AVNRT) ablation procedures.Understanding these variations is essential for ensuring successful catheter-based interventions and minimizing the risk of complications.</p>","PeriodicalId":11908,"journal":{"name":"European journal of case reports in internal medicine","volume":"12 6","pages":"005401"},"PeriodicalIF":0.0000,"publicationDate":"2025-05-21","publicationTypes":"Journal Article","fieldsOfStudy":null,"isOpenAccess":false,"openAccessPdf":"https://www.ncbi.nlm.nih.gov/pmc/articles/PMC12151564/pdf/","citationCount":"0","resultStr":null,"platform":"Semanticscholar","paperid":null,"PeriodicalName":"European journal of case reports in internal medicine","FirstCategoryId":"1085","ListUrlMain":"https://doi.org/10.12890/2025_005401","RegionNum":0,"RegionCategory":null,"ArticlePicture":[],"TitleCN":null,"AbstractTextCN":null,"PMCID":null,"EPubDate":"2025/1/1 0:00:00","PubModel":"eCollection","JCR":"Q3","JCRName":"Medicine","Score":null,"Total":0}
引用次数: 0

Abstract

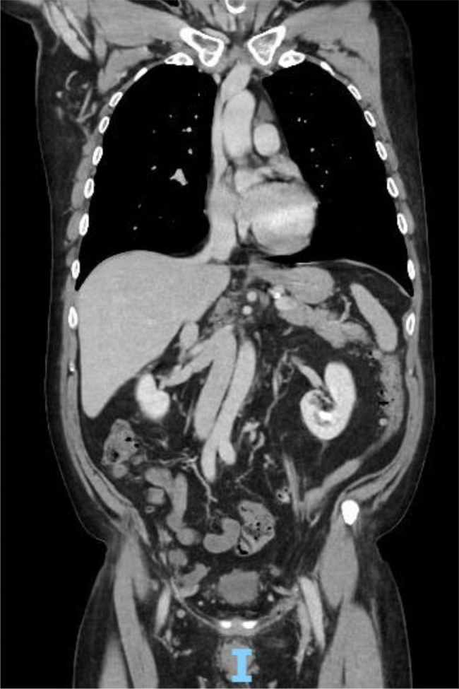
Background: Congenital anomalies of the inferior vena cava (IVC), such as interrupted or azygos continuation, complicate catheter-based procedures like atrioventricular nodal reentrant tachycardia (AVNRT) ablation. Understanding IVC variations is crucial for successful outcomes in interventional cardiology.

Case presentation: A 57-year-old male with long-standing paroxysmal atrial fibrillation (AF) underwent successful catheter ablation for AVNRT. Intra-procedurally, a congenital IVC anomaly was identified, requiring modified vascular access.

Conclusion: Recognizing IVC anomalies and adapting access strategies are key to overcoming procedural challenges and ensuring successful ablation outcomes. Comprehensive imaging and planning are vital for managing patients with IVC variations.

Learning points: Congenital inferior vena cava (IVC) anomalies, including azygos continuation, can complicate catheter-based interventions such as ablation of atrioventricular nodal reentrant tachycardia.Congenital anomalies of IVC are rare but critical considerations for atrioventricular nodal reentry tachycardia (AVNRT) ablation procedures.Understanding these variations is essential for ensuring successful catheter-based interventions and minimizing the risk of complications.

Abstract Image

射频消融术在AVNRT和先天性下腔静脉连续性奇静脉患者中成功的慢路径改变。
背景:下腔静脉(IVC)的先天性异常,如中断或奇静脉延续,使房室结折返性心动过速(AVNRT)消融等基于导管的手术复杂化。了解下腔静脉的变化对介入心脏病学的成功结果至关重要。病例介绍:一位患有长期阵发性心房颤动(AF)的57岁男性患者成功接受了AVNRT导管消融治疗。术中发现先天性下腔静脉异常,需要修改血管通路。结论:识别下腔静脉异常和适应通路策略是克服程序挑战和确保消融成功的关键。全面的成像和规划对于管理下腔静脉变异患者至关重要。学习要点:先天性下腔静脉(IVC)异常,包括奇静脉延续,可使导管介入治疗(如房室结折返性心动过速消融)复杂化。先天性下腔静脉异常是罕见的,但关键考虑房室结性再入性心动过速(AVNRT)消融手术。了解这些变化对于确保成功的导管干预和最大限度地减少并发症的风险至关重要。
本文章由计算机程序翻译,如有差异,请以英文原文为准。
求助全文
约1分钟内获得全文 求助全文
来源期刊
CiteScore
2.10
自引率
0.00%
发文量
166
审稿时长
8 weeks
期刊介绍: The European Journal of Case Reports in Internal Medicine is an official journal of the European Federation of Internal Medicine (EFIM), representing 35 national societies from 33 European countries. The Journal''s mission is to promote the best medical practice and innovation in the field of acute and general medicine. It also provides a forum for internal medicine doctors where they can share new approaches with the aim of improving diagnostic and clinical skills in this field. EJCRIM welcomes high-quality case reports describing unusual or complex cases that an internist may encounter in everyday practice. The cases should either demonstrate the appropriateness of a diagnostic/therapeutic approach, describe a new procedure or maneuver, or show unusual manifestations of a disease or unexpected reactions. The Journal only accepts and publishes those case reports whose learning points provide new insight and/or contribute to advancing medical knowledge both in terms of diagnostics and therapeutic approaches. Case reports of medical errors, therefore, are also welcome as long as they provide innovative measures on how to prevent them in the current practice (Instructive Errors). The Journal may also consider brief and reasoned reports on issues relevant to the practice of Internal Medicine, as well as Abstracts submitted to the scientific meetings of acknowledged medical societies.
×
引用
GB/T 7714-2015
复制
MLA
复制
APA
复制
导出至
BibTeX EndNote RefMan NoteFirst NoteExpress
×
提示
您的信息不完整,为了账户安全,请先补充。
现在去补充
×
提示
您因"违规操作"
具体请查看互助需知
我知道了
×
提示
确定
请完成安全验证×
copy
已复制链接
快去分享给好友吧!
我知道了
右上角分享
点击右上角分享
0
联系我们:info@booksci.cn Book学术提供免费学术资源搜索服务,方便国内外学者检索中英文文献。致力于提供最便捷和优质的服务体验。 Copyright © 2023 布克学术 All rights reserved.
京ICP备2023020795号-1
ghs 京公网安备 11010802042870号
Book学术文献互助
Book学术文献互助群
群 号:604180095
Book学术官方微信