Severe Hypoxaemia and Haemodynamic Instability Following Salt Tablet Broncho-Aspiration: In-Hospital Mimicking of Saltwater Drowning.

Q3 Medicine
European journal of case reports in internal medicine Pub Date : 2025-05-22 eCollection Date: 2025-01-01 DOI:10.12890/2025_005404
Ermes Lupieri, Enrico Patrese, Alessandro Felice Chiesa, Fabio Corti, Marco Previsdomini
{"title":"Severe Hypoxaemia and Haemodynamic Instability Following Salt Tablet Broncho-Aspiration: In-Hospital Mimicking of Saltwater Drowning.","authors":"Ermes Lupieri, Enrico Patrese, Alessandro Felice Chiesa, Fabio Corti, Marco Previsdomini","doi":"10.12890/2025_005404","DOIUrl":null,"url":null,"abstract":"<p><p>A 70-year-old woman, hospitalised for asymptomatic hyponatraemia secondary to syndrome of inappropriate antidiuretic hormone secretion (SIADH), required emergency intubation due to severe acute respiratory failure and haemodynamic instability following broncho-aspiration of a salt tablet. We hypothesise that a pathophysiological mechanism resembling saltwater drowning may have contributed to the clinical presentation.</p><p><strong>Learning points: </strong>Salt tablet broncho-aspiration could be associated with severe hypoxaemia and haemodynamic instability.The pathophysiology of salt tablet broncho-aspiration may mimic drowning in saltwater.</p>","PeriodicalId":11908,"journal":{"name":"European journal of case reports in internal medicine","volume":"12 6","pages":"005404"},"PeriodicalIF":0.0000,"publicationDate":"2025-05-22","publicationTypes":"Journal Article","fieldsOfStudy":null,"isOpenAccess":false,"openAccessPdf":"https://www.ncbi.nlm.nih.gov/pmc/articles/PMC12151578/pdf/","citationCount":"0","resultStr":null,"platform":"Semanticscholar","paperid":null,"PeriodicalName":"European journal of case reports in internal medicine","FirstCategoryId":"1085","ListUrlMain":"https://doi.org/10.12890/2025_005404","RegionNum":0,"RegionCategory":null,"ArticlePicture":[],"TitleCN":null,"AbstractTextCN":null,"PMCID":null,"EPubDate":"2025/1/1 0:00:00","PubModel":"eCollection","JCR":"Q3","JCRName":"Medicine","Score":null,"Total":0}
引用次数: 0

Abstract

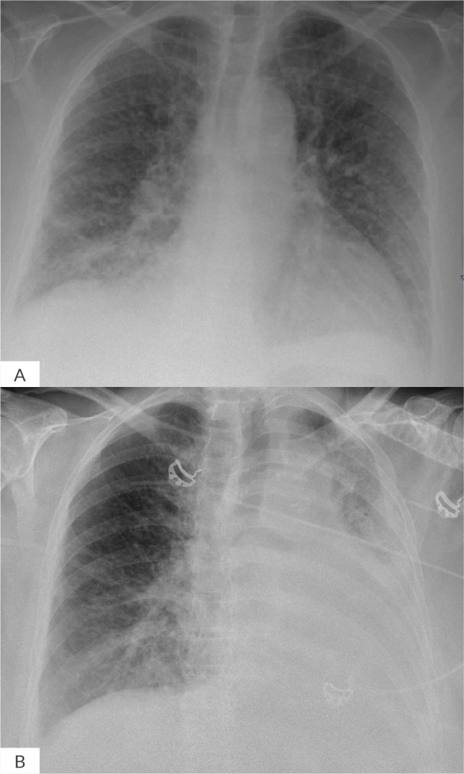
A 70-year-old woman, hospitalised for asymptomatic hyponatraemia secondary to syndrome of inappropriate antidiuretic hormone secretion (SIADH), required emergency intubation due to severe acute respiratory failure and haemodynamic instability following broncho-aspiration of a salt tablet. We hypothesise that a pathophysiological mechanism resembling saltwater drowning may have contributed to the clinical presentation.

Learning points: Salt tablet broncho-aspiration could be associated with severe hypoxaemia and haemodynamic instability.The pathophysiology of salt tablet broncho-aspiration may mimic drowning in saltwater.

Abstract Image

支气管吸入盐片后严重低氧血症和血流动力学不稳定:院内模拟盐水溺水。
一名70岁妇女因抗利尿激素分泌不当综合征(SIADH)继发无症状低钠血症住院,因支气管吸入盐片后出现严重急性呼吸衰竭和血流动力学不稳定,需要紧急插管。我们假设类似盐水溺水的病理生理机制可能导致了临床表现。学习要点:盐片支气管吸入可能与严重低氧血症和血流动力学不稳定有关。盐片支气管吸入的病理生理可能与盐水溺水相似。
本文章由计算机程序翻译,如有差异,请以英文原文为准。
求助全文
约1分钟内获得全文 求助全文
来源期刊
CiteScore
2.10
自引率
0.00%
发文量
166
审稿时长
8 weeks
期刊介绍: The European Journal of Case Reports in Internal Medicine is an official journal of the European Federation of Internal Medicine (EFIM), representing 35 national societies from 33 European countries. The Journal''s mission is to promote the best medical practice and innovation in the field of acute and general medicine. It also provides a forum for internal medicine doctors where they can share new approaches with the aim of improving diagnostic and clinical skills in this field. EJCRIM welcomes high-quality case reports describing unusual or complex cases that an internist may encounter in everyday practice. The cases should either demonstrate the appropriateness of a diagnostic/therapeutic approach, describe a new procedure or maneuver, or show unusual manifestations of a disease or unexpected reactions. The Journal only accepts and publishes those case reports whose learning points provide new insight and/or contribute to advancing medical knowledge both in terms of diagnostics and therapeutic approaches. Case reports of medical errors, therefore, are also welcome as long as they provide innovative measures on how to prevent them in the current practice (Instructive Errors). The Journal may also consider brief and reasoned reports on issues relevant to the practice of Internal Medicine, as well as Abstracts submitted to the scientific meetings of acknowledged medical societies.
×
引用
GB/T 7714-2015
复制
MLA
复制
APA
复制
导出至
BibTeX EndNote RefMan NoteFirst NoteExpress
×
提示
您的信息不完整,为了账户安全,请先补充。
现在去补充
×
提示
您因"违规操作"
具体请查看互助需知
我知道了
×
提示
确定
请完成安全验证×
copy
已复制链接
快去分享给好友吧!
我知道了
右上角分享
点击右上角分享
0
联系我们:info@booksci.cn Book学术提供免费学术资源搜索服务,方便国内外学者检索中英文文献。致力于提供最便捷和优质的服务体验。 Copyright © 2023 布克学术 All rights reserved.
京ICP备2023020795号-1
ghs 京公网安备 11010802042870号
Book学术文献互助
Book学术文献互助群
群 号:604180095
Book学术官方微信