Rosai-Dorfman Disease Preceding Acute Myeloid Leukemia: An Extremely Rare Case and A Literature Review.

Q3 Medicine
European journal of case reports in internal medicine Pub Date : 2025-05-16 eCollection Date: 2025-01-01 DOI:10.12890/2025_005250
Sara E Marhoon, Ali H Ali, Ali Husain, Salma Elashwah, Azza AbdelAziz, Mariam Elias
{"title":"Rosai-Dorfman Disease Preceding Acute Myeloid Leukemia: An Extremely Rare Case and A Literature Review.","authors":"Sara E Marhoon, Ali H Ali, Ali Husain, Salma Elashwah, Azza AbdelAziz, Mariam Elias","doi":"10.12890/2025_005250","DOIUrl":null,"url":null,"abstract":"<p><strong>Background: </strong>Rosai-Dorfman disease (RDD) is a histiocytic disorder that was recently reclassified as a histiocytic neoplasm. It is characterized by nodal and extranodal involvement. Leukaemia-associated RDD is a rare subtype of neoplasia-associated RDD, particularly when leukaemia precedes RDD, with only one paediatric case reported in the literature.</p><p><strong>Case report: </strong>A 33-year-old woman presented with cervical swelling that had persisted for one month. Ultrasound examination and biopsy confirmed the diagnosis of RDD. The patient subsequently developed raccoon eyes and bilateral eyelid oedema. Laboratory investigations revealed bicytopenia and leukocytosis. Unexpectedly, bone marrow aspirate and flow cytometry confirmed the presence of acute myeloid leukaemia (AML). Following repeated complaints of headache, brain magnetic resonance imaging revealed a callosal lesion, suggestive of a space-occupying lesion. One year later, the patient relapsed and died from septicaemia.</p><p><strong>Conclusion: </strong>This case report describes the progression of RDD to AML in an adult, highlighting the need for long-term follow-up and further research into its pathogenesis to improve outcomes.</p><p><strong>Learning points: </strong>The occurrence of Rosai-Dorfman disease (RDD) followed by acute myeloid leukaemia is extremely rare, suggesting more than a coincidental link and providing a foundation for research into RDD pathophysiology and prognosis.Physicians should be aware of the potential progression of RDD to malignancy, even after complete remission, and ensure thorough follow-up for early detection.</p>","PeriodicalId":11908,"journal":{"name":"European journal of case reports in internal medicine","volume":"12 6","pages":"005250"},"PeriodicalIF":0.0000,"publicationDate":"2025-05-16","publicationTypes":"Journal Article","fieldsOfStudy":null,"isOpenAccess":false,"openAccessPdf":"https://www.ncbi.nlm.nih.gov/pmc/articles/PMC12151570/pdf/","citationCount":"0","resultStr":null,"platform":"Semanticscholar","paperid":null,"PeriodicalName":"European journal of case reports in internal medicine","FirstCategoryId":"1085","ListUrlMain":"https://doi.org/10.12890/2025_005250","RegionNum":0,"RegionCategory":null,"ArticlePicture":[],"TitleCN":null,"AbstractTextCN":null,"PMCID":null,"EPubDate":"2025/1/1 0:00:00","PubModel":"eCollection","JCR":"Q3","JCRName":"Medicine","Score":null,"Total":0}
引用次数: 0

Abstract

Background: Rosai-Dorfman disease (RDD) is a histiocytic disorder that was recently reclassified as a histiocytic neoplasm. It is characterized by nodal and extranodal involvement. Leukaemia-associated RDD is a rare subtype of neoplasia-associated RDD, particularly when leukaemia precedes RDD, with only one paediatric case reported in the literature.

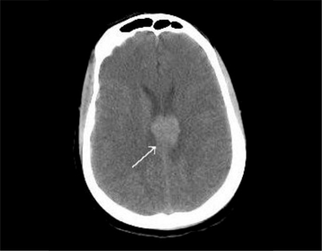
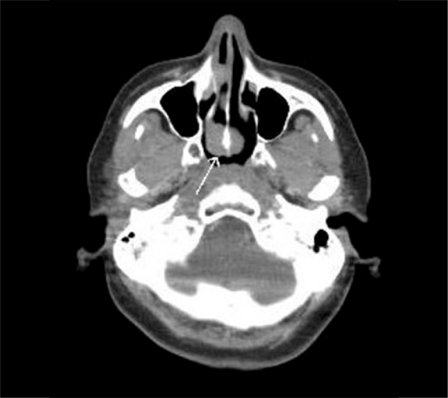
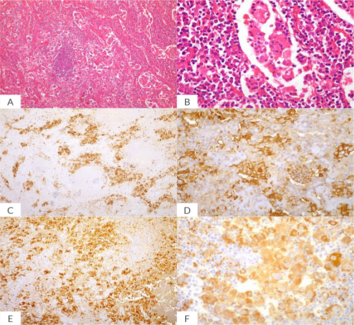
Case report: A 33-year-old woman presented with cervical swelling that had persisted for one month. Ultrasound examination and biopsy confirmed the diagnosis of RDD. The patient subsequently developed raccoon eyes and bilateral eyelid oedema. Laboratory investigations revealed bicytopenia and leukocytosis. Unexpectedly, bone marrow aspirate and flow cytometry confirmed the presence of acute myeloid leukaemia (AML). Following repeated complaints of headache, brain magnetic resonance imaging revealed a callosal lesion, suggestive of a space-occupying lesion. One year later, the patient relapsed and died from septicaemia.

Conclusion: This case report describes the progression of RDD to AML in an adult, highlighting the need for long-term follow-up and further research into its pathogenesis to improve outcomes.

Learning points: The occurrence of Rosai-Dorfman disease (RDD) followed by acute myeloid leukaemia is extremely rare, suggesting more than a coincidental link and providing a foundation for research into RDD pathophysiology and prognosis.Physicians should be aware of the potential progression of RDD to malignancy, even after complete remission, and ensure thorough follow-up for early detection.

Abstract Image

Abstract Image

Abstract Image

急性髓系白血病前的Rosai-Dorfman病:一个极其罕见的病例和文献综述。
背景:Rosai-Dorfman病(RDD)是一种组织细胞疾病,最近被重新归类为组织细胞肿瘤。它的特点是淋巴结和结外受累。白血病相关性RDD是肿瘤相关性RDD的一种罕见亚型,特别是当白血病先于RDD时,文献中仅报道了一例儿科病例。病例报告:一个33岁的妇女提出宫颈肿胀持续了一个月。超声检查和活检证实了RDD的诊断。患者随后出现浣熊眼和双眼睑水肿。实验室检查显示双氧体减少和白细胞增多。出乎意料的是,骨髓穿刺和流式细胞术证实了急性髓性白血病(AML)的存在。在反复抱怨头痛后,脑磁共振成像显示胼胝体病变,提示占位性病变。一年后,患者复发并死于败血症。结论:该病例报告描述了一名成人RDD发展为AML的过程,强调了长期随访和进一步研究其发病机制以改善预后的必要性。学习要点:Rosai-Dorfman病(RDD)合并急性髓系白血病的发生极为罕见,提示两者之间并非偶然联系,为RDD病理生理及预后研究提供了基础。医生应该意识到RDD的潜在进展,恶性肿瘤,甚至在完全缓解后,并确保彻底的随访,早期发现。
本文章由计算机程序翻译,如有差异,请以英文原文为准。
求助全文
约1分钟内获得全文 求助全文
来源期刊
CiteScore
2.10
自引率
0.00%
发文量
166
审稿时长
8 weeks
期刊介绍: The European Journal of Case Reports in Internal Medicine is an official journal of the European Federation of Internal Medicine (EFIM), representing 35 national societies from 33 European countries. The Journal''s mission is to promote the best medical practice and innovation in the field of acute and general medicine. It also provides a forum for internal medicine doctors where they can share new approaches with the aim of improving diagnostic and clinical skills in this field. EJCRIM welcomes high-quality case reports describing unusual or complex cases that an internist may encounter in everyday practice. The cases should either demonstrate the appropriateness of a diagnostic/therapeutic approach, describe a new procedure or maneuver, or show unusual manifestations of a disease or unexpected reactions. The Journal only accepts and publishes those case reports whose learning points provide new insight and/or contribute to advancing medical knowledge both in terms of diagnostics and therapeutic approaches. Case reports of medical errors, therefore, are also welcome as long as they provide innovative measures on how to prevent them in the current practice (Instructive Errors). The Journal may also consider brief and reasoned reports on issues relevant to the practice of Internal Medicine, as well as Abstracts submitted to the scientific meetings of acknowledged medical societies.
×
引用
GB/T 7714-2015
复制
MLA
复制
APA
复制
导出至
BibTeX EndNote RefMan NoteFirst NoteExpress
×
提示
您的信息不完整,为了账户安全,请先补充。
现在去补充
×
提示
您因"违规操作"
具体请查看互助需知
我知道了
×
提示
确定
请完成安全验证×
copy
已复制链接
快去分享给好友吧!
我知道了
右上角分享
点击右上角分享
0
联系我们:info@booksci.cn Book学术提供免费学术资源搜索服务,方便国内外学者检索中英文文献。致力于提供最便捷和优质的服务体验。 Copyright © 2023 布克学术 All rights reserved.
京ICP备2023020795号-1
ghs 京公网安备 11010802042870号
Book学术文献互助
Book学术文献互助群
群 号:604180095
Book学术官方微信