Rapid Paralysis and Hidden Malignancy: Acute Motor Axonal Neuropathy Revealing Pleomorphic Liposarcoma.

Q3 Medicine
European journal of case reports in internal medicine Pub Date : 2025-05-20 eCollection Date: 2025-01-01 DOI:10.12890/2025_005481
Sathish Kumar Krishnan, Vijaya Sivalingam Ramalingam, Melissa Johnson
{"title":"Rapid Paralysis and Hidden Malignancy: Acute Motor Axonal Neuropathy Revealing Pleomorphic Liposarcoma.","authors":"Sathish Kumar Krishnan, Vijaya Sivalingam Ramalingam, Melissa Johnson","doi":"10.12890/2025_005481","DOIUrl":null,"url":null,"abstract":"<p><p>Guillain-Barré syndrome is an immune-mediated neuropathy characterised by acute-onset of symmetric, ascending motor weakness and areflexia. Acute motor axonal neuropathy, a severe axonal variant, is distinguished by direct axonal injury and poor functional recovery. Although infections are recognised triggers for Guillain-Barré syndrome, it is notable that up to half of cases occur without a preceding infectious event, suggesting that other factors such as underlying malignancy may contribute to disease onset. We present a rare and fatal case of acute motor axonal neuropathy in a 70-year-old woman, who was ultimately found to have an underlying pleomorphic liposarcoma. The patient presented with one week of progressive weakness, fatigue and encephalopathy. She required urgent mechanical ventilation due to respiratory failure; imaging identified multiple bilateral pulmonary nodules. Neurologic evaluation confirmed acute motor axonal neuropathy through nerve conduction studies and cerebrospinal fluid analysis, which showed albuminocytologic dissociation and positive anti-GM1 IgG antibodies. Despite standard treatment with intravenous immunoglobulin, the patient experienced no neurological recovery. Further imaging revealed a large pelvic mass, that was not present on a scan performed two months earlier. A biopsy confirmed pleomorphic liposarcoma, a rare and aggressive soft tissue sarcoma. Paraneoplastic panel testing was negative for onconeural antibodies, yet the clinical context raised suspicion for an immune-mediated, tumour-associated neuropathy. Clinicians should maintain a high level of suspicion of underlying malignancy in patients with Guillain-Barré syndrome, especially in the absence of preceding infection and with rapid neurological decline.</p><p><strong>Learning points: </strong>Although infection is a well-established trigger for Guillain-Barré syndrome, patients presenting with Guillain-Barré syndrome may also have an increased risk of underlying malignancy.Clinicians should remain vigilant for the possibility of occult malignancy in patients hospitalised with Guillain-Barré syndrome, especially in those without a preceding infectious event.</p>","PeriodicalId":11908,"journal":{"name":"European journal of case reports in internal medicine","volume":"12 6","pages":"005481"},"PeriodicalIF":0.0000,"publicationDate":"2025-05-20","publicationTypes":"Journal Article","fieldsOfStudy":null,"isOpenAccess":false,"openAccessPdf":"https://www.ncbi.nlm.nih.gov/pmc/articles/PMC12151569/pdf/","citationCount":"0","resultStr":null,"platform":"Semanticscholar","paperid":null,"PeriodicalName":"European journal of case reports in internal medicine","FirstCategoryId":"1085","ListUrlMain":"https://doi.org/10.12890/2025_005481","RegionNum":0,"RegionCategory":null,"ArticlePicture":[],"TitleCN":null,"AbstractTextCN":null,"PMCID":null,"EPubDate":"2025/1/1 0:00:00","PubModel":"eCollection","JCR":"Q3","JCRName":"Medicine","Score":null,"Total":0}
引用次数: 0

Abstract

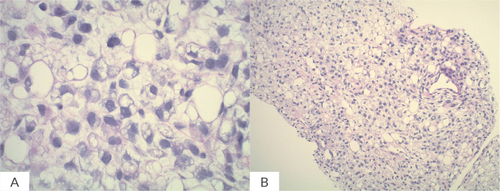
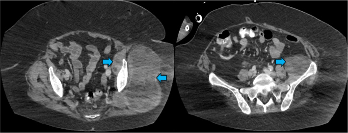
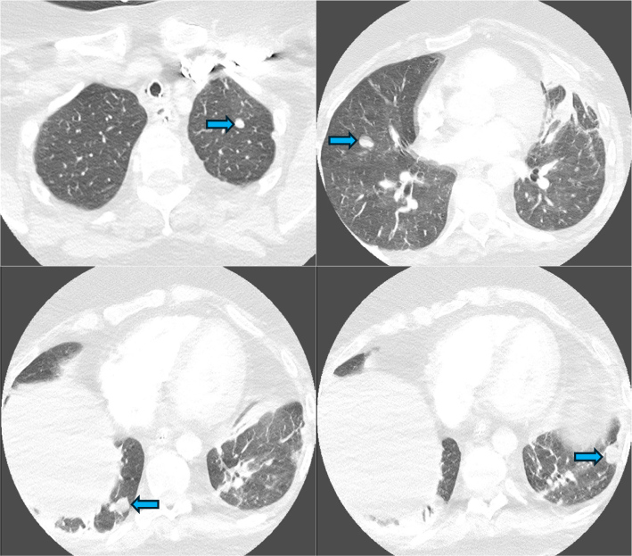
Guillain-Barré syndrome is an immune-mediated neuropathy characterised by acute-onset of symmetric, ascending motor weakness and areflexia. Acute motor axonal neuropathy, a severe axonal variant, is distinguished by direct axonal injury and poor functional recovery. Although infections are recognised triggers for Guillain-Barré syndrome, it is notable that up to half of cases occur without a preceding infectious event, suggesting that other factors such as underlying malignancy may contribute to disease onset. We present a rare and fatal case of acute motor axonal neuropathy in a 70-year-old woman, who was ultimately found to have an underlying pleomorphic liposarcoma. The patient presented with one week of progressive weakness, fatigue and encephalopathy. She required urgent mechanical ventilation due to respiratory failure; imaging identified multiple bilateral pulmonary nodules. Neurologic evaluation confirmed acute motor axonal neuropathy through nerve conduction studies and cerebrospinal fluid analysis, which showed albuminocytologic dissociation and positive anti-GM1 IgG antibodies. Despite standard treatment with intravenous immunoglobulin, the patient experienced no neurological recovery. Further imaging revealed a large pelvic mass, that was not present on a scan performed two months earlier. A biopsy confirmed pleomorphic liposarcoma, a rare and aggressive soft tissue sarcoma. Paraneoplastic panel testing was negative for onconeural antibodies, yet the clinical context raised suspicion for an immune-mediated, tumour-associated neuropathy. Clinicians should maintain a high level of suspicion of underlying malignancy in patients with Guillain-Barré syndrome, especially in the absence of preceding infection and with rapid neurological decline.

Learning points: Although infection is a well-established trigger for Guillain-Barré syndrome, patients presenting with Guillain-Barré syndrome may also have an increased risk of underlying malignancy.Clinicians should remain vigilant for the possibility of occult malignancy in patients hospitalised with Guillain-Barré syndrome, especially in those without a preceding infectious event.

Abstract Image

Abstract Image

Abstract Image

快速麻痹与隐藏的恶性肿瘤:急性运动轴突神经病表现为多形性脂肪肉瘤。
guillain - barr综合征是一种免疫介导的神经病变,其特征是急性发作对称的、上升的运动无力和反射。急性运动轴索神经病是一种严重的轴索变型,其特点是轴索直接损伤和功能恢复不良。虽然感染是公认的吉兰-巴罗综合征的诱因,但值得注意的是,多达一半的病例之前没有感染事件,这表明其他因素,如潜在的恶性肿瘤,可能有助于疾病的发病。我们提出一个罕见而致命的急性运动轴索神经病变的病例,在一个70岁的妇女,谁最终被发现有一个潜在的多形性脂肪肉瘤。患者表现为一周的进行性虚弱、疲劳和脑病。她因呼吸衰竭需要紧急机械通气;影像学发现双侧多发肺结节。神经学评价通过神经传导检查和脑脊液分析证实急性运动轴索神经病,显示白蛋白细胞分离和抗gm1 IgG抗体阳性。尽管给予静脉注射免疫球蛋白的标准治疗,患者的神经系统仍未恢复。进一步的影像显示一个大的盆腔肿块,这在两个月前的扫描中没有出现。活检证实多形性脂肪肉瘤,一种罕见的侵袭性软组织肉瘤。副肿瘤面板检测为阴性的肿瘤神经抗体,但临床背景提出怀疑免疫介导,肿瘤相关的神经病变。临床医生应高度怀疑吉兰-巴罗综合征患者存在潜在的恶性肿瘤,特别是在之前没有感染和神经功能迅速下降的情况下。学习要点:虽然感染是公认的格林-巴利综合征的诱因,但出现格林-巴利综合征的患者发生潜在恶性肿瘤的风险也可能增加。临床医生应保持警惕,警惕格林-巴-罗综合征住院患者发生隐匿性恶性肿瘤的可能性,特别是那些之前没有感染事件的患者。
本文章由计算机程序翻译,如有差异,请以英文原文为准。
求助全文
约1分钟内获得全文 求助全文
来源期刊
CiteScore
2.10
自引率
0.00%
发文量
166
审稿时长
8 weeks
期刊介绍: The European Journal of Case Reports in Internal Medicine is an official journal of the European Federation of Internal Medicine (EFIM), representing 35 national societies from 33 European countries. The Journal''s mission is to promote the best medical practice and innovation in the field of acute and general medicine. It also provides a forum for internal medicine doctors where they can share new approaches with the aim of improving diagnostic and clinical skills in this field. EJCRIM welcomes high-quality case reports describing unusual or complex cases that an internist may encounter in everyday practice. The cases should either demonstrate the appropriateness of a diagnostic/therapeutic approach, describe a new procedure or maneuver, or show unusual manifestations of a disease or unexpected reactions. The Journal only accepts and publishes those case reports whose learning points provide new insight and/or contribute to advancing medical knowledge both in terms of diagnostics and therapeutic approaches. Case reports of medical errors, therefore, are also welcome as long as they provide innovative measures on how to prevent them in the current practice (Instructive Errors). The Journal may also consider brief and reasoned reports on issues relevant to the practice of Internal Medicine, as well as Abstracts submitted to the scientific meetings of acknowledged medical societies.
×
引用
GB/T 7714-2015
复制
MLA
复制
APA
复制
导出至
BibTeX EndNote RefMan NoteFirst NoteExpress
×
提示
您的信息不完整,为了账户安全,请先补充。
现在去补充
×
提示
您因"违规操作"
具体请查看互助需知
我知道了
×
提示
确定
请完成安全验证×
copy
已复制链接
快去分享给好友吧!
我知道了
右上角分享
点击右上角分享
0
联系我们:info@booksci.cn Book学术提供免费学术资源搜索服务,方便国内外学者检索中英文文献。致力于提供最便捷和优质的服务体验。 Copyright © 2023 布克学术 All rights reserved.
京ICP备2023020795号-1
ghs 京公网安备 11010802042870号
Book学术文献互助
Book学术文献互助群
群 号:604180095
Book学术官方微信