Massive Haemoptysis and Cardiopulmonary Arrest Secondary to Acute Pulmonary Histoplasmosis in a Traveller from China Successfully Managed with Cryoextraction.

Q3 Medicine
European journal of case reports in internal medicine Pub Date : 2025-05-20 eCollection Date: 2025-01-01 DOI:10.12890/2025_005425
Shunsuke Kondo, Yusuke Hirao, Kaihei Masuda, Kazushige Shiraishi, Natsumi Hamahata-Tanabe
{"title":"Massive Haemoptysis and Cardiopulmonary Arrest Secondary to Acute Pulmonary Histoplasmosis in a Traveller from China Successfully Managed with Cryoextraction.","authors":"Shunsuke Kondo, Yusuke Hirao, Kaihei Masuda, Kazushige Shiraishi, Natsumi Hamahata-Tanabe","doi":"10.12890/2025_005425","DOIUrl":null,"url":null,"abstract":"<p><p><i>Histoplasma capsulatum</i> is a dimorphic fungus that grows as a mould in the environment and as a yeast in human tissues causing histoplasmosis. Histoplasmosis varies in clinical presentations and severities of the illness and is endemic in certain areas of North, Central, and South America, Africa, and Asia. A 47-year-old previously healthy male presented with a sudden onset of massive haemoptysis requiring emergent intubation in the emergency department. Bronchoscopy revealed blood clots within the endotracheal tube extending into both main bronchi with active bleeding from both airways. Subsequently, the patient experienced a cardiac arrest with asystole, requiring three rounds of cardiopulmonary resuscitation before achieving return of spontaneous circulation. A computed tomography scan of the chest demonstrated diffuse ground-glass opacities. Collateral information obtained from the patient's family indicated travel to Southeast China two months prior to hospitalization. Histoplasma antigen testing returned positive, and antifungal therapy was initiated. Along with serial suctioning and forceps use via fibreoptic bronchoscopy, cryoextraction of blood clots from the bronchi was performed, leading to successful extubation and hospital discharge. This case highlights the need to consider histoplasmosis in patients who have travelled to endemic areas and present with severe respiratory symptoms.</p><p><strong>Learning points: </strong>Acute pulmonary histoplasmosis can present with life-threatening complications such as massive haemoptysis, even in immunocompetent individuals.A thorough travel and occupational history are critical for diagnosing histoplasmosis, especially in non-endemic regions.Combined management with antifungal therapy and bronchoscopic cryoextraction can be effective in severe pulmonary histoplasmosis with airway obstruction.</p>","PeriodicalId":11908,"journal":{"name":"European journal of case reports in internal medicine","volume":"12 6","pages":"005425"},"PeriodicalIF":0.0000,"publicationDate":"2025-05-20","publicationTypes":"Journal Article","fieldsOfStudy":null,"isOpenAccess":false,"openAccessPdf":"https://www.ncbi.nlm.nih.gov/pmc/articles/PMC12151571/pdf/","citationCount":"0","resultStr":null,"platform":"Semanticscholar","paperid":null,"PeriodicalName":"European journal of case reports in internal medicine","FirstCategoryId":"1085","ListUrlMain":"https://doi.org/10.12890/2025_005425","RegionNum":0,"RegionCategory":null,"ArticlePicture":[],"TitleCN":null,"AbstractTextCN":null,"PMCID":null,"EPubDate":"2025/1/1 0:00:00","PubModel":"eCollection","JCR":"Q3","JCRName":"Medicine","Score":null,"Total":0}
引用次数: 0

Abstract

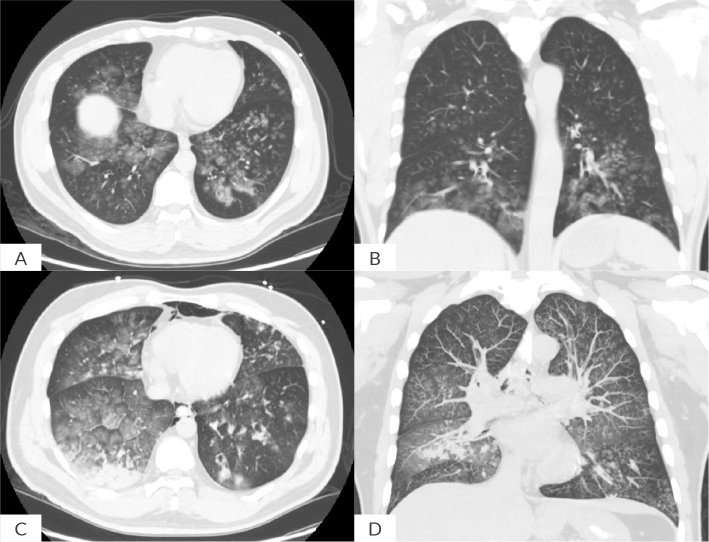
Histoplasma capsulatum is a dimorphic fungus that grows as a mould in the environment and as a yeast in human tissues causing histoplasmosis. Histoplasmosis varies in clinical presentations and severities of the illness and is endemic in certain areas of North, Central, and South America, Africa, and Asia. A 47-year-old previously healthy male presented with a sudden onset of massive haemoptysis requiring emergent intubation in the emergency department. Bronchoscopy revealed blood clots within the endotracheal tube extending into both main bronchi with active bleeding from both airways. Subsequently, the patient experienced a cardiac arrest with asystole, requiring three rounds of cardiopulmonary resuscitation before achieving return of spontaneous circulation. A computed tomography scan of the chest demonstrated diffuse ground-glass opacities. Collateral information obtained from the patient's family indicated travel to Southeast China two months prior to hospitalization. Histoplasma antigen testing returned positive, and antifungal therapy was initiated. Along with serial suctioning and forceps use via fibreoptic bronchoscopy, cryoextraction of blood clots from the bronchi was performed, leading to successful extubation and hospital discharge. This case highlights the need to consider histoplasmosis in patients who have travelled to endemic areas and present with severe respiratory symptoms.

Learning points: Acute pulmonary histoplasmosis can present with life-threatening complications such as massive haemoptysis, even in immunocompetent individuals.A thorough travel and occupational history are critical for diagnosing histoplasmosis, especially in non-endemic regions.Combined management with antifungal therapy and bronchoscopic cryoextraction can be effective in severe pulmonary histoplasmosis with airway obstruction.

Abstract Image

中国旅行者急性肺组织胞浆菌病继发大量咯血和心肺骤停的低温提取成功治疗。
荚膜组织浆菌是一种二态真菌,在环境中以霉菌的形式生长,在人体组织中以酵母菌的形式生长,引起组织浆菌病。组织胞浆菌病的临床表现和严重程度各不相同,在北美洲、中美洲和南美洲、非洲和亚洲的某些地区流行。一位47岁的健康男性突然出现大量咯血,需要急诊插管。支气管镜检查显示气管内的血凝块延伸至双主支气管,双气道出血。随后,患者出现心脏骤停伴骤停,需要三轮心肺复苏才能恢复自然循环。胸部电脑断层扫描显示弥漫性磨玻璃影。从患者家属获得的附带信息表明,该患者在住院前两个月曾前往中国东南部。组织浆抗原检测呈阳性,并开始抗真菌治疗。通过纤维支气管镜连续吸痰和使用镊子,从支气管中冷冻取出血块,成功拔管出院。本病例强调需要考虑到去过流行地区并出现严重呼吸道症状的患者中存在组织浆体病。学习要点:急性肺组织胞浆菌病可出现危及生命的并发症,如大量咯血,即使在免疫正常的个体中也是如此。全面的旅行和职业史对于诊断组织浆菌病至关重要,特别是在非流行地区。联合抗真菌治疗和支气管镜下冷冻取出对严重肺组织胞浆菌病合并气道阻塞是有效的。
本文章由计算机程序翻译,如有差异,请以英文原文为准。
求助全文
约1分钟内获得全文 求助全文
来源期刊
CiteScore
2.10
自引率
0.00%
发文量
166
审稿时长
8 weeks
期刊介绍: The European Journal of Case Reports in Internal Medicine is an official journal of the European Federation of Internal Medicine (EFIM), representing 35 national societies from 33 European countries. The Journal''s mission is to promote the best medical practice and innovation in the field of acute and general medicine. It also provides a forum for internal medicine doctors where they can share new approaches with the aim of improving diagnostic and clinical skills in this field. EJCRIM welcomes high-quality case reports describing unusual or complex cases that an internist may encounter in everyday practice. The cases should either demonstrate the appropriateness of a diagnostic/therapeutic approach, describe a new procedure or maneuver, or show unusual manifestations of a disease or unexpected reactions. The Journal only accepts and publishes those case reports whose learning points provide new insight and/or contribute to advancing medical knowledge both in terms of diagnostics and therapeutic approaches. Case reports of medical errors, therefore, are also welcome as long as they provide innovative measures on how to prevent them in the current practice (Instructive Errors). The Journal may also consider brief and reasoned reports on issues relevant to the practice of Internal Medicine, as well as Abstracts submitted to the scientific meetings of acknowledged medical societies.
×
引用
GB/T 7714-2015
复制
MLA
复制
APA
复制
导出至
BibTeX EndNote RefMan NoteFirst NoteExpress
×
提示
您的信息不完整,为了账户安全,请先补充。
现在去补充
×
提示
您因"违规操作"
具体请查看互助需知
我知道了
×
提示
确定
请完成安全验证×
copy
已复制链接
快去分享给好友吧!
我知道了
右上角分享
点击右上角分享
0
联系我们:info@booksci.cn Book学术提供免费学术资源搜索服务,方便国内外学者检索中英文文献。致力于提供最便捷和优质的服务体验。 Copyright © 2023 布克学术 All rights reserved.
京ICP备2023020795号-1
ghs 京公网安备 11010802042870号
Book学术文献互助
Book学术文献互助群
群 号:604180095
Book学术官方微信