Cardiac Tamponade due to Minoxidil use: A Case Report and Review of the Literature.

Q3 Medicine
European journal of case reports in internal medicine Pub Date : 2025-05-06 eCollection Date: 2025-01-01 DOI:10.12890/2025_005379
Prami Nakarmi, Joshua Hermiz, Roopeessh Vempati, Sanya Chandna, Umesh Bhagat, Stacy Loree, Christian Toquica Gahona
{"title":"Cardiac Tamponade due to Minoxidil use: A Case Report and Review of the Literature.","authors":"Prami Nakarmi, Joshua Hermiz, Roopeessh Vempati, Sanya Chandna, Umesh Bhagat, Stacy Loree, Christian Toquica Gahona","doi":"10.12890/2025_005379","DOIUrl":null,"url":null,"abstract":"<p><p>Minoxidil is a direct-acting vasodilator that reduces systemic vascular resistance by opening adenosine triphosphate (ATP)-sensitive potassium channels, leading to arteriolar smooth muscle vasodilation. While commonly prescribed for resistant hypertension and androgenic alopecia, minoxidil is associated with fluid retention, and in rare cases, pericardial effusion that can progress to cardiac tamponade. In this report, we present a case of an 81-year-old male with a history of chronic kidney disease (CKD) who developed cardiac tamponade while on chronic minoxidil therapy for hypertension. He presented with progressive dyspnoea, lower extremity oedema, and fever. Imaging revealed an enlarged cardiac silhouette, and a confirmatory echocardiogram demonstrated a pericardial effusion with right ventricular collapse. The patient underwent urgent pericardiocentesis, yielding 545 ml of pericardial fluid. Infectious, malignant, and autoimmune aetiologies were ruled out, and minoxidil was identified as the likely cause. Following discontinuation of minoxidil, the patient's symptoms completely resolved, with no recurrence at 1-month follow-up. In addition, we reviewed 26 previously reported cases of minoxidil-induced pericardial effusion and/or cardiac tamponade, 17 of which are summarized in this report. This case demonstrates the rare but potentially fatal complication of therapy and emphasizes the importance of early detection and clinical vigilance, particularly in vulnerable populations such as patients with CKD.</p><p><strong>Learning points: </strong>This case highlights minoxidil-induced cardiac tamponade - a rare but fatal adverse effect requiring urgent intervention, especially underrecognized in clinical practice.Patients with chronic kidney disease are at increased risk for minoxidil-induced pericardial effusion due to altered fluid regulation and renin-angiotensin-aldosterone system activation.Clinicians should maintain a high index of suspicion and consider routine cardiac monitoring in minoxidil users, even for non-hypertensive indications such as hair loss.</p>","PeriodicalId":11908,"journal":{"name":"European journal of case reports in internal medicine","volume":"12 6","pages":"005379"},"PeriodicalIF":0.0000,"publicationDate":"2025-05-06","publicationTypes":"Journal Article","fieldsOfStudy":null,"isOpenAccess":false,"openAccessPdf":"https://www.ncbi.nlm.nih.gov/pmc/articles/PMC12151561/pdf/","citationCount":"0","resultStr":null,"platform":"Semanticscholar","paperid":null,"PeriodicalName":"European journal of case reports in internal medicine","FirstCategoryId":"1085","ListUrlMain":"https://doi.org/10.12890/2025_005379","RegionNum":0,"RegionCategory":null,"ArticlePicture":[],"TitleCN":null,"AbstractTextCN":null,"PMCID":null,"EPubDate":"2025/1/1 0:00:00","PubModel":"eCollection","JCR":"Q3","JCRName":"Medicine","Score":null,"Total":0}
引用次数: 0

Abstract

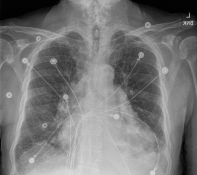
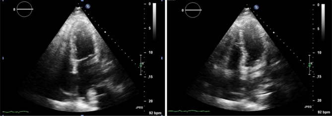
Minoxidil is a direct-acting vasodilator that reduces systemic vascular resistance by opening adenosine triphosphate (ATP)-sensitive potassium channels, leading to arteriolar smooth muscle vasodilation. While commonly prescribed for resistant hypertension and androgenic alopecia, minoxidil is associated with fluid retention, and in rare cases, pericardial effusion that can progress to cardiac tamponade. In this report, we present a case of an 81-year-old male with a history of chronic kidney disease (CKD) who developed cardiac tamponade while on chronic minoxidil therapy for hypertension. He presented with progressive dyspnoea, lower extremity oedema, and fever. Imaging revealed an enlarged cardiac silhouette, and a confirmatory echocardiogram demonstrated a pericardial effusion with right ventricular collapse. The patient underwent urgent pericardiocentesis, yielding 545 ml of pericardial fluid. Infectious, malignant, and autoimmune aetiologies were ruled out, and minoxidil was identified as the likely cause. Following discontinuation of minoxidil, the patient's symptoms completely resolved, with no recurrence at 1-month follow-up. In addition, we reviewed 26 previously reported cases of minoxidil-induced pericardial effusion and/or cardiac tamponade, 17 of which are summarized in this report. This case demonstrates the rare but potentially fatal complication of therapy and emphasizes the importance of early detection and clinical vigilance, particularly in vulnerable populations such as patients with CKD.

Learning points: This case highlights minoxidil-induced cardiac tamponade - a rare but fatal adverse effect requiring urgent intervention, especially underrecognized in clinical practice.Patients with chronic kidney disease are at increased risk for minoxidil-induced pericardial effusion due to altered fluid regulation and renin-angiotensin-aldosterone system activation.Clinicians should maintain a high index of suspicion and consider routine cardiac monitoring in minoxidil users, even for non-hypertensive indications such as hair loss.

Abstract Image

Abstract Image

米诺地尔致心脏填塞一例报告及文献复习。
米诺地尔是一种直接作用的血管扩张剂,通过打开三磷酸腺苷(ATP)敏感的钾通道,降低全身血管阻力,导致小动脉平滑肌血管舒张。虽然米诺地尔常用于治疗顽固性高血压和雄激素性脱发,但它与液体潴留有关,在极少数情况下,心包积液可发展为心包填塞。在这个报告中,我们提出了一例81岁的男性慢性肾脏疾病(CKD)病史,他在慢性米诺地尔治疗高血压时发生心脏填塞。他表现为进行性呼吸困难,下肢水肿和发烧。影像显示心脏轮廓增大,超声心动图证实心包积液伴右心室塌陷。患者接受了紧急心包穿刺,心包积液545ml。排除了感染性、恶性和自身免疫性病因,米诺地尔被确定为可能的病因。停用米诺地尔后,患者症状完全缓解,随访1个月无复发。此外,我们回顾了先前报道的26例米诺地尔引起的心包积液和/或心包填塞,其中17例在本报告中进行了总结。该病例显示了罕见但可能致命的治疗并发症,并强调了早期发现和临床警惕的重要性,特别是在CKD患者等弱势群体中。学习要点:本病例突出了米诺地尔引起的心脏填塞——一种罕见但致命的不良反应,需要紧急干预,特别是在临床实践中未被充分认识。慢性肾脏疾病患者由于体液调节和肾素-血管紧张素-醛固酮系统激活的改变,米诺地尔诱发心包积液的风险增加。临床医生应该对米诺地尔使用者保持高度的怀疑,并考虑常规的心脏监测,即使是非高血压适应症,如脱发。
本文章由计算机程序翻译,如有差异,请以英文原文为准。
求助全文
约1分钟内获得全文 求助全文
来源期刊
CiteScore
2.10
自引率
0.00%
发文量
166
审稿时长
8 weeks
期刊介绍: The European Journal of Case Reports in Internal Medicine is an official journal of the European Federation of Internal Medicine (EFIM), representing 35 national societies from 33 European countries. The Journal''s mission is to promote the best medical practice and innovation in the field of acute and general medicine. It also provides a forum for internal medicine doctors where they can share new approaches with the aim of improving diagnostic and clinical skills in this field. EJCRIM welcomes high-quality case reports describing unusual or complex cases that an internist may encounter in everyday practice. The cases should either demonstrate the appropriateness of a diagnostic/therapeutic approach, describe a new procedure or maneuver, or show unusual manifestations of a disease or unexpected reactions. The Journal only accepts and publishes those case reports whose learning points provide new insight and/or contribute to advancing medical knowledge both in terms of diagnostics and therapeutic approaches. Case reports of medical errors, therefore, are also welcome as long as they provide innovative measures on how to prevent them in the current practice (Instructive Errors). The Journal may also consider brief and reasoned reports on issues relevant to the practice of Internal Medicine, as well as Abstracts submitted to the scientific meetings of acknowledged medical societies.
×
引用
GB/T 7714-2015
复制
MLA
复制
APA
复制
导出至
BibTeX EndNote RefMan NoteFirst NoteExpress
×
提示
您的信息不完整,为了账户安全,请先补充。
现在去补充
×
提示
您因"违规操作"
具体请查看互助需知
我知道了
×
提示
确定
请完成安全验证×
copy
已复制链接
快去分享给好友吧!
我知道了
右上角分享
点击右上角分享
0
联系我们:info@booksci.cn Book学术提供免费学术资源搜索服务,方便国内外学者检索中英文文献。致力于提供最便捷和优质的服务体验。 Copyright © 2023 布克学术 All rights reserved.
京ICP备2023020795号-1
ghs 京公网安备 11010802042870号
Book学术文献互助
Book学术文献互助群
群 号:604180095
Book学术官方微信