Validation of a New Histopathologic Risk Model in Early Oral Tongue Cancer: A Combination of a Modified Worst Pattern of Invasion and a New Tumor Budding Score.

IF 4.2 1区 医学 Q1 PATHOLOGY
American Journal of Surgical Pathology Pub Date : 2025-10-01 Epub Date: 2025-06-11 DOI:10.1097/PAS.0000000000002433
Alhadi Almangush, Tuula Salo, Caj Haglund, Luiz Paulo Kowalski, Jaana Hagström, Ricardo D Coletta, Antti A Mäkitie, Ilmo Leivo
{"title":"Validation of a New Histopathologic Risk Model in Early Oral Tongue Cancer: A Combination of a Modified Worst Pattern of Invasion and a New Tumor Budding Score.","authors":"Alhadi Almangush, Tuula Salo, Caj Haglund, Luiz Paulo Kowalski, Jaana Hagström, Ricardo D Coletta, Antti A Mäkitie, Ilmo Leivo","doi":"10.1097/PAS.0000000000002433","DOIUrl":null,"url":null,"abstract":"<p><p>Oral tongue squamous cell carcinoma (OTSCC) is the most common cancer of the oral cavity. A new histopathologic risk assessment has been recently introduced and we sought to validate its prognostic value in a large multicenter cohort of early-stage OTSCC. A total of 310 cases treated for early-stage OTSCC were included in this study. The assessment of modified worst pattern of invasion and a recently developed tumor budding score were performed in hematoxylin and eosin-stained sections. A statistically significant association was observed in the multivariable analysis between high score of the new risk model and worse disease-specific survival (HR: 2.54, 95% CI: 1.48-4.37, P <0.001). Similarly, in disease-free survival, the high-risk group was significantly associated with poor survival (HR: 1.66, 95% CI: 1.07-2.58, P =0.024). In conclusion, the new histopathologic risk model is a powerful prognostic indicator and can be assessed as part of routine diagnostic practice. Early-stage OTSCC patients with a high-risk score have a poor prognosis and therefore require a multimodality treatment strategy with a close clinical follow-up.</p>","PeriodicalId":7772,"journal":{"name":"American Journal of Surgical Pathology","volume":" ","pages":"1036-1041"},"PeriodicalIF":4.2000,"publicationDate":"2025-10-01","publicationTypes":"Journal Article","fieldsOfStudy":null,"isOpenAccess":false,"openAccessPdf":"https://www.ncbi.nlm.nih.gov/pmc/articles/PMC12435260/pdf/","citationCount":"0","resultStr":null,"platform":"Semanticscholar","paperid":null,"PeriodicalName":"American Journal of Surgical Pathology","FirstCategoryId":"3","ListUrlMain":"https://doi.org/10.1097/PAS.0000000000002433","RegionNum":1,"RegionCategory":"医学","ArticlePicture":[],"TitleCN":null,"AbstractTextCN":null,"PMCID":null,"EPubDate":"2025/6/11 0:00:00","PubModel":"Epub","JCR":"Q1","JCRName":"PATHOLOGY","Score":null,"Total":0}
引用次数: 0

Abstract

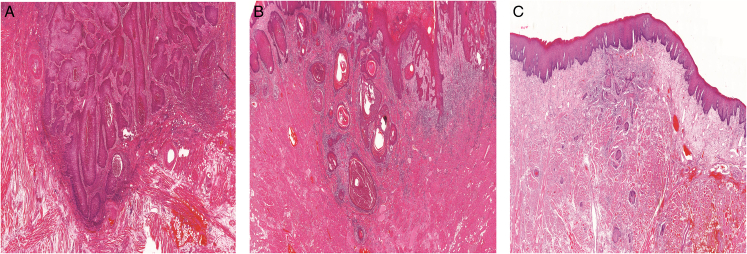
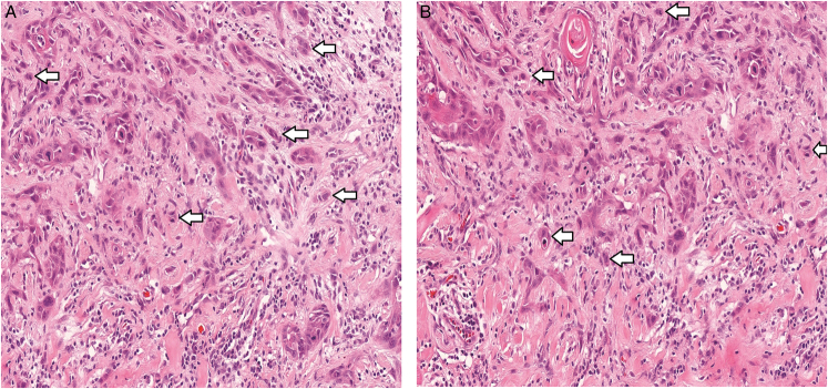
Oral tongue squamous cell carcinoma (OTSCC) is the most common cancer of the oral cavity. A new histopathologic risk assessment has been recently introduced and we sought to validate its prognostic value in a large multicenter cohort of early-stage OTSCC. A total of 310 cases treated for early-stage OTSCC were included in this study. The assessment of modified worst pattern of invasion and a recently developed tumor budding score were performed in hematoxylin and eosin-stained sections. A statistically significant association was observed in the multivariable analysis between high score of the new risk model and worse disease-specific survival (HR: 2.54, 95% CI: 1.48-4.37, P <0.001). Similarly, in disease-free survival, the high-risk group was significantly associated with poor survival (HR: 1.66, 95% CI: 1.07-2.58, P =0.024). In conclusion, the new histopathologic risk model is a powerful prognostic indicator and can be assessed as part of routine diagnostic practice. Early-stage OTSCC patients with a high-risk score have a poor prognosis and therefore require a multimodality treatment strategy with a close clinical follow-up.

Abstract Image

Abstract Image

Abstract Image

一种新的早期口腔癌组织病理学风险模型的验证:一种改进的最坏侵袭模式和一种新的肿瘤萌芽评分的结合。
口腔舌鳞癌(OTSCC)是口腔最常见的癌症。最近引入了一种新的组织病理学风险评估,我们试图在早期OTSCC的大型多中心队列中验证其预后价值。本研究共纳入310例早期OTSCC治疗病例。在苏木精和伊红染色切片上评估改良的最坏侵袭模式和最近发展的肿瘤出芽评分。在多变量分析中,新风险模型得分高与疾病特异性生存率差有统计学意义(HR: 2.54, 95% CI: 1.48 ~ 4.37, P
本文章由计算机程序翻译,如有差异,请以英文原文为准。
求助全文
约1分钟内获得全文 求助全文
来源期刊
CiteScore
10.30
自引率
5.40%
发文量
295
审稿时长
1 months
期刊介绍: The American Journal of Surgical Pathology has achieved worldwide recognition for its outstanding coverage of the state of the art in human surgical pathology. In each monthly issue, experts present original articles, review articles, detailed case reports, and special features, enhanced by superb illustrations. Coverage encompasses technical methods, diagnostic aids, and frozen-section diagnosis, in addition to detailed pathologic studies of a wide range of disease entities. Official Journal of The Arthur Purdy Stout Society of Surgical Pathologists and The Gastrointestinal Pathology Society.
×
引用
GB/T 7714-2015
复制
MLA
复制
APA
复制
导出至
BibTeX EndNote RefMan NoteFirst NoteExpress
×
提示
您的信息不完整,为了账户安全,请先补充。
现在去补充
×
提示
您因"违规操作"
具体请查看互助需知
我知道了
×
提示
确定
请完成安全验证×
copy
已复制链接
快去分享给好友吧!
我知道了
右上角分享
点击右上角分享
0
联系我们:info@booksci.cn Book学术提供免费学术资源搜索服务,方便国内外学者检索中英文文献。致力于提供最便捷和优质的服务体验。 Copyright © 2023 布克学术 All rights reserved.
京ICP备2023020795号-1
ghs 京公网安备 11010802042870号
Book学术文献互助
Book学术文献互助群
群 号:604180095
Book学术官方微信