Breast Hamartoma with Unusual Imaging Features.

Journal of cancer & allied specialties Pub Date : 2025-06-04 eCollection Date: 2025-01-01 DOI:10.2478/jcas-2025-0005
Palwasha Gul, Jonathan James, Mohamad Hajaj, Dima AlNajjar
{"title":"Breast Hamartoma with Unusual Imaging Features.","authors":"Palwasha Gul, Jonathan James, Mohamad Hajaj, Dima AlNajjar","doi":"10.2478/jcas-2025-0005","DOIUrl":null,"url":null,"abstract":"<p><strong>Introduction: </strong>Hamartomas are benign masses seen in different organs including breasts. These are well-defined masses with a pseudocapsule and variable tissues from the surrounding organ.It is an uncommonly reported benign breast lesion, the cause and pathogenesis of its development is still not fully understood. The tumour exhibits a female predominance with a mean age of 45.</p><p><strong>Case description: </strong>We present two cases of breast hamartoma in 51 and 61 years old female who presented to us through screening and symptomatic clinics.Both cases had imaging findings typical for diagnosis of hamartoma however there was a distortion within the hamartoma which raised possibility of malignancy and prompted a core biopsy and MDT discussion.</p><p><strong>Practical implication: </strong>Many hamartomas have typical benign imaging appearances and require no further investigation. Biopsy is needed in atypical looking hamartomas to exclude a breast carcinoma, which although rare may develop within a hamartoma. Multidisciplinary team discussion is crucial in the management of atypical cases to ensure radiological-pathological concordance.</p>","PeriodicalId":73631,"journal":{"name":"Journal of cancer & allied specialties","volume":"11 1","pages":"29-33"},"PeriodicalIF":0.0000,"publicationDate":"2025-06-04","publicationTypes":"Journal Article","fieldsOfStudy":null,"isOpenAccess":false,"openAccessPdf":"https://www.ncbi.nlm.nih.gov/pmc/articles/PMC12150844/pdf/","citationCount":"0","resultStr":null,"platform":"Semanticscholar","paperid":null,"PeriodicalName":"Journal of cancer & allied specialties","FirstCategoryId":"1085","ListUrlMain":"https://doi.org/10.2478/jcas-2025-0005","RegionNum":0,"RegionCategory":null,"ArticlePicture":[],"TitleCN":null,"AbstractTextCN":null,"PMCID":null,"EPubDate":"2025/1/1 0:00:00","PubModel":"eCollection","JCR":"","JCRName":"","Score":null,"Total":0}
引用次数: 0

Abstract

Introduction: Hamartomas are benign masses seen in different organs including breasts. These are well-defined masses with a pseudocapsule and variable tissues from the surrounding organ.It is an uncommonly reported benign breast lesion, the cause and pathogenesis of its development is still not fully understood. The tumour exhibits a female predominance with a mean age of 45.

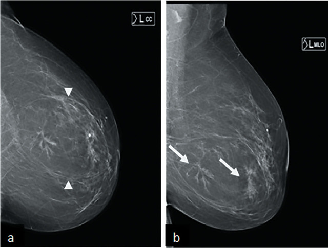
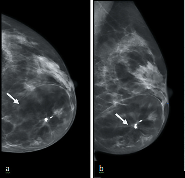
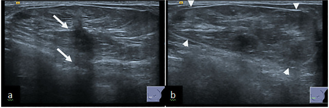
Case description: We present two cases of breast hamartoma in 51 and 61 years old female who presented to us through screening and symptomatic clinics.Both cases had imaging findings typical for diagnosis of hamartoma however there was a distortion within the hamartoma which raised possibility of malignancy and prompted a core biopsy and MDT discussion.

Practical implication: Many hamartomas have typical benign imaging appearances and require no further investigation. Biopsy is needed in atypical looking hamartomas to exclude a breast carcinoma, which although rare may develop within a hamartoma. Multidisciplinary team discussion is crucial in the management of atypical cases to ensure radiological-pathological concordance.

Abstract Image

Abstract Image

Abstract Image

具有异常影像学特征的乳腺错构瘤。
错构瘤是一种可见于不同器官的良性肿块,包括乳房。这些肿块定义明确,有假包膜和周围器官的可变组织。它是一种罕见的乳腺良性病变,其病因和发病机制尚不完全清楚。该肿瘤以女性为主,平均年龄为45岁。病例描述:我们报告两例乳房错构瘤在51岁和61岁的女性谁提出了我们通过筛查和症状诊所。这两个病例都有错构瘤诊断的典型影像学表现,但错构瘤内部存在扭曲,这增加了恶性肿瘤的可能性,并促使核心活检和MDT的讨论。实际意义:许多错构瘤具有典型的良性影像学表现,无需进一步研究。非典型错构瘤需要活检,以排除乳腺癌,虽然罕见,但可能在错构瘤内发展。多学科小组讨论在非典型病例的管理中至关重要,以确保影像学和病理学的一致性。
本文章由计算机程序翻译,如有差异,请以英文原文为准。
求助全文
约1分钟内获得全文 求助全文
来源期刊
自引率
0.00%
发文量
0
审稿时长
12 weeks
×
引用
GB/T 7714-2015
复制
MLA
复制
APA
复制
导出至
BibTeX EndNote RefMan NoteFirst NoteExpress
×
提示
您的信息不完整,为了账户安全,请先补充。
现在去补充
×
提示
您因"违规操作"
具体请查看互助需知
我知道了
×
提示
确定
请完成安全验证×
copy
已复制链接
快去分享给好友吧!
我知道了
右上角分享
点击右上角分享
0
联系我们:info@booksci.cn Book学术提供免费学术资源搜索服务,方便国内外学者检索中英文文献。致力于提供最便捷和优质的服务体验。 Copyright © 2023 布克学术 All rights reserved.
京ICP备2023020795号-1
ghs 京公网安备 11010802042870号
Book学术文献互助
Book学术文献互助群
群 号:604180095
Book学术官方微信