Beyond the Tumor: Invasive Fungal Infection Unveiled in HER2-Positive Breast Cancer Patient Mimicking Disease Relapse.

Journal of cancer & allied specialties Pub Date : 2025-05-29 eCollection Date: 2025-01-01 DOI:10.2478/jcas-2025-0002
Maryam Imran, Muhammad Awais Majeed, Sameen-Bin-Naeem, Tahira Yasmeen, Neelam Siddiqui
{"title":"Beyond the Tumor: Invasive Fungal Infection Unveiled in HER2-Positive Breast Cancer Patient Mimicking Disease Relapse.","authors":"Maryam Imran, Muhammad Awais Majeed, Sameen-Bin-Naeem, Tahira Yasmeen, Neelam Siddiqui","doi":"10.2478/jcas-2025-0002","DOIUrl":null,"url":null,"abstract":"<p><strong>Introduction: </strong>Breast cancer is a major global health concern among all malignancies, with HER2-positive breast cancer representing a particularly aggressive subtype. It affects approximately 20% of patients and is associated with a high risk of relapse. The management of HER2-positive breast cancer has been significantly improved by targeted therapies, though challenges remain, especially in resource-limited settings. Invasive fungal infections are also common and can manifest as metastatic lesions in immunocompromised cancer patients undergoing intensive treatments making the diagnosis challenging for the oncologists.</p><p><strong>Case description: </strong>We report a case of a 39-year-old premenopausal female with relapsed HER2-positive breast cancer complicated by an invasive fungal infection. The patient initially presented with a 5 × 5 cm right breast lump, which was diagnosed as invasive ductal carcinoma, HER2-positive estrogen and progesterone receptor negative. Despite receiving chemotherapy with doxorubicin, cyclophosphamide, paclitaxel in the neoadjuvant setting and breast conservation surgery, the patient experienced disease recurrence. She was then treated with modified radical mastectomy followed by adjuvant chemotherapy TCH (trastuzumab, carboplatin, and docetaxel) six cycles. After three cycles, she developed high-grade fevers, renal impairment, and altered mental status. Imaging initially suggested ongoing infective vs metastatic process in bilateral renal and CNS parenchyma, so biopsy was performed from brain that revealed Aspergillus flavus infection. Treatment was adjusted to include antifungal therapy with voriconazole, and the patient's condition improved.</p><p><strong>Practical implications: </strong>This case underscores the critical need for biopsy of new or evolving lesions in cancer patients, particularly when imaging is not convincing enough for a relapse. Accurate diagnosis is essential to differentiate between disease progression and complications such as opportunistic infections. The occurrence of a fungal brain abscess in this patient highlights the importance of considering such invasive opportunistic infections in immunocompromised individuals, especially those undergoing intensive chemotherapy. Furthermore, the challenges faced due to the unavailability of targeted therapies in resource-limited settings emphasize the need for better access to advanced treatments and comprehensive management strategies. This case also calls for heightened vigilance and prompt diagnostic evaluation to address both cancer progression and potential opportunistic infections effectively.</p>","PeriodicalId":73631,"journal":{"name":"Journal of cancer & allied specialties","volume":"11 1","pages":"8-11"},"PeriodicalIF":0.0000,"publicationDate":"2025-05-29","publicationTypes":"Journal Article","fieldsOfStudy":null,"isOpenAccess":false,"openAccessPdf":"https://www.ncbi.nlm.nih.gov/pmc/articles/PMC12147703/pdf/","citationCount":"0","resultStr":null,"platform":"Semanticscholar","paperid":null,"PeriodicalName":"Journal of cancer & allied specialties","FirstCategoryId":"1085","ListUrlMain":"https://doi.org/10.2478/jcas-2025-0002","RegionNum":0,"RegionCategory":null,"ArticlePicture":[],"TitleCN":null,"AbstractTextCN":null,"PMCID":null,"EPubDate":"2025/1/1 0:00:00","PubModel":"eCollection","JCR":"","JCRName":"","Score":null,"Total":0}
引用次数: 0

Abstract

Introduction: Breast cancer is a major global health concern among all malignancies, with HER2-positive breast cancer representing a particularly aggressive subtype. It affects approximately 20% of patients and is associated with a high risk of relapse. The management of HER2-positive breast cancer has been significantly improved by targeted therapies, though challenges remain, especially in resource-limited settings. Invasive fungal infections are also common and can manifest as metastatic lesions in immunocompromised cancer patients undergoing intensive treatments making the diagnosis challenging for the oncologists.

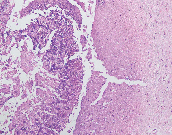
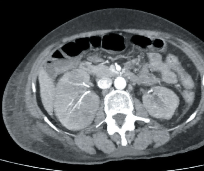
Case description: We report a case of a 39-year-old premenopausal female with relapsed HER2-positive breast cancer complicated by an invasive fungal infection. The patient initially presented with a 5 × 5 cm right breast lump, which was diagnosed as invasive ductal carcinoma, HER2-positive estrogen and progesterone receptor negative. Despite receiving chemotherapy with doxorubicin, cyclophosphamide, paclitaxel in the neoadjuvant setting and breast conservation surgery, the patient experienced disease recurrence. She was then treated with modified radical mastectomy followed by adjuvant chemotherapy TCH (trastuzumab, carboplatin, and docetaxel) six cycles. After three cycles, she developed high-grade fevers, renal impairment, and altered mental status. Imaging initially suggested ongoing infective vs metastatic process in bilateral renal and CNS parenchyma, so biopsy was performed from brain that revealed Aspergillus flavus infection. Treatment was adjusted to include antifungal therapy with voriconazole, and the patient's condition improved.

Practical implications: This case underscores the critical need for biopsy of new or evolving lesions in cancer patients, particularly when imaging is not convincing enough for a relapse. Accurate diagnosis is essential to differentiate between disease progression and complications such as opportunistic infections. The occurrence of a fungal brain abscess in this patient highlights the importance of considering such invasive opportunistic infections in immunocompromised individuals, especially those undergoing intensive chemotherapy. Furthermore, the challenges faced due to the unavailability of targeted therapies in resource-limited settings emphasize the need for better access to advanced treatments and comprehensive management strategies. This case also calls for heightened vigilance and prompt diagnostic evaluation to address both cancer progression and potential opportunistic infections effectively.

Abstract Image

Abstract Image

肿瘤之外:her2阳性乳腺癌患者模拟疾病复发的侵袭性真菌感染
在所有恶性肿瘤中,乳腺癌是一个主要的全球健康问题,her2阳性乳腺癌是一种特别具有侵袭性的亚型。它影响了大约20%的患者,并且与复发的高风险相关。靶向治疗已经显著改善了her2阳性乳腺癌的管理,尽管挑战仍然存在,特别是在资源有限的环境中。侵袭性真菌感染也很常见,在接受强化治疗的免疫功能低下的癌症患者中表现为转移性病变,这对肿瘤学家来说是一个挑战。病例描述:我们报告一例39岁绝经前女性复发her2阳性乳腺癌合并侵袭性真菌感染。患者最初表现为右乳5 × 5 cm肿块,诊断为浸润性导管癌,her2阳性,雌激素和孕激素受体阴性。尽管在新辅助治疗中接受了阿霉素、环磷酰胺、紫杉醇的化疗和乳房保护手术,患者仍经历了疾病复发。然后,她接受改良根治性乳房切除术,随后辅助化疗TCH(曲妥珠单抗、卡铂和多西紫杉醇)6个周期。三个周期后,患者出现高热、肾功能损害和精神状态改变。最初的影像显示双侧肾脏和中枢神经系统实质存在持续的感染和转移过程,因此在脑部进行活检发现黄曲霉感染。治疗调整为伏立康唑抗真菌治疗,患者病情得到改善。实际意义:本病例强调了对癌症患者新发或发展中的病变进行活检的迫切需要,特别是当影像学检查不足以令人信服时。准确诊断对于区分疾病进展和并发症(如机会性感染)至关重要。该患者出现真菌性脑脓肿,强调了免疫功能低下个体,特别是接受强化化疗的个体,考虑这种侵袭性机会性感染的重要性。此外,由于在资源有限的环境中无法获得靶向治疗而面临的挑战强调需要更好地获得先进治疗和综合管理战略。这种情况也需要提高警惕和及时的诊断评估,以有效地解决癌症进展和潜在的机会性感染。
本文章由计算机程序翻译,如有差异,请以英文原文为准。
求助全文
约1分钟内获得全文 求助全文
来源期刊
自引率
0.00%
发文量
0
审稿时长
12 weeks
×
引用
GB/T 7714-2015
复制
MLA
复制
APA
复制
导出至
BibTeX EndNote RefMan NoteFirst NoteExpress
×
提示
您的信息不完整,为了账户安全,请先补充。
现在去补充
×
提示
您因"违规操作"
具体请查看互助需知
我知道了
×
提示
确定
请完成安全验证×
copy
已复制链接
快去分享给好友吧!
我知道了
右上角分享
点击右上角分享
0
联系我们:info@booksci.cn Book学术提供免费学术资源搜索服务,方便国内外学者检索中英文文献。致力于提供最便捷和优质的服务体验。 Copyright © 2023 布克学术 All rights reserved.
京ICP备2023020795号-1
ghs 京公网安备 11010802042870号
Book学术文献互助
Book学术文献互助群
群 号:604180095
Book学术官方微信