Carotid Body Size on CT Angiography in Patients With COVID-19 Pneumonia.

IF 4.6 4区 医学 Q2 MEDICAL LABORATORY TECHNOLOGY
British Journal of Biomedical Science Pub Date : 2025-05-27 eCollection Date: 2025-01-01 DOI:10.3389/bjbs.2025.14489
Kamber Goksu, Ahmet Vural, Ahmet Nedim Kahraman
{"title":"Carotid Body Size on CT Angiography in Patients With COVID-19 Pneumonia.","authors":"Kamber Goksu, Ahmet Vural, Ahmet Nedim Kahraman","doi":"10.3389/bjbs.2025.14489","DOIUrl":null,"url":null,"abstract":"<p><strong>Purpose: </strong>Many pathophysiological theories have been expressed regarding increased sympathetic activity along with respiratory failure in patients with COVID-19 pneumonia. In addition, the carotid bodies, which are directly related to increased blood oxygen levels and sympathetic activity, are known to be very rich in the angiotensin-converting enzyme 2 (ACE2) receptor, which the COVID-19 causative virus uses to enter the cell. Therefore, the probability of carotid bodies being affected in patients with COVID-19 pneumonia is quite high. Carotid bodies can be visualized with contrast-enhanced CT angiography (CTA), and we aimed to visualize possible carotid body enlargement in COVID-19 patients with CTA.</p><p><strong>Methods: </strong>We retrospectively evaluated patients who were hospitalized for COVID-19 pneumonia during the pandemic in our hospital and who had CTA examinations at least 3 months after treatment. We drew a Region of Interest (ROI) from the periphery of both carotid bodies and measured the area from the widest part. Similarly, measurements were taken in the control group without a history of COVID-19, and the results of the two groups were compared statistically.</p><p><strong>Results: </strong>We performed measurements on CTA images of 104 control subjects and 108 patients. The total carotid body area of the patients with COVID-19 pneumonia was 4.9 ± 3.7 mm<sup>2</sup>, and the carotid body area of the control group was 3.7 ± 2.4 mm<sup>2</sup>. In comparing the two groups, the carotid body area was found to be statistically significantly larger (p < 0.05) in patients with COVID-19 pneumonia.</p><p><strong>Conclusion: </strong>The size of the carotid body was found to be larger in patients with COVID-19 pneumonia compared to the control group. This finding may indicate conditions that lead to the activation of carotid body chemo and baroreceptors, such as increased sympathetic activity and a decrease in blood oxygen pressure in patients with COVID-19 pneumonia. Apart from this, it may also be possible for the carotid body to be directly infected with the virus. More specific studies that shed light on this aspect are needed.</p>","PeriodicalId":9236,"journal":{"name":"British Journal of Biomedical Science","volume":"82 ","pages":"14489"},"PeriodicalIF":4.6000,"publicationDate":"2025-05-27","publicationTypes":"Journal Article","fieldsOfStudy":null,"isOpenAccess":false,"openAccessPdf":"https://www.ncbi.nlm.nih.gov/pmc/articles/PMC12150061/pdf/","citationCount":"0","resultStr":null,"platform":"Semanticscholar","paperid":null,"PeriodicalName":"British Journal of Biomedical Science","FirstCategoryId":"3","ListUrlMain":"https://doi.org/10.3389/bjbs.2025.14489","RegionNum":4,"RegionCategory":"医学","ArticlePicture":[],"TitleCN":null,"AbstractTextCN":null,"PMCID":null,"EPubDate":"2025/1/1 0:00:00","PubModel":"eCollection","JCR":"Q2","JCRName":"MEDICAL LABORATORY TECHNOLOGY","Score":null,"Total":0}
引用次数: 0

Abstract

Purpose: Many pathophysiological theories have been expressed regarding increased sympathetic activity along with respiratory failure in patients with COVID-19 pneumonia. In addition, the carotid bodies, which are directly related to increased blood oxygen levels and sympathetic activity, are known to be very rich in the angiotensin-converting enzyme 2 (ACE2) receptor, which the COVID-19 causative virus uses to enter the cell. Therefore, the probability of carotid bodies being affected in patients with COVID-19 pneumonia is quite high. Carotid bodies can be visualized with contrast-enhanced CT angiography (CTA), and we aimed to visualize possible carotid body enlargement in COVID-19 patients with CTA.

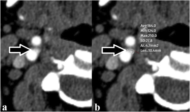
Methods: We retrospectively evaluated patients who were hospitalized for COVID-19 pneumonia during the pandemic in our hospital and who had CTA examinations at least 3 months after treatment. We drew a Region of Interest (ROI) from the periphery of both carotid bodies and measured the area from the widest part. Similarly, measurements were taken in the control group without a history of COVID-19, and the results of the two groups were compared statistically.

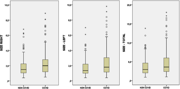
Results: We performed measurements on CTA images of 104 control subjects and 108 patients. The total carotid body area of the patients with COVID-19 pneumonia was 4.9 ± 3.7 mm2, and the carotid body area of the control group was 3.7 ± 2.4 mm2. In comparing the two groups, the carotid body area was found to be statistically significantly larger (p < 0.05) in patients with COVID-19 pneumonia.

Conclusion: The size of the carotid body was found to be larger in patients with COVID-19 pneumonia compared to the control group. This finding may indicate conditions that lead to the activation of carotid body chemo and baroreceptors, such as increased sympathetic activity and a decrease in blood oxygen pressure in patients with COVID-19 pneumonia. Apart from this, it may also be possible for the carotid body to be directly infected with the virus. More specific studies that shed light on this aspect are needed.

Abstract Image

Abstract Image

Abstract Image

COVID-19肺炎CT血管造影显示颈动脉体大小
目的:关于COVID-19肺炎患者交感神经活动增加伴呼吸衰竭的病理生理学理论已经被提出。此外,已知与血氧水平升高和交感神经活动直接相关的颈动脉体富含血管紧张素转换酶2 (ACE2)受体,COVID-19致病病毒利用这种受体进入细胞。因此,COVID-19肺炎患者颈动脉体受到影响的概率相当高。对比增强CT血管造影(CTA)可以显示颈动脉体,我们的目的是在CTA下显示COVID-19患者可能出现的颈动脉体增大。方法:回顾性分析我院疫情期间因COVID-19肺炎住院并在治疗后至少3个月行CTA检查的患者。我们从两个颈动脉体的外围绘制了一个感兴趣区域(ROI),并从最宽的部分测量了该区域。同样,对无COVID-19病史的对照组进行测量,并对两组结果进行统计学比较。结果:我们对104名对照组和108名患者的CTA图像进行了测量。新冠肺炎患者颈动脉总体面积为4.9±3.7 mm2,对照组颈动脉总体面积为3.7±2.4 mm2。两组比较,新冠肺炎患者颈动脉体面积明显大于对照组(p < 0.05)。结论:新冠肺炎患者颈动脉体尺寸明显大于对照组。这一发现可能表明导致颈动脉体化疗和压力感受器激活的条件,例如COVID-19肺炎患者交感神经活动增加和血氧压降低。除此之外,颈动脉体也有可能直接被病毒感染。需要更具体的研究来阐明这方面的问题。
本文章由计算机程序翻译,如有差异,请以英文原文为准。
求助全文
约1分钟内获得全文 求助全文
来源期刊
British Journal of Biomedical Science
British Journal of Biomedical Science 医学-医学实验技术
CiteScore
4.40
自引率
15.80%
发文量
29
审稿时长
>12 weeks
期刊介绍: The British Journal of Biomedical Science is committed to publishing high quality original research that represents a clear advance in the practice of biomedical science, and reviews that summarise recent advances in the field of biomedical science. The overall aim of the Journal is to provide a platform for the dissemination of new and innovative information on the diagnosis and management of disease that is valuable to the practicing laboratory scientist.
×
引用
GB/T 7714-2015
复制
MLA
复制
APA
复制
导出至
BibTeX EndNote RefMan NoteFirst NoteExpress
×
提示
您的信息不完整,为了账户安全,请先补充。
现在去补充
×
提示
您因"违规操作"
具体请查看互助需知
我知道了
×
提示
确定
请完成安全验证×
copy
已复制链接
快去分享给好友吧!
我知道了
右上角分享
点击右上角分享
0
联系我们:info@booksci.cn Book学术提供免费学术资源搜索服务,方便国内外学者检索中英文文献。致力于提供最便捷和优质的服务体验。 Copyright © 2023 布克学术 All rights reserved.
京ICP备2023020795号-1
ghs 京公网安备 11010802042870号
Book学术文献互助
Book学术文献互助群
群 号:604180095
Book学术官方微信