Utility of Intraoperative Ultrasound in Surgical Management of Lhermitte-Duclos Disease: A Case Report.

Asian journal of neurosurgery Pub Date : 2025-03-18 eCollection Date: 2025-06-01 DOI:10.1055/s-0045-1805088
Parth Parikh, Naren Nayak, Shubham Goyal, Neelanjana Ghosh, Rahul Pandey
{"title":"Utility of Intraoperative Ultrasound in Surgical Management of Lhermitte-Duclos Disease: A Case Report.","authors":"Parth Parikh, Naren Nayak, Shubham Goyal, Neelanjana Ghosh, Rahul Pandey","doi":"10.1055/s-0045-1805088","DOIUrl":null,"url":null,"abstract":"<p><p>Lhermitte-Duclos disease (LDD) is a rare, autosomal dominant, dysplastic gangliocytoma of the cerebellum. It is a slow-growing benign tumor. The challenges in the surgical resection of these tumors lie in accurately delineating the tumor margin from the normal cerebellar parenchyma. Intraoperative ultrasound has the potential to overcome these limitations. A 30-year-old woman was diagnosed as having LDD showing a typical \"tigroid\" appearance on MRI. Intraoperative ultrasound was used to delineate the tumor margins and near-total resection was done via right suboccipital craniectomy. The diagnosis was confirmed on histopathological examination. Postoperatively there were no neurological deficits, and the patient is on regular follow-up for screening of Cowden's syndrome. We report this case to highlight the undervalued utility of intraoperative ultrasonography while dealing with patients with LDD. This modality serves as an effective tool to maximize the extent of resection without adding to postoperative morbidity.</p>","PeriodicalId":94300,"journal":{"name":"Asian journal of neurosurgery","volume":"20 2","pages":"413-416"},"PeriodicalIF":0.0000,"publicationDate":"2025-03-18","publicationTypes":"Journal Article","fieldsOfStudy":null,"isOpenAccess":false,"openAccessPdf":"https://www.ncbi.nlm.nih.gov/pmc/articles/PMC12136961/pdf/","citationCount":"0","resultStr":null,"platform":"Semanticscholar","paperid":null,"PeriodicalName":"Asian journal of neurosurgery","FirstCategoryId":"1085","ListUrlMain":"https://doi.org/10.1055/s-0045-1805088","RegionNum":0,"RegionCategory":null,"ArticlePicture":[],"TitleCN":null,"AbstractTextCN":null,"PMCID":null,"EPubDate":"2025/6/1 0:00:00","PubModel":"eCollection","JCR":"","JCRName":"","Score":null,"Total":0}
引用次数: 0

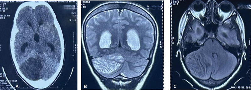
Abstract

Lhermitte-Duclos disease (LDD) is a rare, autosomal dominant, dysplastic gangliocytoma of the cerebellum. It is a slow-growing benign tumor. The challenges in the surgical resection of these tumors lie in accurately delineating the tumor margin from the normal cerebellar parenchyma. Intraoperative ultrasound has the potential to overcome these limitations. A 30-year-old woman was diagnosed as having LDD showing a typical "tigroid" appearance on MRI. Intraoperative ultrasound was used to delineate the tumor margins and near-total resection was done via right suboccipital craniectomy. The diagnosis was confirmed on histopathological examination. Postoperatively there were no neurological deficits, and the patient is on regular follow-up for screening of Cowden's syndrome. We report this case to highlight the undervalued utility of intraoperative ultrasonography while dealing with patients with LDD. This modality serves as an effective tool to maximize the extent of resection without adding to postoperative morbidity.

Abstract Image

Abstract Image

Abstract Image

术中超声在Lhermitte-Duclos病外科治疗中的应用1例报告。
Lhermitte-Duclos病(LDD)是一种罕见的常染色体显性、发育不良的小脑神经节细胞瘤。这是一种生长缓慢的良性肿瘤。这些肿瘤的外科切除的挑战在于准确地描绘肿瘤边缘与正常的小脑实质。术中超声有可能克服这些限制。一名30岁女性被诊断为LDD,在MRI上表现为典型的“老虎样”外观。术中超声确定肿瘤边缘,并通过右侧枕下颅骨切除术进行近全切除术。经组织病理学检查确诊。术后无神经功能缺损,患者定期接受科登综合征筛查随访。我们报告这个病例是为了强调术中超声检查在处理LDD患者时被低估的效用。这种方式是一种有效的工具,可以最大限度地切除,而不会增加术后发病率。
本文章由计算机程序翻译,如有差异,请以英文原文为准。
求助全文
约1分钟内获得全文 求助全文
来源期刊
自引率
0.00%
发文量
0
×
引用
GB/T 7714-2015
复制
MLA
复制
APA
复制
导出至
BibTeX EndNote RefMan NoteFirst NoteExpress
×
提示
您的信息不完整,为了账户安全,请先补充。
现在去补充
×
提示
您因"违规操作"
具体请查看互助需知
我知道了
×
提示
确定
请完成安全验证×
copy
已复制链接
快去分享给好友吧!
我知道了
右上角分享
点击右上角分享
0
联系我们:info@booksci.cn Book学术提供免费学术资源搜索服务,方便国内外学者检索中英文文献。致力于提供最便捷和优质的服务体验。 Copyright © 2023 布克学术 All rights reserved.
京ICP备2023020795号-1
ghs 京公网安备 11010802042870号
Book学术文献互助
Book学术文献互助群
群 号:604180095
Book学术官方微信