Ruptured Basilar Artery Perforator Aneurysm: Nightmare of a Treating Neurosurgeon.

Asian journal of neurosurgery Pub Date : 2025-03-06 eCollection Date: 2025-06-01 DOI:10.1055/s-0045-1804999
Pragyan Sarma, Atul Agrawal, Amit Kumar Sharma
{"title":"Ruptured Basilar Artery Perforator Aneurysm: Nightmare of a Treating Neurosurgeon.","authors":"Pragyan Sarma, Atul Agrawal, Amit Kumar Sharma","doi":"10.1055/s-0045-1804999","DOIUrl":null,"url":null,"abstract":"<p><p><b>Objectives</b> Subarachnoid hemorrhage (SAH) resulting from rupture of basilar artery perforator aneurysm (BAPA) is a neurological rarity. With increased awareness and advancements in imaging modalities, they are now more frequently detected. However, concerns regarding their suboptimal treatment and lack of proper analysis still exist. We are hereby reporting our experience of treating this entity in a small cohort. <b>Materials and Methods</b>  It is a retrospective study of all the cases of SAH resulting from rupture of BAPA, which were treated by the same surgical team. Demographic data, treatment characteristics, and follow-up data of our cases along with published literature were studied. <b>Results</b>  Our cohort comprised of five patients (mean age 55 years). Three cases were treated with flow diverter alone and the rest underwent flow diverter and overlapping stent placement. Initial diagnostic cerebral angiography (digital subtraction angiography) was negative in three of them. There was one mortality and favorable outcome was encountered in the remaining cases. All of them demonstrated complete occlusion of the aneurysm in follow-up. <b>Conclusion</b>  Following treatment, all the cases demonstrated complete angiographic occlusion of the aneurysm. In available literature, studies have small sample sizes. Future randomized studies in a larger cohort and proper reporting and analysis of outcomes will help us formulating a treatment protocol for BAPA.</p>","PeriodicalId":94300,"journal":{"name":"Asian journal of neurosurgery","volume":"20 2","pages":"322-329"},"PeriodicalIF":0.0000,"publicationDate":"2025-03-06","publicationTypes":"Journal Article","fieldsOfStudy":null,"isOpenAccess":false,"openAccessPdf":"https://www.ncbi.nlm.nih.gov/pmc/articles/PMC12136949/pdf/","citationCount":"0","resultStr":null,"platform":"Semanticscholar","paperid":null,"PeriodicalName":"Asian journal of neurosurgery","FirstCategoryId":"1085","ListUrlMain":"https://doi.org/10.1055/s-0045-1804999","RegionNum":0,"RegionCategory":null,"ArticlePicture":[],"TitleCN":null,"AbstractTextCN":null,"PMCID":null,"EPubDate":"2025/6/1 0:00:00","PubModel":"eCollection","JCR":"","JCRName":"","Score":null,"Total":0}
引用次数: 0

Abstract

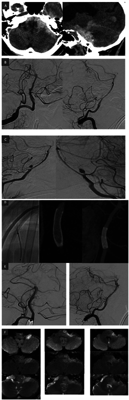
Objectives Subarachnoid hemorrhage (SAH) resulting from rupture of basilar artery perforator aneurysm (BAPA) is a neurological rarity. With increased awareness and advancements in imaging modalities, they are now more frequently detected. However, concerns regarding their suboptimal treatment and lack of proper analysis still exist. We are hereby reporting our experience of treating this entity in a small cohort. Materials and Methods  It is a retrospective study of all the cases of SAH resulting from rupture of BAPA, which were treated by the same surgical team. Demographic data, treatment characteristics, and follow-up data of our cases along with published literature were studied. Results  Our cohort comprised of five patients (mean age 55 years). Three cases were treated with flow diverter alone and the rest underwent flow diverter and overlapping stent placement. Initial diagnostic cerebral angiography (digital subtraction angiography) was negative in three of them. There was one mortality and favorable outcome was encountered in the remaining cases. All of them demonstrated complete occlusion of the aneurysm in follow-up. Conclusion  Following treatment, all the cases demonstrated complete angiographic occlusion of the aneurysm. In available literature, studies have small sample sizes. Future randomized studies in a larger cohort and proper reporting and analysis of outcomes will help us formulating a treatment protocol for BAPA.

Abstract Image

Abstract Image

Abstract Image

基底动脉穿支动脉瘤破裂:治疗神经外科医生的噩梦。
目的颅底动脉穿支动脉瘤破裂引起的蛛网膜下腔出血(SAH)是一种罕见的神经病学病例。随着意识的提高和成像方式的进步,它们现在更经常被发现。然而,关于他们的次优治疗和缺乏适当分析的担忧仍然存在。我们在此报告我们在一个小队列中治疗这种实体的经验。材料与方法回顾性分析同一手术组因BAPA破裂致SAH的病例。我们对病例的人口统计资料、治疗特点、随访资料以及已发表的文献进行了研究。结果我们的队列包括5例患者(平均年龄55岁)。其中3例单独行分流术,其余行分流术和重叠支架置入术。其中3例初步诊断脑血管造影(数字减影血管造影)为阴性。1例死亡,其余病例预后良好。随访均显示动脉瘤完全闭塞。结论经治疗后,所有病例均表现为动脉瘤完全血管造影闭塞。在现有文献中,研究的样本量很小。未来在更大的队列中进行的随机研究和适当的结果报告和分析将有助于我们制定BAPA的治疗方案。
本文章由计算机程序翻译,如有差异,请以英文原文为准。
求助全文
约1分钟内获得全文 求助全文
来源期刊
自引率
0.00%
发文量
0
×
引用
GB/T 7714-2015
复制
MLA
复制
APA
复制
导出至
BibTeX EndNote RefMan NoteFirst NoteExpress
×
提示
您的信息不完整,为了账户安全,请先补充。
现在去补充
×
提示
您因"违规操作"
具体请查看互助需知
我知道了
×
提示
确定
请完成安全验证×
copy
已复制链接
快去分享给好友吧!
我知道了
右上角分享
点击右上角分享
0
联系我们:info@booksci.cn Book学术提供免费学术资源搜索服务,方便国内外学者检索中英文文献。致力于提供最便捷和优质的服务体验。 Copyright © 2023 布克学术 All rights reserved.
京ICP备2023020795号-1
ghs 京公网安备 11010802042870号
Book学术文献互助
Book学术文献互助群
群 号:604180095
Book学术官方微信